醫療項目
齒顎矯正
矯正治療?

矯正治療乃將各式各樣的不正咬合,如暴牙,門牙漏風,戽斗等,經由矯正的方式,誘導改正成正常咬合的治療。

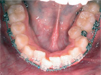
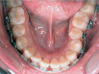
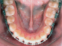
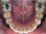
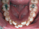
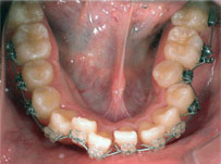
齒列擁擠的不正咬合經由擴大效果排列整齊:

Before
Proceeding
After

Before
Proceeding
After
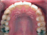
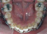
Before
Proceeding
Proceeding
After
 
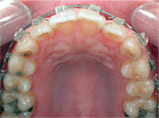
向外暴出

牙齒向外暴出藉由矯正得到適當的改善:

Before
After
 
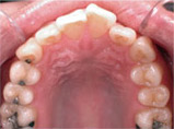
下顎前突

戽斗(下顎前突)的病人藉由矯正得到適當的咬合:

Before
After

牙齒常因先天體積過大齒槽骨空間不足或後天因齲齒(蛀牙)及乳牙過早脫落造成空間喪失恆牙萌發受阻,或擁擠凌亂,常須將牙齒牽引移動至健康美觀的位置。

面顎骨矯正多因先天上下顎骨關係異常,如扈斗或小下巴,一般情況可在青春期前經顎骨牽引而改善。在青春期後或嚴重的面顎骨異常則須由矯正合併正顎手術矯正。

通常進行矯正治療時,依對象採取不同的治療方式,如兒童時期針對局部性的牙齒矯正及骨骼誘導來改善其問題。成人則多半採取牙齒移動方式來補償顎骨之間的差距,嚴重者甚至要配合開刀治療。

齒列不正
引起的問題

美觀不良,進而影響心理!
影響發音!
易引起蛀牙及牙周病!
咬合功能不良!

 
齒列矯正
的時機

牙齒矯正基本上並無年齡的限制,但必須牙齒本身及牙周組織在健康狀況才可進行。只要牙周狀況健康,任何年齡幾乎都能做,只是成人的矯正工作較費時費力。

青少年及兒童的矯正則要參考發育狀況訂出最有利的時機。

建議在8歲做第一次齒顎矯正檢查,以後因個人情況定期追蹤確定治療開始的最佳時機,將使您的矯正治療耗時最少而效果最好。

 
矯正是否有
後遺症?

齒顎矯正治療一般要一年多的時間,因此優良口腔衛生及患者充分配合是矯正成功的兩大要素。

因矯正器容易藏污納垢,所以每天必須遵照矯正醫師指示,以特定矯正器清潔工具,方法及檢查液清理。否則將會產生齲齒(蛀牙),及牙周病,既失去美觀也失去了健康。

齒顎矯正患者因每月只複診一次,因此患者在家在校的充分配合能確保矯正治療更有效率,也可減少後遺症的發生。

如遵守醫囑按時佩戴產生力量的橡皮圈及牽引裝置,避免過硬過黏食物以防矯正器鬆脫等,皆可避免療程增長。

因矯正時間愈短,產生齲齒、牙周病等後遺症的可能愈低。

 
為什麼需要上
矯正器?

我們的牙齒表面是由十分光滑及堅硬的砝琅質構成,需要黏上矯正器提供 施力點 才能給予牙齒矯正力進而使之移動。

那為什麼還需要矯正線呢?
當醫師黏上矯正器後,需要一個 穩定的軌道 讓牙齒可以依循醫師的調整、施力而移動,並非漫無目的地隨意擺動,矯正線正是扮演著 提供軌道 的角色。

 
LH(low hysteresis)

什麼是 LH(low hysteresis) 矯正法?與傳統矯正又有何差別呢? L&H Titan改良式超彈性鈦鎳合金線 是由國立日本東京醫科齒科大學所研發的新一代矯正線。其所衍生的直線式矯正方法,提供了患者新的治療選擇, 具有減少治療時程、降低疼痛感及符合牙齒移動生理等優點。

 
L & H Titan
的優點
L & H Titan 與傳統矯正方式所使用的不鏽鋼等硬線相較之下,有著以下的優點:
1
超彈性(super-elasticity)

此性質讓矯正醫師可以在治療初期,便可將排列凌亂的牙齒做三度空間的精準控制及排列,減少傳統矯正繁瑣的換線過程,對牙齒而言,不會有來回擺盪的移動。再者L &s; H可提供 輕而持續 的矯正力,讓牙齒的移動更符合生理反應,健康地移動牙齒;同時減少了患者對疼痛感的不適。

 
2
形狀記憶(shape memory)

硬線一旦產生永久型變(例如咬合力或咀嚼硬物),便無法提供穩定軌道,已排列好的牙齒亦有可能因此偏離了理想位置。鈦鎳合金線形狀記憶的特性大幅改善了這個問題,讓牙齒可以在 穩定的軌道 上隨著醫師的調整順利地移動。

 
3
咬合力震盪吸收(shock & vibration resorption)

此更是L & H矯正線卓越而有別於其他鎳鈦合金線的優點。為了進行矯正治療,醫師不得不將口內同一牙弓的牙齒以矯正線相連,但後牙因咀嚼所產生的震盪波,便會藉由剛硬的矯正線傳導至較瘦小、單牙根的前牙,久而久便可能會產生了矯正醫師所最不樂見的副作用-牙根吸收。然而,L & H矯正線經過多年、完整的體外、動物實驗及臨床實際應用,為以往無能為力的副作用提供了絕佳的解決方案。

 
 
維持器的重要

牙齒或骨骼移動至健康美觀的位置後,較舒適及易清潔的活動固位器將取代矯正器固定牙齒在新的位置發揮功能,否則將可能恢復凌亂排列。