醫療項目
牙體復形

蛀牙與牙周病為口腔的兩大疾病,除了專業知識與經驗,近年來樹脂貼面、滲透療法等問世,增進了治療的精準度,本院的軟硬體設備參考如下:

齒頸部位於牙齒與牙齦的交界,由於此處的牙釉質少,當牙釉質因為刷牙、蛀牙或力學等因素喪失,因此齒頸部持續造成”V”字型的凹陷,通常有強裂敏感的現像,甚至繼續造成牙齦持續萎縮。

齒頸部貼面

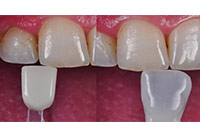
齒頸部貼面為廠商預製的不同大小齒頸部貼面,利用齒頸部貼面相對軟,而複合樹脂相對硬的複合材料特性,將貼面以樹脂黏著方式固定於齒頸部,再加以精細打亮、拋光,因此可以有效地將齒頸部會凹陷平整之,是現今有效處理齒頸部會凹陷的治療方式。 (圖01-03)

 

圖1
圖2
圖3

參考影片: 齒頸部樹脂貼面

參考病例: 齒頸部貼片-Compoveneer

 
奈米樹脂貼面

奈米樹脂貼面是突破性的產品完全推翻大眾對牙齒貼片的舊有認知,醫師可以直接在診間為患者安裝貼片,醫師不需多次約診,不需等待技工所送件,輕鬆快速回復美麗貝齒,迅速還你一口燦爛笑容。

奈米樹脂貼面是瑞士 coltene 集團專利研發的奈米材料製造,抗折抗染色耐磨損可修形,且貼片表面結構類似真牙,酸蝕後 Bonding 能完全滲入孔洞、增強與補牙樹脂間黏著力及邊緣封閉性,不需損傷牙齒,且更加牢固耐用。 

奈米樹脂貼面預製有4種尺寸、各個牙位形狀的貼片並利用專用比對器使醫師能挑選最適合的貼片。更方便的是單診美齒奈米片的奈米材質配合器械能做有限度的修形,完全能配合不同患者的需求,使患者能夠快速滿足需求。
奈米樹脂貼面的黏著面,是經由高度精密的專利機器,以奈米技術所製造出的細密孔洞表層,它與牙齒表面的 bonding 程度,超過傳統瓷貼片或其他的材料,因此,其抗 shear force 的能力,以及抗脫落、抗染色的能力都較其他材料為佳,只要使用得當不需擔心它會容易脫落。

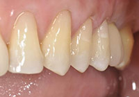
由於奈米樹脂貼面的厚度極薄,最薄可達 0.3 mm ,因而在牙齒頰側面所車掉的厚度,也只需薄薄一層即可,對大多數的患者而言,在沒有麻醉情況下並無不適之感,因此不需要麻醉。至於牙齒若有較深層的齲洞,醫師可視需要另加以局部麻醉。(圖04-06)

圖4
圖5
圖6
 

參考病例: 製作中

 
MTA覆髓術

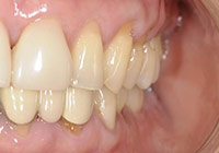
對於無症狀且非常接近牙髓之深度齲齒的處置,建議以較保守的治療方式為病人移除齲齒病灶保存剩餘齒質,如直接覆髓、間接覆髓、 部分齲齒挖掘或階段性齲齒挖掘 。目前有大量文獻證實窩洞牙本質牙釉質連接處的齲齒病灶徹底移除後,將移除時可能導致牙髓暴露的少量齲齒包覆在封閉性良好的永久填補物之下不會影響長期預後,且不會引起牙髓不適症狀,並可以降低牙髓暴露之風險。故在保留牙髓活性及齒質完整性的前提下,部分齲齒挖掘以及 階段性齲齒挖掘或許是另一種可行的治療方式。 (圖07-08)

圖7
圖8
 

參考病例: 製作中

ICON

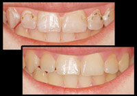
想想一個問題:”如果你家的牆壁滲水,你該把整面牆敲掉,還是可使用防水漆或是樹脂滲透進裂縫處即可”,同樣的問題亦適用於淺層蛀牙,德國的兩位研究學者:Dres(圖十二)及Lukel(圖十三)深入研究這問題,經過8年的實驗,開發了免磨牙齒的技術,直接利用樹脂滲透的技術,將牙齒的蛀牙的細菌活埋(圖十四)。
這個劃時代的產品ICON於2009年於德國問世(圖十五),造成舉世震驚。在先進國家,蛀牙率已大幅下降,但患者都有一個體認:經過牙醫師處理蛀牙的牙齒,大都越搞越大洞,如果一個小蛀牙可以使用最少破壞的方法處理,而不需越磨越大洞,大都數的患者都可接受此治療。(圖9-10)

圖9
圖10
 

參考病例: 製作中