後牙植牙-口乾症導致牙齦下蛀牙-#1415
乾燥症(Sicca syndrome)是一種病因尚未完全明瞭的外分泌腺自體免疫疾病,也被稱為修格連氏症候群(Sjögren's syndrome),典型症狀包括眼睛乾澀、口乾,部分伴隨結締組織方面的疾病,如類風濕關節炎,紅斑性狼瘡(lupus),硬皮病(scleroderma)或多發性肌炎(polymyositis)。
此疾病好發於40歲到50歲的婦女,女性約佔90%。以破壞人體外分泌腺細胞,如淚腺、唾液腺為主。因正常分泌功能上皮細胞受到淋巴球浸潤後長期引起發炎,漸被破壞喪失功能,導致眼睛乾澀,口乾等症狀。一般而言,病人從出現輕度口腔乾燥,過渡到非常嚴重症狀尋求醫療治療,最後再被診斷為修格連氏症候群,大概都要經過5-10 年以上。
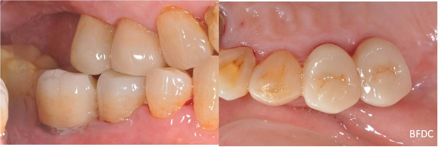
乾燥症常造成後續蛀牙等問題,本患者即由於再度牙齦下蛀牙,因此牙齒面臨拔牙命運,再後患者因單顆植牙解決缺牙問題。

