特色醫療
前牙美學

前牙的部位一般指前面六顆牙,包括中門牙、側門牙及犬齒,兩側加起來總共有六顆。但現今前牙美學的範圍甚至已經延伸到小臼齒,其治療的項目包括了全瓷冠、瓷牙貼面、牙齒美白、軟組織重整、齒列矯正…等,無金屬補綴物像是全瓷冠、瓷牙貼面,已經成為前牙美學的主流。

全金屬假牙和瓷牙都含有金屬成份,使用的金屬材質分為賤金屬、半貴金屬和貴金屬;賤金屬較不穩定,使用久後會讓牙齦變色,也有金屬溶出的疑慮;半貴金屬和貴金屬相對穩定性高,比較不會出現牙齦染色的問題。

全瓷冠

全瓷冠假牙則是完全不含金屬成分,氧化鋯材質堅硬,目前最被牙醫師所使用;全瓷冠可以依照民眾的齒色燒附一層陶瓷,讓牙齒透光更好,色澤更逼真。

圖1
圖2
圖3

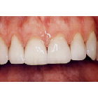
參考病例: 前牙堆築式二氧化鋯全瓷冠牙冠:左上側門齒至及右上側門齒共4顆

 
陶瓷貼面

陶瓷貼片俗稱牙齒美白貼片,將唇側部份牙齒以陶瓷製成之貼片黏著,以修復受損及美化顏色、形態不佳之牙齒。最簡單的說法就是在輕微斷裂蛀蝕或顏色異常的牙齒上黏合上薄薄的瓷片;而其製作步驟是將牙齒的唇側外表面磨掉薄薄的一層之後,再利用酸蝕黏合的技術,將0.2至0.5 mm的瓷片,以特殊高強度之複合樹脂將瓷片黏著在牙齒表面上。瓷牙貼片能夠改善牙齒的形狀,長度還有顏色,達到牙齒整齊和美白的效果。目前以上下前牙為主。

圖4-1
圖4-2
圖5
圖6
圖7
圖8
圖9
圖10-1
圖10-2
 

參考病例: 陶瓷貼面-#11,21

參考影片:Ceramic Vneer

 

了解患者審美需求,除了專業知識與經驗,近年來CAD-CAM、全瓷材料推陳出新,增進了治療的精準度,本院的軟硬體設備:
審美牙科儀器設備