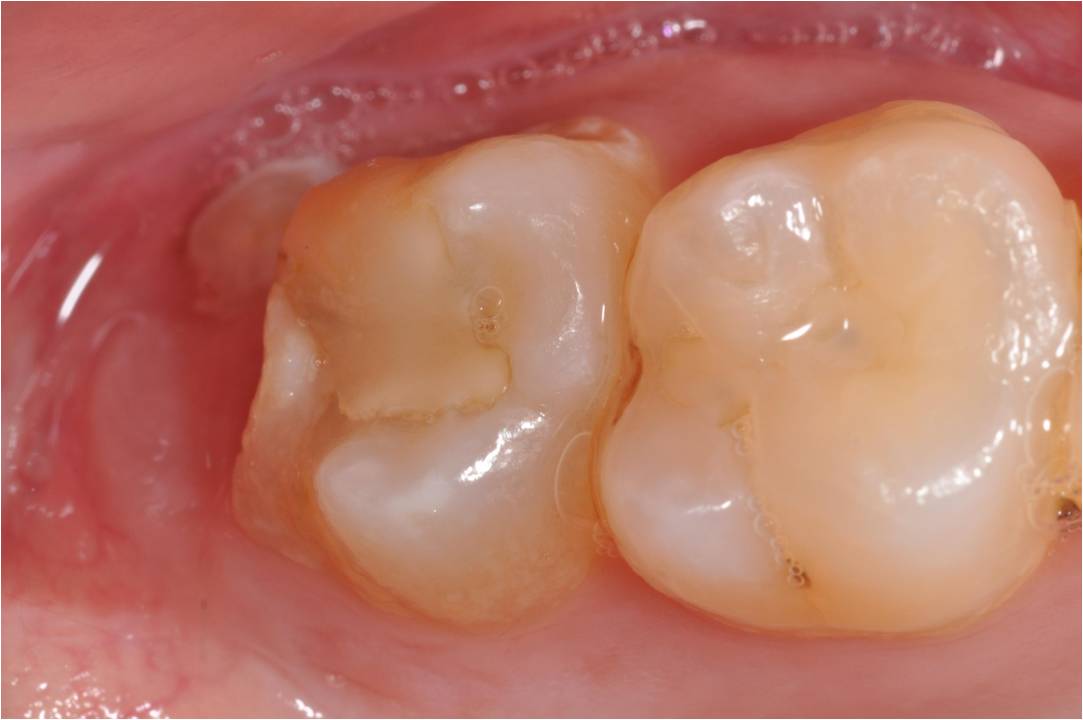
陶瓷崁體-二次蛀牙-#27
陶瓷鑲嵌與陶瓷嵌體因為強度高、抗磨耗,完全不用擔心因長期使用產生耗損、或者因為強度不足,而導致斷裂,讓牙齒又再次蛀牙。陶瓷鑲嵌與陶瓷嵌體可以根據不同的牙齒顏色去選擇顏色製作,又抗染色不會因為時間日久產生變色。
陶瓷鑲嵌與陶瓷嵌體是根據蛀牙的窩洞量身訂做,不管是顏色、精密度都是最佳的選擇,因此是非常美觀與持久的填補窩洞材料與技術。

治療前,已補上複合樹脂,二次蛀牙,牙齒敏感

上椽皮障,顯微鏡下,崁體修形
咬合器崁體製作

上椽皮障,以樹脂黏著劑,崁體黏著

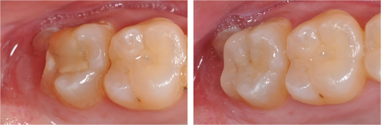
治療後,美觀與功能恢復理想

術前、術後比較
陶瓷鑲嵌與陶瓷嵌體是根據蛀牙的窩洞量身訂做,不管是顏色、精密度都是最佳的選擇,因此是非常美觀與持久的填補窩洞材料與技術
