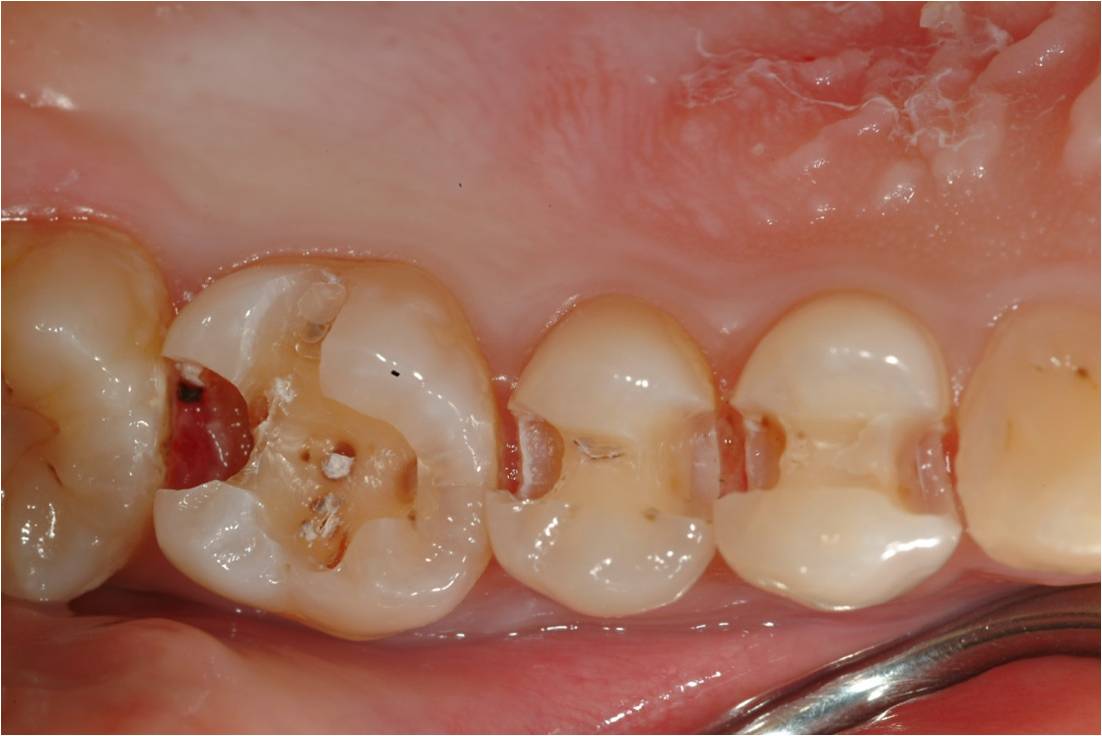
陶瓷崁體-#14-16(鄰接面二次蛀牙)
人工琺瑯質瓷塊晶相排列整齊,其硬度、磨耗耐受力與冷熱傳導等物理特性都和天然齒質相似,不傷害對咬牙,提供最佳的生物相容性及優異的咬合穩定性。
與天然齒質邊緣密合度最佳,能有效降低傳統填補技術所造成的邊緣滲漏,以及形成二度蛀牙的發生機率。
對於臨床上不易處理之鄰接面蛀牙,也能夠提供絕佳的復形能力,及邊緣密合度,有效恢復牙齒健康美觀的外形。
與其他治療法相比,自然透光性良好,提供絕佳的美觀需求及美學效果,更可有效保存自然健康的齒質。
主成份:人工琺瑯質瓷塊(Machinable Ceramics)是由高溫高壓燒結,經14天慢慢降溫後裁切而成,其主要成分為二氧化矽,氧化鉀,氧化鎂,氟化鎂,氧化鋁,氧化鋯等組成的玻璃陶瓷結晶體。
/01-2.jpg)
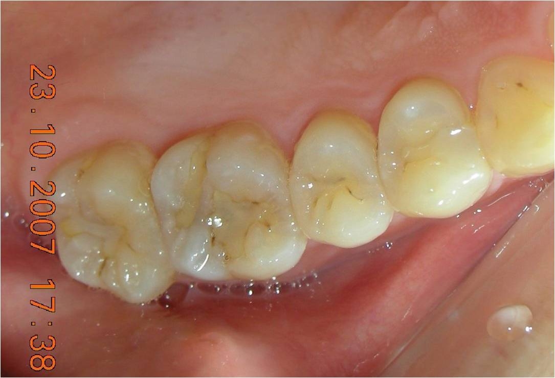
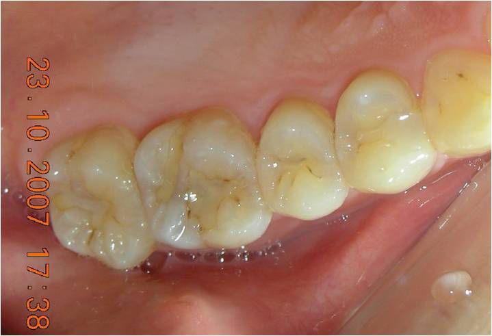
治療前,鄰接面二次蛀牙
/02.jpg)
X光可見第一小臼齒至第一大臼齒鄰接面蛀牙
/03.jpg)
崁體窩洞製備
/04.jpg)
陶瓷崁體製作
/05.jpg)
以障皮障隔離,準備黏著
/06.jpg)
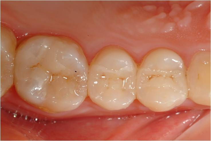
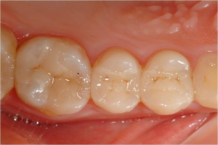
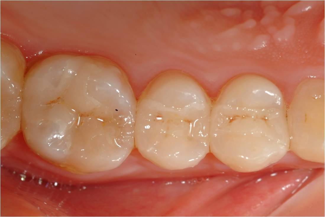
黏著後狀態
/07.jpg)
術前、術後比較
對於臨床上不易處理之鄰接面蛀牙,也能夠提供絕佳的復形能力,及邊緣密合度,有效恢復牙齒健康美觀的外形。
/08-2.jpg)