立即植牙-下顎側門齒嚴重牙周病 患者
圖一 圖二

因此本次治療的計畫為
一、立即拔牙
二、立即植牙(下顎前牙之齒槽骨與人工植牙形態相近,並且患者不需再次手術)
三、骨粉及再生膜修補骨質破損處
四、早期受力(由於下顎骨為硬骨質居多,因此2-4週內即可完成假牙重建)
圖三為拔除之下顎側門齒,可見牙根處仍有許多的牙結石,因此治療無望,圖四為立即植牙後的情形,這時流血已完全停止,而齒槽骨與人工植第之縫隙再使用合成人工骨粉修復之,圖五為一週後牙肉之恢復情況
|
|
|
|
圖三 |
圖四 |
|
|
|
|
圖五 |
經過四週後,由於傷口癒合良好,準備製作假牙,由於是前牙區,因此顏色相當重要,因此使用數位比色(圖六)及數位攝影(圖七),取得牙齒之精確顏色分佈。
|
|
|
|
圖六 |
圖七 |
經裝戴完成,患者複診後,植牙之美觀與功能皆符合患者之期待(圖八、圖九)
|
|
|
|
圖八 |
圖九 |
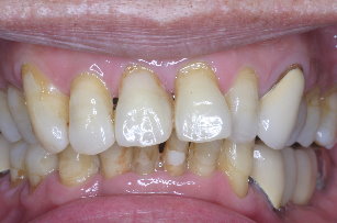
術前、術後之比較
|
|
|
|
術前 |
術後 |





