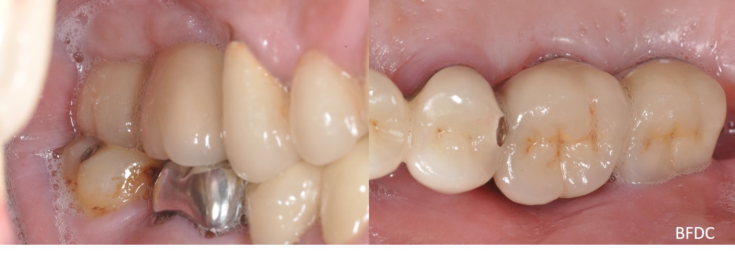
植體周圍組織發炎,如同牙齒周圍組織發炎一樣,若未影響到硬組織,則為植體周圍黏膜炎;但若破壞到周遭骨頭,即為植體周圍炎。當ㄧ旦發生,隨著時間發展,周遭骨破壞,最後植體失敗,失去功能,需要移除。因此,不得不慎。
造成植體周圍疾病的原因,如同牙周病的發生,最主要及關鍵性的因素是細菌, 例如牙菌斑。而咬合過重(Occlusal overload)、贗復完成時殘留之黏著劑(residual cement)以及製作不當之贗復物等亦是可能造成的因素。
植體周圍疾病,因影響破壞的程度不同,治療的方式亦有所不同。一般可分為非手術性治療及手術性治療。 一、非手術性治療一般有下列幾種方式:1.機械式清創;2.殺菌治療;3.抗生素治療;4.雷射治療。對於侷限在軟組織之植體周圍黏膜炎,非手術性治療幾乎都可解 決。而破壞到周遭骨頭的植體周圍炎,仍會先以非手術性方法來治療。當非手術性治療無法達到目標時,則會進行手術性治療。 二、手術性治療,包括了清創,植體表面去感染,必要時利用骨移植物及再生膜,進行引導骨再生手術(Guided Bone regeneration)重建植體周圍硬組織。

