瓷塊(冠蓋體)復形-牙齒斷裂
患者
|
|
|
圖一 |
與病患談論牙齒的復形問題,復形物選擇有複合樹脂、崁體及冠蓋體,及牙套三種,以下為其優缺點比較:

崁體及冠蓋體所用的材料為陶瓷塊,其硬度與耐磨度與牙齒琺琅質相當,陶瓷塊經 1400 0 高溫熔化後 ,所成形的復形物為一體成形,經樹脂黏著劑黏著後,與牙齒成為一體 ,可承受較高的咬合力、久了邊緣也是完整的,而陶瓷塊自 1984 年問世至今,已 20 餘年。
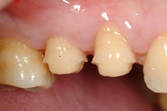
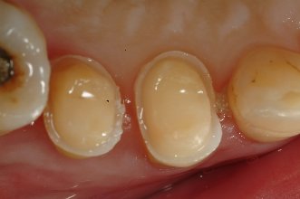
本病例因牙齒咬頭破裂,建議患者使用冠蓋體復形,將牙齒修形印模後(圖二、圖三),經技師製作後的崁體(圖四、圖五、圖六),待送回診所後,使用樹脂黏著劑,將崁體黏著至牙齒,一星後患者回診,咬合與美觀符合病患的期待(圖七、圖八)。
|
|
|
|
圖二 |
圖三 |
|
|
|
|
圖四 |
圖五 |
|
|
|
|
圖六 |
圖七 |
|
|
|
|
圖八 |
|
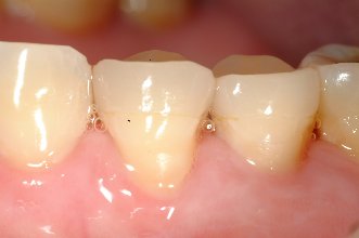
術前、術後比較
|
|
|
|
術前 |
術後 |






