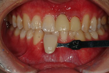
全瓷冠-門齒區根尖囊腫
患者
|
|
|
|
圖一 |
圖二 |
因此本病例的治療為:
一、顯微根管治療:利用顯微鏡移除金屬釘柱及根管治療
二、顯微根尖手術:利用顯微鏡、骨粉再生膜等移除根尖囊腫。
三、瓷牙重建:待4-6個月後,骨質癒合後,再以全瓷冠重建。
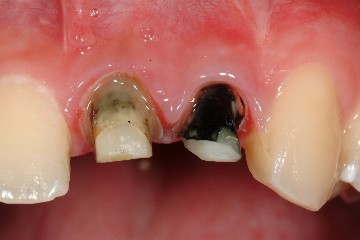
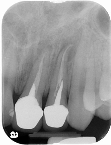
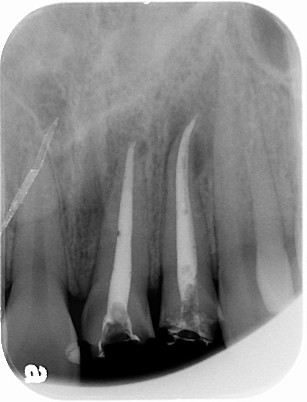
利用顯微鏡將金屬釘柱移除,再以鎳鈦超彈性器械修形根管(圖三),待患者的症狀都恢復正常後再利用熱塑型馬來膠將根管緻密封填(圖四),圖五為根管治療後的情況,與圖二相比,可見正門齒及側門齒已徹底封填。
|
|
|
|
圖三 |
圖四 |
|
|
|
|
圖五 |
|
患者一週後回診,已無疼痛等症狀,建議患者以顯微手術清除根尖囊腫,患者的牙尖底部有囊腫(圖六),經翻瓣(圖七)後將根尖囊腫移除(圖八),將牙根尖切除
|
|
|
|
圖六 |
圖七 |
|
|
|
|
圖八 |
圖九 |
|
|
|
|
圖十 |
圖十一 |
|
|
|
|
圖十二 |
圖十三 |
圖十四為手術後的X光片,可見根尖逆充填及根尖囊腫,都已完全處理,經過6個月後,牙根的破壞已完全癒合(圖十五),可繼續進行瓷牙重建。
|
|
|
|
圖十四 |
圖十五 |
由於是前牙,本院採用Cynovad數位比色機比色(圖十六,並以高階數位單眼相機記錄牙齒的表面紋路及局部色澤(染色、斑點等)(圖十七),因此技師即使未親臨現埸,仍可得到最精準的比色資料。
|
|
|
|
圖十六 |
圖十七 |
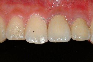
圖十八、十九為技師所完成的全瓷冠成品,氧化鋁全瓷冠有輕微透光性,可將牙齒的金屬釘柱遮光,但色澤與自然牙齒相仿,是牙科2000年後的最新科技發展。圖二十為裝牙齒前的情況,經試戴、調整、及黏著後,過了一週,病患回診所的結果(圖二十一、圖二十二),經過全瓷冠的修復,患者得到滿意的結果,可以再度露出自信且迷人的笑容了。
|
|
|
|
圖十八 |
圖十九 |
|
|
|
|
圖二十 |
圖二十一 |
|
|
|
|
圖二十二 |
|
術前、術後比較
|
|
|
|
術前 |
術後 |





