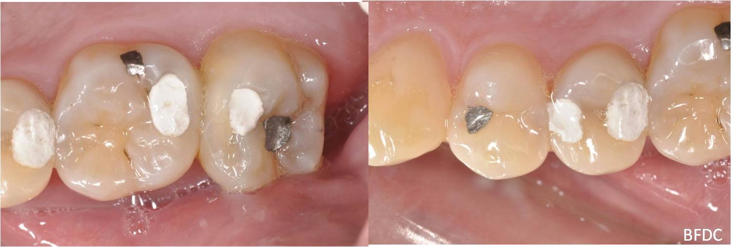
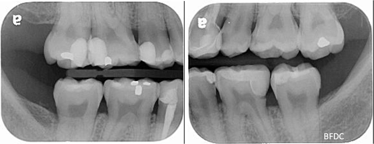
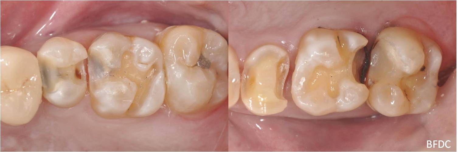
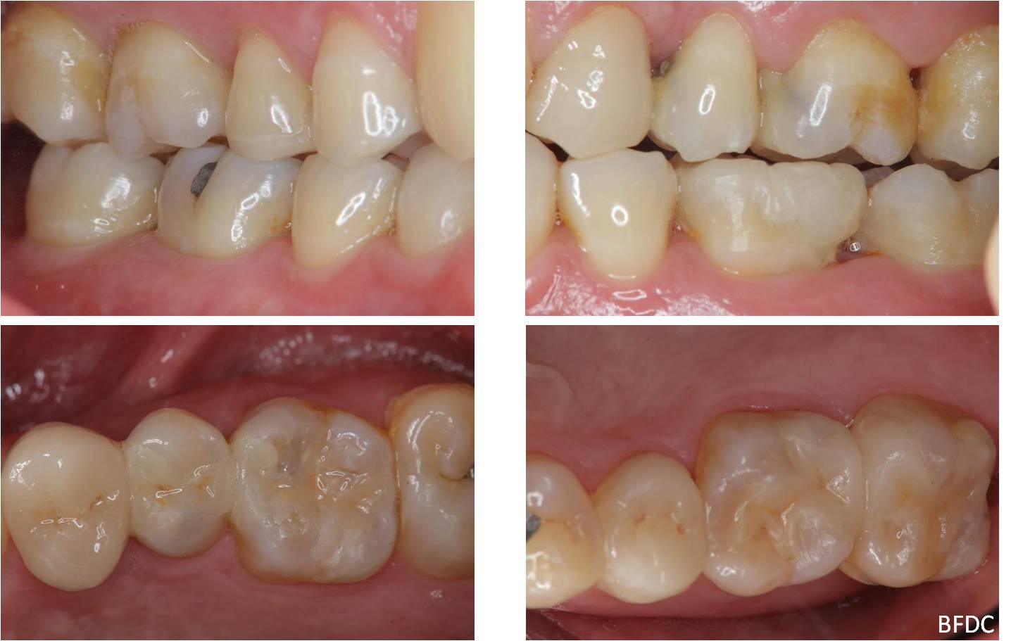
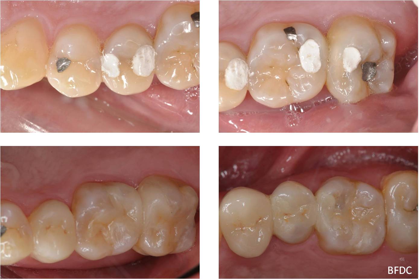
陶瓷崁體及冠蓋體-蛀牙-#1516172526 大範圍的補皮,該如何選擇,嵌體的方式就適用於大範圍的填補,因為它是一體成形, 嵌體材質多種,以往才會使用黃金合金,但因價格昂貴且顏色太過突出,因此現在多使用玻璃陶瓷二氧化鋯等材質的全瓷冠。嵌體有其優勢,因一體成形的材料,硬度和穩定性都較高,不用一點一點填補,減少下方凹陷重複蛀牙的危機,也不會變形或染色,美觀度高很多。 #1516172526蛀牙 #1516172526蛀牙 崁體及冠蓋體修形 安裝模型至咬合器 嵌體及冠塊體製作 陶瓷崁體及冠蓋體 黏著後 黏著後X光 術前、術後比較 嵌體有其優勢,因一體成形的材料,硬度和穩定性都較高,不用一點一點填補,減少下方凹陷重複蛀牙的危機,也不會變形或染色,美觀度高很多。
能避免片狀樹脂造成的,下方重複蛀牙,或彈性大造成咬合不舒服的問題,若有多顆牙齒填補,或坑陷較大者,如牙齒已蛀超過1/2或2/3者,才建議使用此種方式。 








