立即植牙-下顎側門齒嚴重牙周病
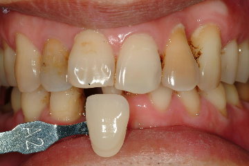
患者
|
|
|
|
圖一 |
圖二 |
因此本次治療的計畫為
一、立即拔牙
二、立即植牙(下顎前牙之齒槽骨與人工植牙形態相近,並且患者不需再次手術)
三、骨粉及再生膜修補骨質破損處
四、早期受力(由於下顎骨為硬骨質居多,因此2-4週內即可完成假牙重建)
圖三為拔牙後的完整骨槽骨形狀,圖四為使用之Omni Tight人工植牙體,圖五為立即植牙後的情形,這時流血已完全停止,而齒槽骨與人工植第之縫隙再使用合成人工骨粉修復之,圖六為一週後牙肉之恢復情況
|
|
|
|
圖三 |
圖四 |
|
|
|
|
圖五 |
圖六 |
經過四週後,由於傷口癒合良好,準備製作假牙,由於是前牙區,因此顏色相當重要,因此使用數位比色(圖七)及數位攝影(圖八),取得牙齒之精確顏色分佈。
|
|
|
|
圖七 |
圖八 |
由於患者的下顎前牙區排列不整,因此與技師溝通牙齒之外形與排列必須與患者之原口內狀況相仿,而圖九及與圖十為技工室完成的植牙假牙模型
|
|
|
|
圖九 |
圖十 |
經裝戴完成,患者複診後,植牙之美觀與功能皆符合患者之期待(圖十一、圖十二)
|
|
|
|
圖十一 |
圖十二 |
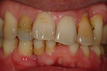
術前及術後比較
|
|
|
|
術前 |
術後 |










