醫療項目
顯微審美
概論

牙科在過去的30年來,材料的進步日新月異、技術也日趨純熟。同樣地,病患的需求也慢慢有所轉變,民眾所要求的不再只是維持健康及功能,美觀上的考量也越來越被病患所關心,每個人都希望擁有吸引人的牙齒,讓自己看起來更健康年輕。

了解患者審美需求,除了專業知識與經驗,近年來CAD-CAM、全瓷材料推陳出新,增進了治療的精準度,本院的軟硬體設備參考如下:

參考: 硬體設備參考

 
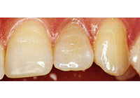
牙齒美白

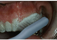
不同濃度的過氧化氫是漂白技術中最常用的成份。Opalescence PF 居家牙齒漂白凝膠含過氧化胺 (過氧化氫+尿素)。過氧化胺能通過牙釉質和牙本質,過氧化物釋放出氧基,在釉小柱間移動。因漂白成份分解為小分子四處遊動,能將造成牙齒變色的色素分子加以氧化分解,使之成為無色,可溶於水的小分子,而達成牙齒漂白效果。依據藥劑強度,與放置位置,可分為居家美白、冷家美白與非活齒美白等。(圖01-12)

圖1
圖2
圖3
圖4
圖5
圖6
圖7
圖8
圖9
圖10
圖11
圖12

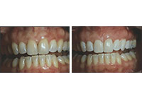
參考病例: 居家美白

參考病例: 冷光美白

參考病例: 非活齒美白-#11

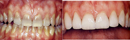
全陶冠
 

全金屬假牙和瓷牙都含有金屬成份,使用的金屬材質分為賤金屬、半貴金屬和貴金屬;賤金屬較不穩定,使用久後會讓牙齦變色,也有金屬溶出的疑慮;半貴金屬和貴金屬相對穩定性高,比較不會出現牙齦染色的問題。
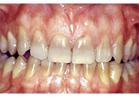
全瓷冠假牙則是完全不含金屬成分,氧化鋯材質堅硬,目前最被牙醫師所使用;全瓷冠可以依照民眾的齒色燒附一層陶瓷,讓牙齒透光更好,色澤更逼真。(圖13-15)

圖13
圖14
圖15

參考病例: 前牙堆築式二氧化鋯全瓷冠牙冠:左上側門齒至及右上側門齒共4顆

 
陶瓷貼面

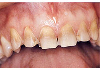
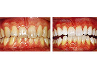
陶瓷貼片俗稱牙齒美白貼片,將唇側部份牙齒以陶瓷製成之貼片黏著,以修復受損及美化顏色、形態不佳之牙齒。最簡單的說法就是在輕微斷裂蛀蝕或顏色異常的牙齒上黏合上薄薄的瓷片;而其製作步驟是將牙齒的唇側外表面磨掉薄薄的一層之後,再利用酸蝕黏合的技術,將0.2至0.5 mm的瓷片,以特殊高強度之複合樹脂將瓷片黏著在牙齒表面上。瓷牙貼片能夠改善牙齒的形狀,長度還有顏色,達到牙齒整齊和美白的效果。目前以上下前牙為主。(圖16-22)

圖16
圖17
圖18
圖19
圖20
圖21
圖22

參考影片: 陶瓷貼面

參考病例: 陶瓷貼面-#11,21

 
陶瓷崁體/冠塊體

不管是補銀粉或是複合樹脂,一旦造成二次蛀牙,程度輕微的就必須挖得比之前還深,重新復形;程度較嚴重的蛀到牙根可能就必須拔掉做植牙或者牙冠牙橋、活動假牙。因此,目前對於蛀得較深、較大的窩洞,最適切的修補方式為陶瓷嵌體,陶瓷嵌體與銀粉、樹脂兩者相較,無須擔心材質收縮的問題,也沒有汙染環境的疑慮,又兼具了審美性,是蛀牙窩洞最佳的修復方式。 (圖23-26)

圖23
圖24
圖25
圖26
 
牙周整形手術

在前牙區為了得到術後美觀的牙齦外形,手術前的評估,手術中的技巧都相當重要,才能得到美觀的笑容。
牙冠增長術:所有能使「臨床牙冠」(Clinical Crown)長度增加的手術方式。「臨床牙冠」就是露出牙肉外面的牙齒。所以「牙冠增長術」就是使牙肉下面的齒質暴露出來的手術。 (圖27-30)

圖27
圖28
圖29
圖30
 

『角質化牙齦』是緊實附著在牙齒周圍的軟組織,其質地較韌,能防止食物殘渣滲入牙齦溝,可承受牙刷清潔牙齒時的摩擦力,提供牙齒容易清潔的乾淨環境。換言之,角化牙齦的存在,可比喻成有縮口的衣袖,較能防止異物掉入袖口中。一般來說,沒有補綴物的自然牙周圍,有、無角化牙齦,對口腔清潔能力好的人並沒有太多差別,可是對人工植牙或有假牙的自然牙而言,缺乏角化牙齦通常較容易有牙齦發炎的現象。
角質化牙齦移植是牙周整形手術方式之一,是將上顎腭側或無牙脊上的牙齦取下後,再移植到角質化牙齦缺乏的位置,由於牙齦的再生能力強,傷口約術後1~2週即恢復穩定,牙齦捐贈區也會漸漸恢復原貌。(圖31-34)

圖31
圖32
圖33
圖34
 

參考病例: 皮下結締組織移植術