全瓷冠-上顎門牙根尖囊腫
患者蔡小姐10年前,因為蛀牙,因而製作右上正門牙及左上正門牙共2 顆,但由於長期金屬黑邊露出、陶瓷龜裂,相當不美觀,並且右上正門牙的牙齦腫脹病患經介紹至本診所,尋求顯微根管治療及審美牙科治療,希望能徹底解決此問題。
|
|
|
|
圖一 |
圖二 |
患者的經過診斷,問題如下:
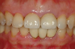
一、正面觀時(圖一),金屬邊緣明顯可見,陶瓷龜裂,陶瓷厚度明顯不足。
二、左上正中門齒,牙齦腫脹,使用馬來亞膠針,發現左上正中門齒根管病變(圖二)。
本病例的治療計畫方式為:
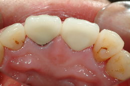
一、拆除假牙,並觀察內部牙齒的損壞情形,進行根管治療,待牙齦腫脹消失後、再進行根管充填(圖三)。
二、製作臨時假牙,並觀察牙齦的恢復情況,2 週後牙齦並無發炎等現像。
|
|
|
圖三 |
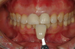
由於前牙的美觀相當重要,本院採用Cynovad數位比色機比色(圖四),並以高階數位單眼相機記錄牙齒的表面紋路及局部色澤(染色、斑點等)(圖五),因此技師即使未親臨現埸,仍可得到最精準的比色資料。
|
|
|
|
圖四 |
圖五 |
圖九為技師所完成的全瓷冠成品,氧化鋯全瓷冠有輕微透光性,可將牙齒的金屬釘柱遮光,但色澤與自然牙齒相仿,是牙科2000年後的最新科技發展。
|
|
|
|
圖六 |
圖七 |
經試戴、調整、及黏著後,過了一週,病患回診所的結果:
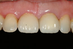
一、正面觀(圖十),全瓷冠的外形與鄰牙自然且協調
二、前牙觀(圖十一),全瓷冠由於無金屬襯?堙A因此與牙齦相當協調。
三、顎面觀(圖十二),全瓷冠的顎側與牙齦自然的接觸。
經過全瓷冠的修復,患者得到滿意的結果,可以再度露出自信且迷人的笑容了。
|
|
|
|
圖八 |
圖九 |
|
|
|
|
圖十 |
|
術前、術後比較
|
|
|
|
術前 |
術後 |




