拔牙後傷口處理-牙齦腫-#38
齒槽骨在牙齒拔除後的兩到三年,會面臨 40%-60%的萎縮,之後還會有每年 0.5%-1%後續的骨喪失,因此,一旦缺牙後若沒有儘快處理,患者日後將面臨齒槽骨萎縮引起的義齒製作困難及美觀問題。
使用骨質增生膠原蛋白,來處理拔牙後的傷口。此材料適用的範圍不僅用於拔牙後傷口,所有顎骨中的病灶於手術後皆建議使用。

治療前,阻生齒牙齦經常腫脹

治療前,環口X光檢查,#38牙齒位不正

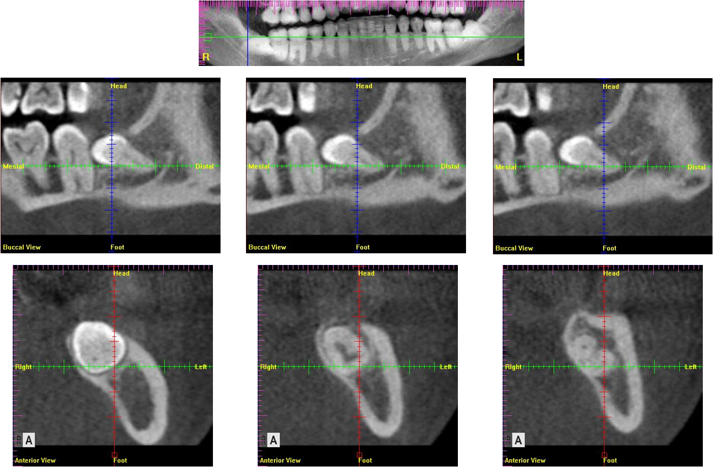
以電腦斷層檢查牙齒位,與鄰近神經

以骨膠原修復,並縫合之

X光可見骨修復

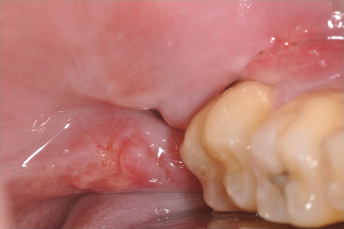
一週後傷口癒合理想

術前、術後比較
使用骨質增生膠原蛋白,來處理拔牙後的傷口。此材料適用的範圍不僅用於拔牙後傷口,所有顎骨中的病灶於手術後皆建議使用。