5年前,植牙剛完成

5年前,植牙剛完成,術後X光,骨癒合良好

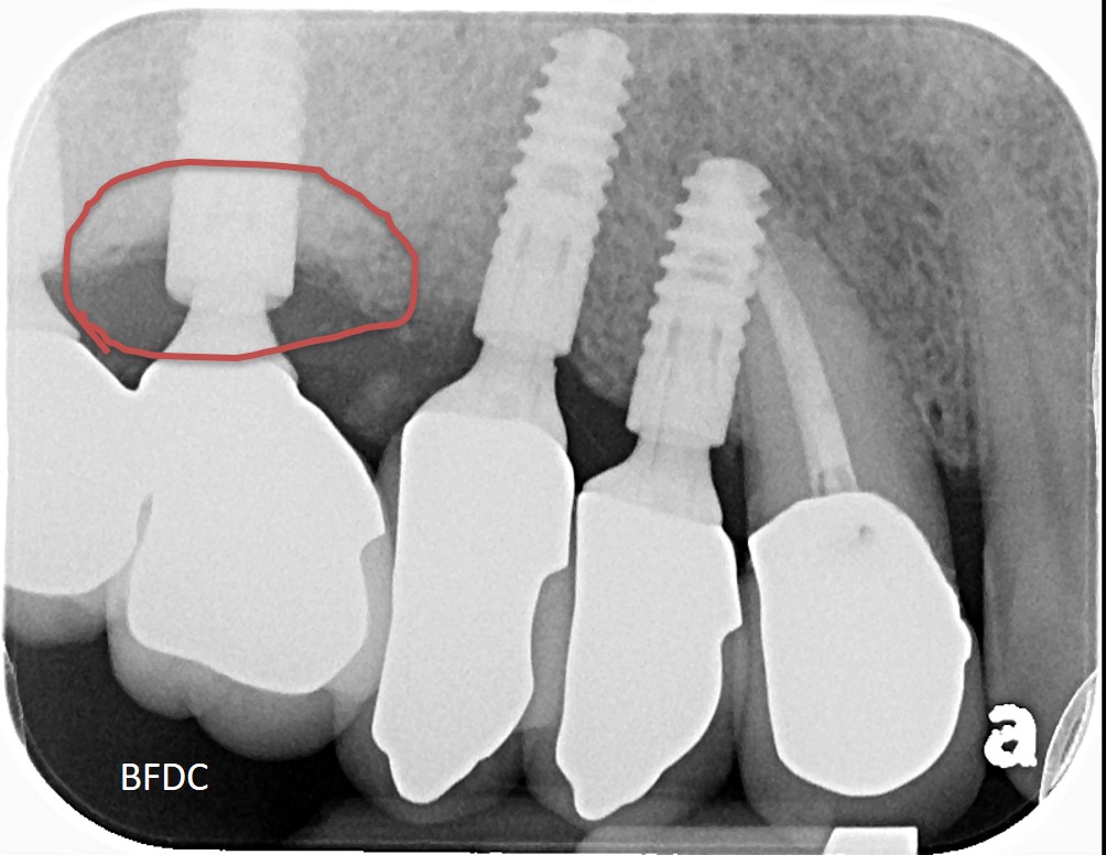
5年後追蹤,植體周圍骨破壞

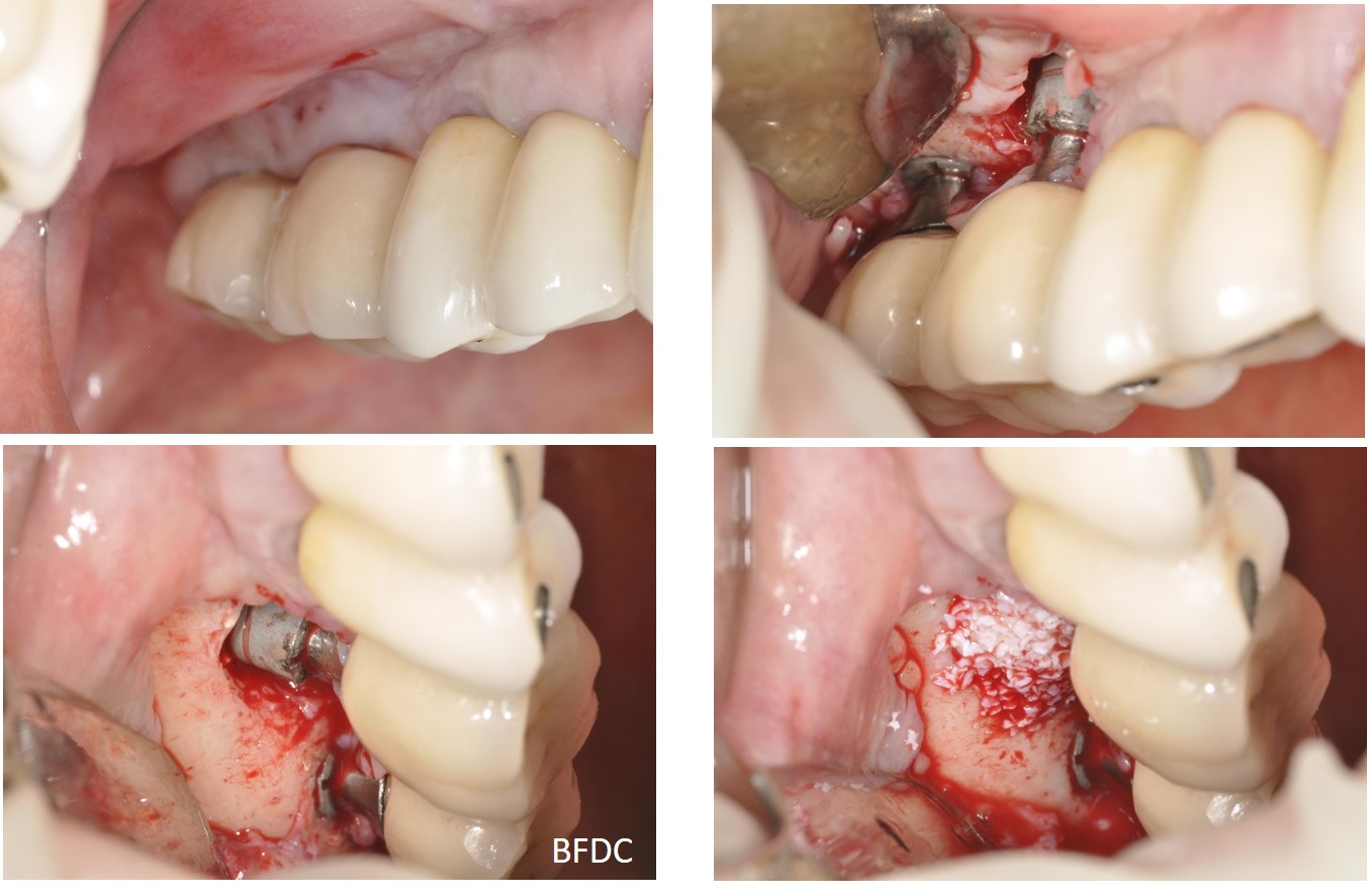
植體清創、並施予骨粉

骨癒合後,植體印模,上咬合器

螺絲固定式臨時假牙

錐狀植體支柱

螺絲固定式假牙

金屬燒付螺絲固定式瓷牙

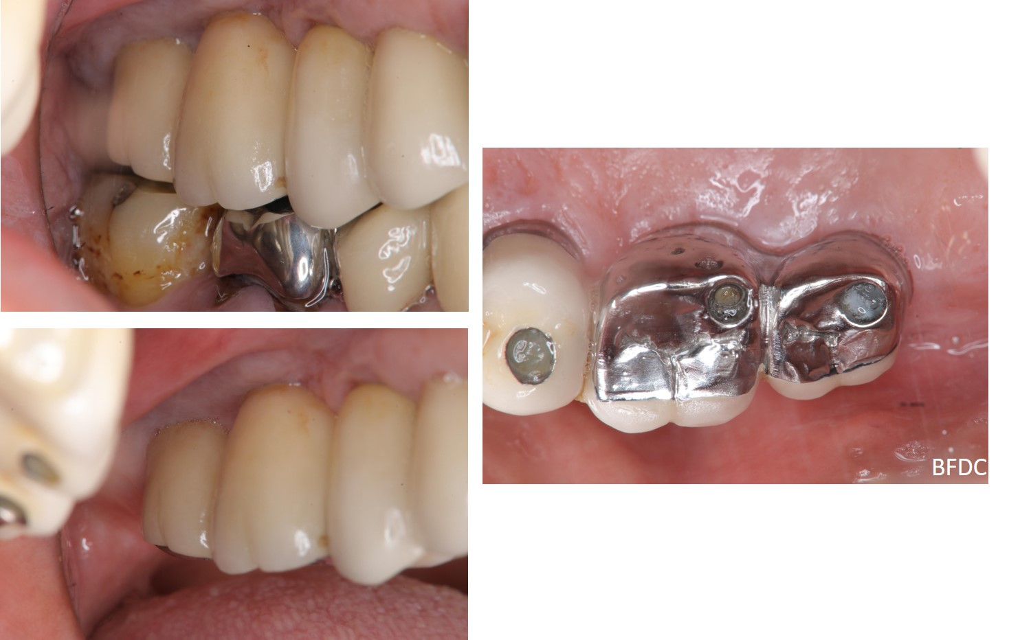
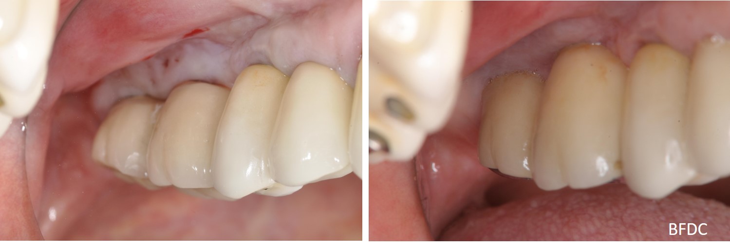
