C型根管之下顎大臼齒
有關 C 型根管病例報告,最早由 Cooke 等學者在 1979 年提出3。C 型根管主要發生於下顎第二大臼齒,亦有少數病例報告發生於其他部位,如上顎第一4、第二大臼齒5、下顎第一大臼齒6,及合併的齒中齒上顎側門齒7。就下顎第二大臼齒而言,C型根管的發生率依人種及研究方式相異而有所不同,其中以亞洲人種為研究對象的結果顯示,C 型牙根(C-shaped roots)的發生率為 31.5%,而 C 型根管(true C-shaped canal)的發生率可達 13.9%。
研究報告東方人的下顎第二大臼齒的C形根管大約有3成,這位患者有二次蛀牙,因此進行根管治療,使用顯微將根管徹底清潔並封填之,術後情況良好

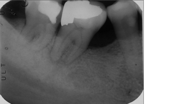
治療前,患者有二次蛀牙,產生不可逆牙髓炎

C形根管修形,以顯微鏡輔助使用

修形後,以垂直熱充填封填根管

術前、術後比較
患者的症狀改善理想
