拔牙後傷口處理-#38-1
齒槽骨在牙齒拔除後的兩到三年,會面臨 40%-60%的萎縮,之後還會有每年 0.5%-1%後續的骨喪失,因此,一旦缺牙後若沒有儘快處理,患者日後將面臨齒槽骨萎縮引起的義齒製作困難及美觀問題。
使用骨質增生膠原蛋白,來處理拔牙後的傷口。此材料適用的範圍不僅用於拔牙後傷口,所有顎骨中的病灶於手術後皆建議使用。
骨質增生膠原蛋白優點:
1 、止血效果:特殊生物材料,能立即止血,且無血塊脫落之困擾。
2、減痛效果:加速傷口癒合,有效減輕疼痛
3 、預防效果:健全牙周組織,避免鄰近牙齒產生牙周病及乾性齒槽炎

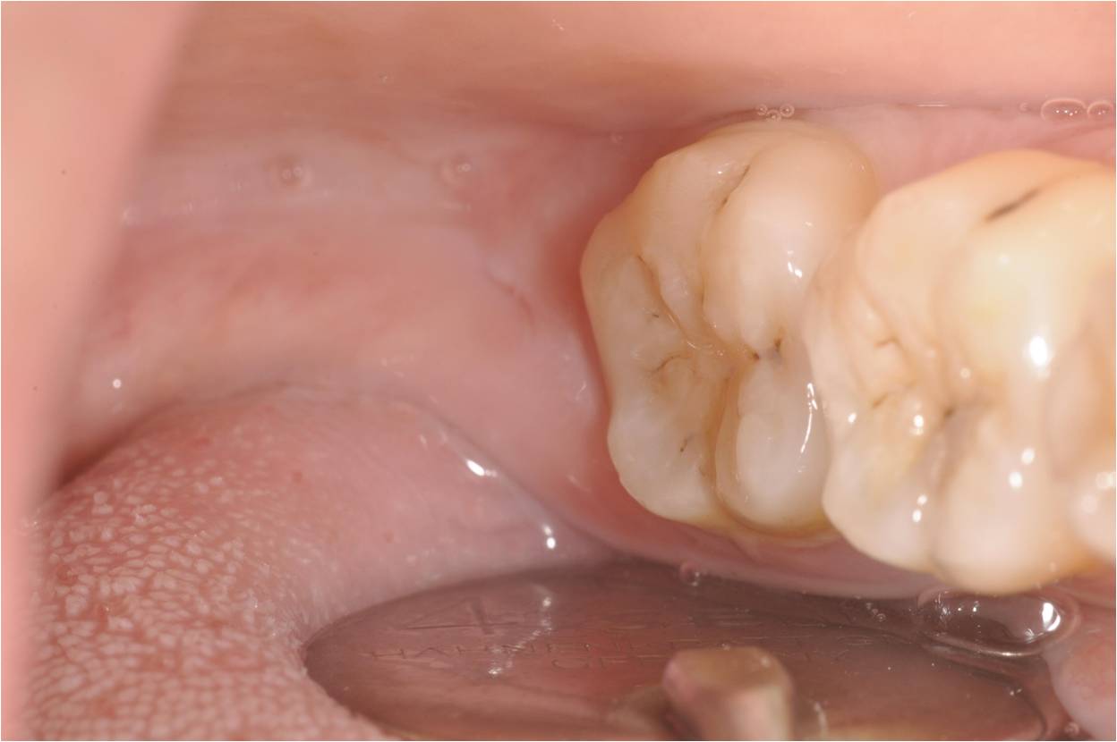
左下阻生齒術前口內狀況

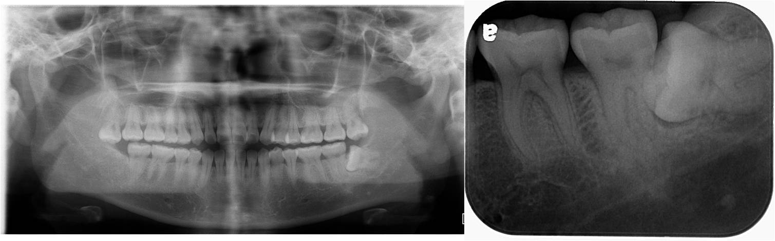
左下阻生齒:術前X光-水平智齒 
左下阻生齒:電腦斷層評估,根尖處在下齒槽正上方

左下阻生齒:拔牙及補膠原

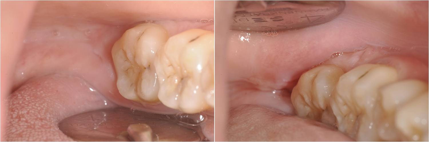
術後1週

術前、術後比較
使用骨質增生膠原蛋白,來處理拔牙後的傷口。此材料適用的範圍不僅用於拔牙後傷口,所有顎骨中的病灶於手術後皆建議使用。
