醫療項目
顯微牙周治療
概論

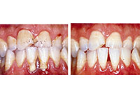
成人百分之七十都有或輕或重的牙周病,很多人卻不曉得牙周病的症狀,一般牙周病常見的症狀有:牙齦紅腫、刷牙容易流血、牙齒動搖、對冷熱敏感、牙齦萎縮、口臭等等。而牙周病主要是由螺旋桿菌引起的。螺旋桿菌會刺激牙齦,引發紅腫流血,破壞支撐牙齒的齒槽骨,導致牙齦萎縮、牙根外露、牙齒搖晃等問題。(圖01-02)

圖1
圖2

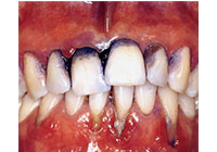
牙周病的診斷:檢查時,牙醫師以牙周探針輕輕的偵測牙齒和牙齦間的囊袋。在牙齦線的邊緣,牙齦組織並沒有連到每一顆牙齒。而是,有一條很淺v-型的溝,叫做牙齦溝。正常時,牙齦溝的深度應該小於3毫米,有牙周病時,會形成一個囊袋,堆積更多牙菌斑,更難保持乾淨。當診斷有牙周病後,你的牙醫師可能為你治療或轉診給牙周病專科醫師。牙周病專科醫師專門診斷、預防及治療牙周病,牙周病的治療端視牙周病進行的程度。牙齦炎是牙周病的早期,牙齦變得紅腫且容易流血,在這時期,牙周病是可逆的。(圖03-06)

圖3
圖4
圖5
圖6

診斷牙周病變,除了專業知識與經驗,近年來數位X光、牙周探測系統等問世,增進了診斷的精準度,本院的軟硬體設備參考如下:

設備參考: 顯微牙周治療設備

 
牙周固定

牙周病患者經過基礎治療後,多數患牙的鬆動度能減輕。但部分牙槽骨吸收嚴重,動度大的牙炎症消退後依然難以恢復正常,影響患者咀嚼功能,且容易產生咬合創傷。牙周固定術使用金屬線等將牙周炎鬆動牙和健康穩固的鄰牙上,分散患牙承受的牙合力,促進牙周組織修復,是牙周治療的重要組成部分。(圖7-10)

圖7
圖8
圖9
圖10

參考病例: 牙周固定-下顎前牙

牙周治療

牙周病的非手術治療, 包括牙齦上及牙齦下的結石清除和整平, 以及病人口腔衛生的確實執行. 治療的目的期待能夠藉由減低口內的細菌量, 和改變口內細菌的組成 (減少致病細菌的比例) 來減低發炎的程度, 並期待牙肉能與清潔過後的牙根作再貼合的動作, 希望能最終達成降低牙周囊袋深度的目的.
確實的牙齦下結石清除和牙根整平, 對於囊袋的降低是極為重要的. 若配合確實的口腔衛生習慣, 可減少許多不必要的牙周手術治療. 然而當牙周病醫師作了確實的清潔後, 病人卻未能同步花時間花心思去做好口腔衛生的要求, 則治療效果也是會大打折扣的. 所以在每次開始治療之前, 都會檢查口腔衛生清潔的狀況, 並加強指導未達標準的區域. 作嚴格的督促!(圖11-13)

圖11
圖12
圖13

參考病例: 牙周病非手術治療

 
牙冠增長手術

當牙齒斷裂至牙齦內,牙齒蛀洞太深延伸至牙齦內難以填補或是剩下牙齒的結構露出牙齦外太少無法做牙套,則可以考慮以牙冠增長術切去部分的牙齦,磨去部分的齒槽骨,使缺損的牙齒露在牙齦之外,以利蛀洞填補或是牙套的製作。此外,有些病患在上顎前牙區域,笑時看到很多的牙齦,牙冠看起來很短,或者是牙齦位置高高低低,局部牙冠的長度不一致,也可以利用此手術方法來增長牙冠長度,使左右相鄰牙齒的牙冠長度及牙齦位置協調一致。臨床上並非所有斷裂或是有缺損的牙齒皆可用牙冠增長手術來處理,有些牙齒的缺損深入牙齦太多,要切太多的牙齦會損失牙齒太多的支持組織,術後牙看起來也會較長,此時可能考慮合併矯正治療將缺損的結構拉出一些再做牙冠增長手術。也有可能因為牙齒破壞太厲害難以修復,將牙齒拔除(圖14-17)。

圖14
圖15
圖16
圖17

參考影片: Gingivectomy and OD with water laser-#46

參考病例: 右下第二大臼齒牙齦下蛀牙

 
骨修整手術

如果有骨頭破壞的情形發生,則齒槽骨的修整手術將含在牙周手術中一併進行,這是為了使因破壞而造成表面不平整的骨頭能有較平滑的表面形態,進而加速牙周囊袋的癒合。(圖18-20)

圖18
圖19
圖20

參考影片: Open curette

參考影片: Inductive osseous surgery

參考病例: 左下骨修整手術-#33

 
牙周再生手術

牙周再生手術是一種要求較高的牙周手術,其成功取決於多種條件的滿足,這些條件是:嚴格的適應證選擇;牙齦的炎症被有效控制;骨內袋中的肉芽組織應當儘可能被清除;生物膜在齦溝“領口”處應與牙根面盡量密合,以保證無齦上皮長入;生物膜與牙根之間應保持充分的空間,即足夠的膜根間隙;齦瓣應將生物膜完全覆蓋;術前術後有效的菌斑控制。(圖21-25)

圖21
圖22
圖23
圖24
圖25

參考病例: 牙周再生手術治療

 
橋體區增厚術

齒槽骨長時間缺少牙根的支撐,將會嚴重萎縮造成牙弓走位,且支撐臉型的能力也會降低,您的外在美也會跟著改變。牙脊塌陷增厚-皮下組織移植體可以將已塌陷的牙脊增厚,對於仍需選擇傳統牙橋的患者,可避免牙橋容易卡食物,並改善美觀。(圖26-28)

圖26
圖27
圖28

參考病例: 更新中

 
牙根覆蓋術

臨床上常見的是橫刷牙損傷了牙齦組織引起萎縮。角質化牙齦移植是牙周整形手術方式之一,是將上顎腭側或無牙脊上的牙齦取下後,再移植到角質化牙齦缺乏的位置,由於牙齦的再生能力強,傷口約術後1~2週即恢復穩定,牙齦捐贈區也會漸漸恢復原貌。(圖29-32)

圖29
圖30
圖31
圖32

參考病例: 皮下結締組織移植術