陶瓷冠蓋體-#14 &15(牙齒斷裂)
過去較大的蛀牙僅能利用樹脂或牙套等復形,但是以複合樹脂復形,常久下來,樹脂邊緣常有微滲漏的問題,引發二次蛀牙,更進一步地會造成蛀牙過深,這時病人可能需進行根管治療、釘柱復形最後再做牙套。而冠蓋體所用的材料為陶瓷塊,其硬度與耐磨度與牙齒琺琅質相當,陶瓷塊經14000高溫熔化後,所成形的復形物為一體成形,經樹脂黏著劑黏著後,與牙齒成為一體,可承受較高的咬合力、久了邊緣也是完整的,而陶瓷塊自1984年問世至今,已20餘年,在國外,是一個相當成熟的產品。


治療前,牙齒顎側咬頭斷裂

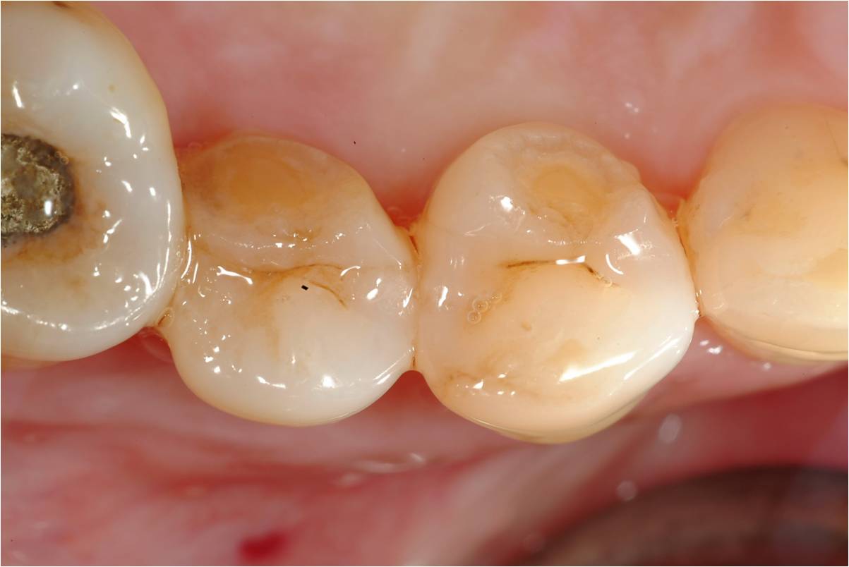
牙齒(冠蓋體)製備


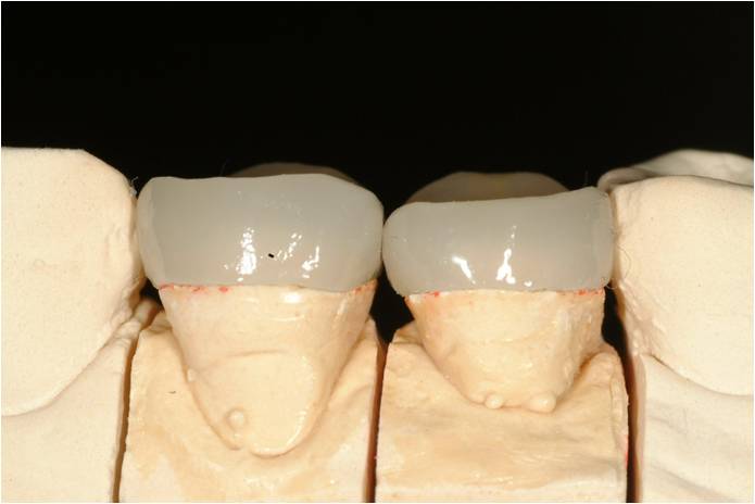
陶瓷冠蓋體模型



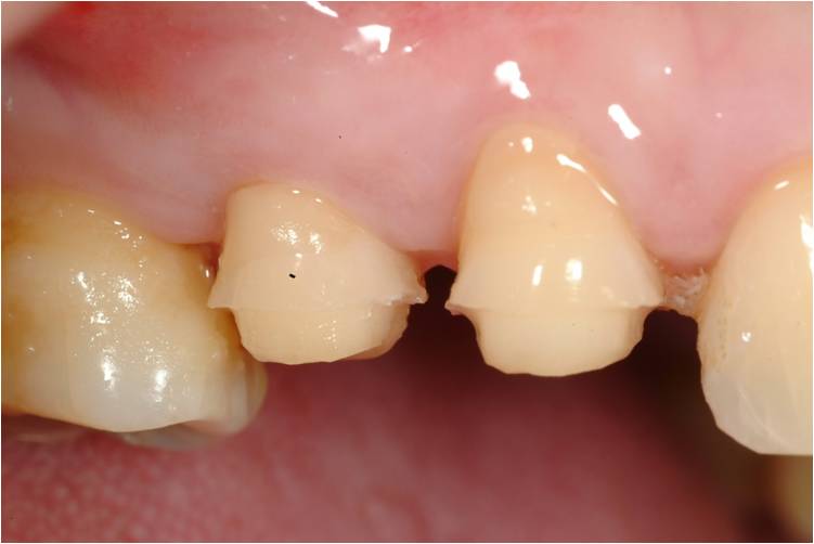
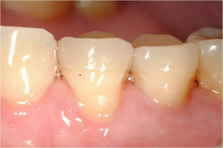
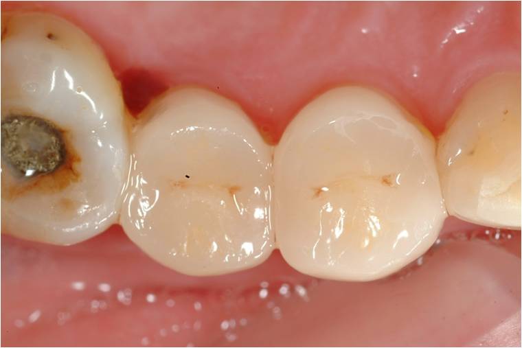
黏著後,與剩餘齒質理想的連接


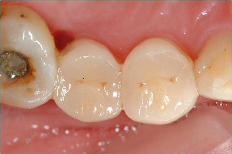
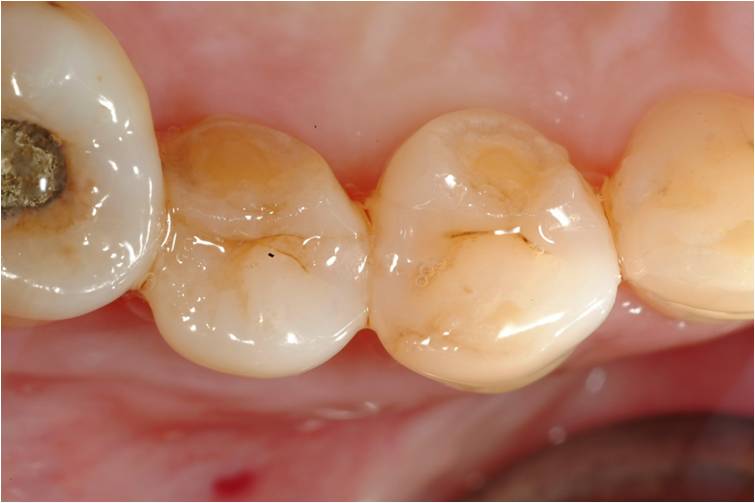
術前、術後比較
陶瓷塊自1984年問世至今,已20餘年,在國外,是一個相當成熟的產品