治療後口內照

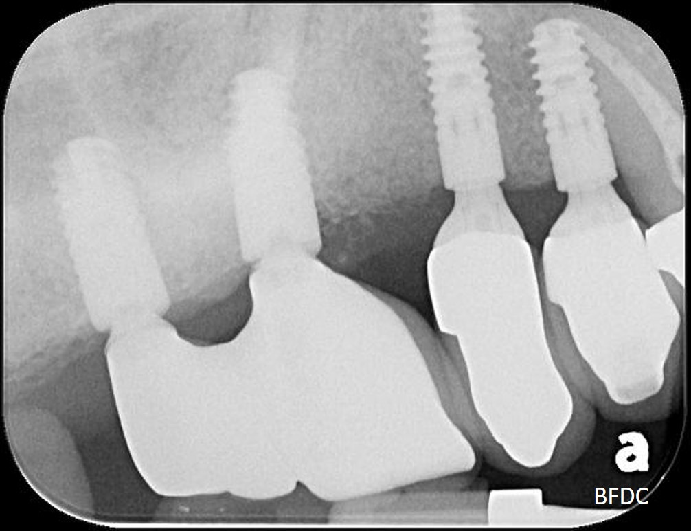
治療後,植體周圍骨癒合

術前、術後比較
植體周圍疾病的治療,首要之務除了消除組織發炎外,最重要在於診斷。找出源頭,對症處理,方可真正解決。 然而“預防勝於治療”,治療前良好的治療計劃與溝通,以及治療完成後,平常定黃國精主任提醒:人工植牙完成後,需定期回診檢查與保養,不可忽視,嚴重需移除植體。 期回診是絕對必要的。治療前良好的治療計劃與溝通,治療完成後定期回診檢查與保養,方是上策。

![]()