醫療項目
顯微牙髓治療
概論

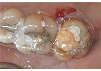
齲齒由口腔中多種因素復合作用所導致的牙齒硬組織進行性病損,表現為無機質脫礦和有機質分解,隨病程發展而從色澤改變到形成實質性病損的演變過程。齲齒是細菌性疾病,因此它可以繼發牙髓炎和根尖周炎,甚至能引起牙槽骨和頜骨炎癥。(圖01~04)

圖1
圖2
圖3
圖4

診斷根尖或牙周病變,除了專業知識與經驗,近年來數位X光、顯微鏡等問世,增進了診斷的精準度,本院的軟硬體設備參考如下:

設備參考: 顯微根管治療設備

 
牙髓治療

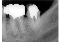
由於顯微鏡具有高倍率的放大效果,並提供卓越的強化光源,牙科的治療都相當微小,一般的放大鏡可放大約2-8 倍,而顯微鏡大約可放大約 30-40 倍, 讓整個治療過程可以持續擁有清晰的視野,所以,顯微治療技術相較於傳統治療,最直接的突破即在於大大地提昇了醫師雙眼的透視能力,使得極細微的組織結構都能夠明顯的被呈現出來。因此,藉由這樣的特性,當顯微鏡被應用在根管治療上,便成為絕佳的利器,可以讓原本難以尋找的根管入口在顯微鏡下無所遁形,而原本錯綜複雜的根管系統也不再是一個讓人無法探索的區域。(圖05~07)

圖5
圖6
圖7

參考影片:左上顎第二大臼齒-一次完成之根管治療

參考病例: EPP1-蛀牙-#24

牙髓重治療

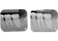
目前顯微鏡處理在根管治療主要運用在重新治療及難症處理,例如:尋找根管入口的位置,確認根管的數目與特殊型態,尋找鈣化根管或是先前治療遺漏的根管,移除根管異物。如:移除牙髓腔或根管內的髓石、移除釘柱或斷裂器裂, 根管穿孔修復: 處理前次治療發生之意外狀況。(圖08~11)

圖8
圖9
圖10
圖11

參考影片:根管重新治療-如何用超音波與顯微鏡找到隱藏的髓腔口

參考病例: 右上第二小臼齒鑄造型釘柱

 
年輕恆牙處置

年輕恆牙牙髓組織血運豐富細胞成分多,防禦和修復機能比較強,比成熟恆牙更容易保存活髓;而且年輕恆牙牙根未發育完成,在牙槽骨中的穩固性不足,為保證牙根的正常發育,在牙髓病變還處於早期階段時應保存活髓,如不能保存全部活髓也應保存部分活髓。(圖12-13)

圖12
圖13

參考病例: MTA根尖成形術-左下小臼齒

 
裂齒症

裂齒在臨床上並不容易診斷,裂痕和正常的牙齒溝紋容易混淆,X光檢查也經常無法顯示,咬痛或冷熱敏感的臨床症狀常與其他牙科疾病相似。診斷時需先排除其他可能的牙周病或蛀牙,找不出明確原因時,可能會使用染色、光纖照射,或自費的顯微鏡檢查來幫忙偵測,有其他裂齒經驗或瞬間咬到硬物的病史可以幫忙診斷;有時採用初步治療(製作牙套或圐環保護),再觀察反應結 果,也有助鑑別診斷。(圖14-17)

圖14
圖15
圖16
圖17

參考影片: 牙根垂直縱裂

參考病例: 立即受力-牙齒斷裂-#24

 
牙髓手術

病患在經過傳統根管治療後,仍有不適,或患齒有無法接受傳統根管治療的情形,可考慮進行根尖周圍手術。根尖周圍手術的操作範圍極為狹小,專用顯微鏡可提供照明及放大,可幫助檢查牙根是否有裂紋,使專科醫師能較精準的確立感染部位,配合專用超音波等各項精密顯微設備及器械進行清創以及逆向充填,產生較微創的手術傷口,並且增加手術成功的機率。(圖18-21)

圖18
圖19
圖20
圖21
 

蓄意再植術是在局部麻醉下,將牙齒拔出,清除牙根尖周圍的病變組織,切除部分牙根,並對牙根進行逆向根管治療,再將牙齒植回齒槽之手術。(圖22-24)

圖22
圖23
圖24

參考影片:根顯微根尖手術-右上顎正中門齒

參考病例: 顯微根尖手術-前牙區

參考影片:牙齒再植手術-左下顎第二大臼齒

參考病例: 牙齒再植術-下顎第二大臼齒