側門牙全冠修復
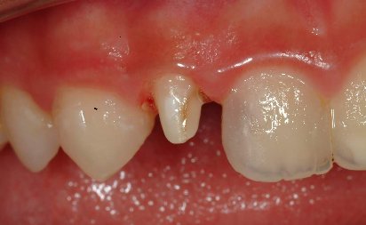
病患高小姐因左上側門齒蛀牙前來本診所求診 , 照數位x 光(圖一)後發現蛀牙處已太靠近神經無法單純以複合樹脂復形 , 需接受完整根管治療後才能進行贋復步驟
| |
|
|
圖一 |
圖二 |
本次治療採一次約診完成根管治療,充填後如圖二 .
之後進入假牙復形步驟 , 跟病患討論各種假牙的優缺點後 , 病患決定以全瓷冠復形 ,
並以彈性玻璃纖維作為根管釘柱材料 .
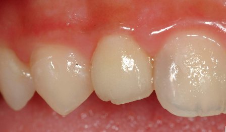
根管內稍做修形後放入玻璃纖維釘柱 , 修形為全瓷冠需要的牙齒形狀後(見圖三),再以雙線排齦方式排齦後印模 , 並以數位照相及電腦比色機比色. 一週後 , 於診間試戴無誤後 , 以永久黏著劑黏上 . 美觀與自然程度符合病人的需求 . 外形如圖四所示
![]() |
![]() |
|
圖三 |
圖四 |
以下為為全瓷冠復形後全貌.

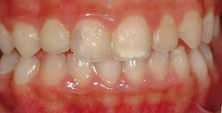
術前、術後比較
![]() |
![]() |
|
術前 |
術後 |

