醫療項目
固定假牙
概論

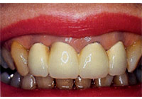
牙齒的有兩個主要功能:吃東西跟美觀,如果缺牙了會有甚麼影響呢:1.影響咀嚼效率。2.鄰牙位移。3.影響美觀,缺牙時,同牙弓區鄰牙往缺牙區倒或是對側牙弓之對咬牙往缺牙區長,因此得製作固定式牙橋,或根管治療後的牙齒,也建議製作固定式牙冠等。如果假牙邊緣不密合,除了有美觀問題,亦可能造成再一次蛀牙(圖01-04)

圖1
圖2
圖3
圖4

參考影片: Tooth preparation under microscope

 

除了專業知識與經驗,近年來CAD/CAM、3D列印、全瓷冠等問世,增進了治療的精準度,本院的軟硬體設備參考如下:

 

參考: 軟硬體設備

金屬牙冠

金屬牙冠整顆牙冠都用金屬所鑄造而成,其所使用的金屬依材質可分為"貴金屬"."半貴金屬"和"普通金屬".當然價位也依所選擇的金屬不同而不同,另一種變化,是咬合面金屬,但頰側為陶瓷,依據咬力、美觀等有所調整(圖05-06)

圖5
圖6

參考病例: 金屬牙冠-#26

金屬燒付瓷牙

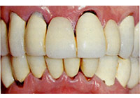
金屬燒付瓷牙
金屬燒付瓷牙,內層是金屬.外層再燒上瓷粉.就是一般說的"瓷牙".但它內層還是有一層金屬跟"全陶瓷牙"不同.其所使用的金屬依材質可分為"貴金屬"."半貴金屬"和"普通金屬"。(圖07-11)

圖7
圖8
圖9
圖10
圖11

參考病例: 前牙金屬燒付瓷牙牙冠:左上犬齒至右上犬齒

 
全瓷冠

全瓷冠:
全金屬假牙和瓷牙都含有金屬成份,使用的金屬材質分為賤金屬、半貴金屬和貴金屬;賤金屬較不穩定,使用久後會讓牙齦變色,也有金屬溶出的疑慮;半貴金屬和貴金屬相對穩定性高,比較不會出現牙齦染色的問題。全瓷冠假牙則是完全不含金屬成分,氧化鋯材質堅硬,目前最被牙醫師所使用;全瓷冠可以依照民眾的齒色燒附一層陶瓷,讓牙齒透光更好,色澤更逼真。

 

參考病例: 前牙堆築式二氧化鋯全瓷冠牙冠:左上側門齒至及右上側門齒共4顆

 
馬麗蘭牙橋

「黏著性假牙」在牙科的發展,坊間亦有些牙醫師稱之為「馬里蘭牙橋」,它的應用原理很簡單,即是利用兩旁牙齒表面琺瑯質適度的圍抱型態,製作出連繫中央缺牙部位而為一體成型的金屬架構,修復所缺損的牙齒,而主要的特性是藉強力牙科用黏著劑與兩旁齒質粘結架起,以回復美觀之外型和健全的咬合功能。(圖15)

圖15

參考病例: 馬麗蘭牙橋:左下正門齒至右下側門齒

釘柱

釘柱
由於在根管治療後,加上原蛀牙將導致齒質更加脆弱,做根管治療後如果做假牙,脆弱的齒質有時會因為咬裂而必須拔除。另外,通常根管治療後的牙齒,因為齒質都會被磨耗而呈中空狀,若要直接做假牙,由於擔心支撐力量恐怕不足,牙醫師就必須在牙根內打柱釘,以支撐假牙。」,「柱心的材質可分為金屬、陶瓷及碳纖維三種,主要是依據齒質保留的多寡及美觀的要求而定。」(圖16-19)

圖16
圖17
圖18
圖19

參考影片: 陶瓷鑄造釘柱

參考病例: 金屬鑄造式釘柱

參考病例: 金屬預製釘柱

參考病例: 玻離纖維釘柱

參考病例: 陶瓷釘柱

 
膺復前處理-牙周

當牙齒斷裂至牙齦內,牙齒蛀洞太深延伸至牙齦內難以填補或是剩下牙齒的結構露出牙齦外太少無法做牙套,則可以考慮以牙冠增長術切去部分的牙齦,磨去部分的齒槽骨,使缺損的牙齒露在牙齦之外,以利蛀洞填補或是牙套的製作。此外,有些病患在上顎前牙區域,笑時看到很多的牙齦,牙冠看起來很短,或者是牙齦位置高高低低,局部牙冠的長度不一致,也可以利用此手術方法來增長牙冠長度,使左右相鄰牙齒的牙冠長度及牙齦位置協調一致。臨床上並非所有斷裂或是有缺損的牙齒皆可用牙冠增長手術來處理,有些牙齒的缺損深入牙齦太多,要切太多的牙齦會損失牙齒太多的支持組織,術後牙看起來也會較長,此時可能考慮合併矯正治療將缺損的結構拉出一些再做牙冠增長手術。也有可能因為牙齒破壞太厲害難以修復,將牙齒拔除(圖20-23)。

圖20
圖21
圖22
圖23

參考影片: Crown lengthing surgery with water laser-#13柱

參考病例: 右下第二大臼齒牙齦下蛀牙

 
膺復前處理-矯正

膺復前處理-矯正
齒顎矯正是利用固定或活動的矯正裝置,來調整排列不整齊的牙齒、及上下顎骨生長過度或發育不足,所引發的咬合功能不良與美觀間題。針對局部想改善來進行矯正治療,因長時間未處理缺牙位置導致牙齒位移;或因製作假牙空間的不足進行局部治療(圖24-26)

圖24
圖25
圖26

參考病例: 牙齒傾斜移正並製作假牙