陶瓷冠蓋體-#14(原複合樹脂)
過去較大的蛀牙僅能利用樹脂或牙套等復形,但是以複合樹脂復形,常久下來,樹脂邊緣常有微滲漏的問題,引發二次蛀牙,更進一步地會造成蛀牙過深,這時病人可能需進行根管治療、釘柱復形最後再做牙套。而崁體及冠蓋體所用的材料為陶瓷塊,其硬度與耐磨度與牙齒琺琅質相當,陶瓷塊經14000高溫熔化後,所成形的復形物為一體成形,經樹脂黏著劑黏著後,與牙齒成為一體,可承受較高的咬合力、久了邊緣也是完整的,而陶瓷塊自1984年問世至今,已20餘年,在國外,是一個相當成熟的產品
/01-2.jpg)
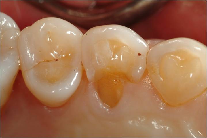
治療前,牙齒斷裂
/02.jpg)
牙齒製備與雷射牙齦切除
/03.jpg)
陶瓷冠蓋體製作
/04-2.jpg)
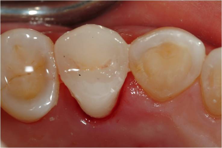
黏著後
/05.jpg)
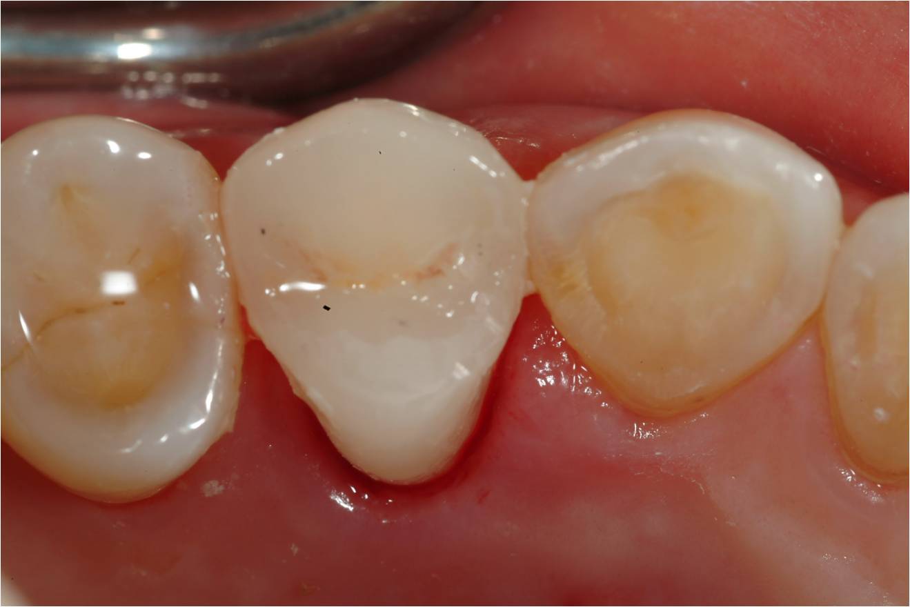
術前、術後比較
陶瓷塊自1984年問世至今,已20餘年,在國外,是一個相當成熟的產品
/06-2.jpg)