治療前,牙齦下蛀牙,牙齒動搖

拔牙後6個月,電腦斷層評估

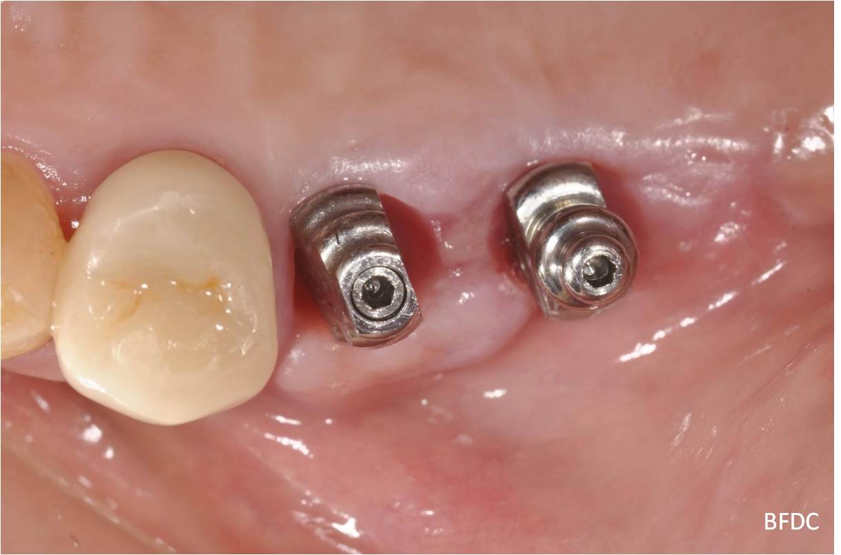
植體植入

植體二段式假牙口內套件

植牙印模

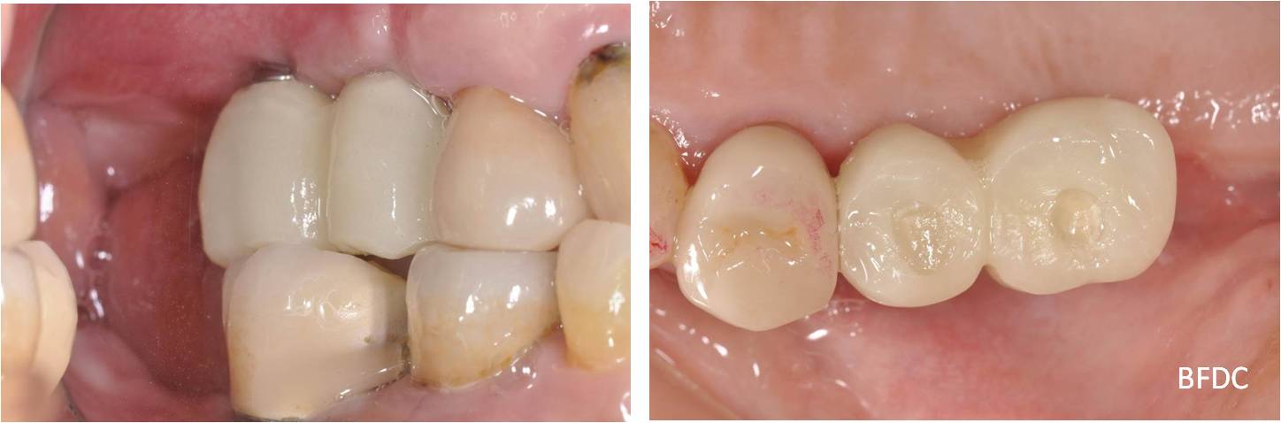
治療後

植牙二次精密印模套件

植牙二次精密印模

咬合器工作模型

全瓷冠模型

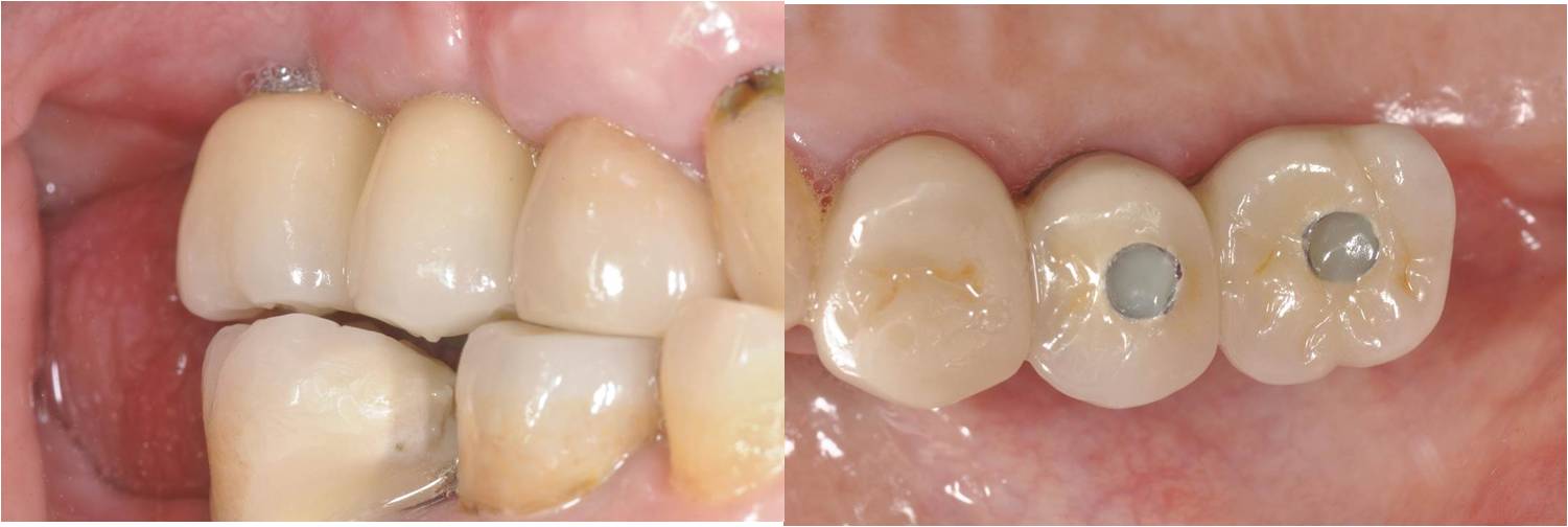
口內螺絲固定

術後X光

術前、術後比較
透過適當的植牙手術與膺復處置,患者可以恢復正常的咀嚼與美觀功能,在後牙區如果採螺絲固定型假牙,則回診時,醫生只要將螺絲鬆開清潔假牙,對於後續後續清潔與維護有莫大的幫助。
