正門牙外傷後修復
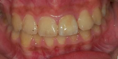
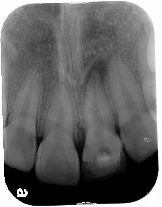
患者王小姐因左上正前牙疼痛劇烈前來求診 , 詳細問診之後, 了解該患者因多年前外傷造成前牙斷裂(見圖一) , 因當時只做緊急處理暫時用複合樹脂補起來 , 並未完整徹底根管治療 , 照數位X光(見圖二)後,發現左上正中門齒有根尖發炎的現象 , 初步診斷為慢性牙髓炎合併根尖骨質破壞 .
![]() |
![]() |
|
圖一 |
圖二 |
進行精密的顯微根管治療後 , 確認症狀消除 , 充填根管. (見圖三)
| |
|
圖三 |
之後進入假牙復形步驟 , 跟病患討論各種假牙的優缺點後 , 病患決定以全瓷冠復形 , 並以彈性玻璃纖維釘柱作為根管釘柱材料 .
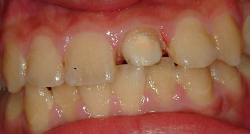
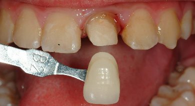
根管內稍做修形放入玻璃纖維 , 修形成全瓷冠需要的牙齒形狀,以雙線排齦方式印模(見圖四) , 並以數位照相及比色機比色(圖五)
![]() |
![]() |
|
圖四 |
圖五 |
一週後 , 全瓷冠於技工室製作完畢(見圖六)
![]() |
|
圖六 |
於診間試戴無誤後 , 以永久黏著劑黏上 . 美觀與自然程度符合病人的需求

術前、術後比較
![]() |
![]() |
|
術前 |
術後 |




