局部拔牙術之立即植牙-牙齒斷裂-#22
拔牙後伴隨而來的牙周萎縮是植牙領域的一大挑戰,主要發生在唇側及頰側造成美觀上的問題,對於薄牙齦的病人這無異是雪上加霜,一直以來許多專家、學者試圖對此找出解決方案,然而至今為止並沒有任何研究報告指出有任何方法能夠完全避免拔牙窩吸收。2010 Hürzeler以及 Zuhr發表的論文提出一個新術式,在拔牙過程中保留牙根頰側的牙周韌帶,無損頰側骨板血流供應的狀況下達到術後組織吸收最小化。

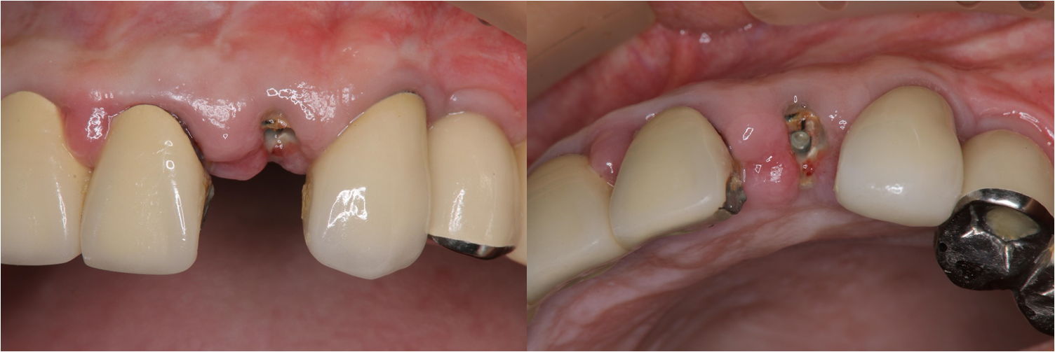
治療前,左上側門齒牙齒斷裂

側門齒之前有做根尖切除,支撐性不足

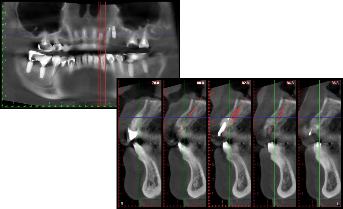
手術前電腦斷層評估

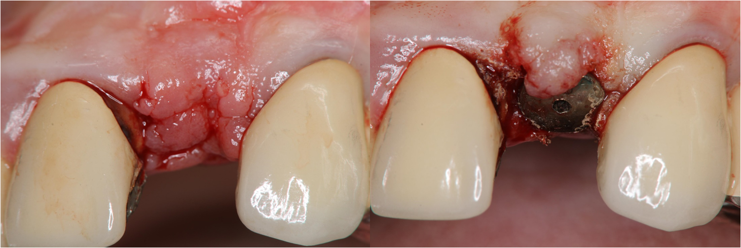
局部拔牙與立即植牙

植牙後,電腦斷層檢測

1個月後追蹤,傷口良好

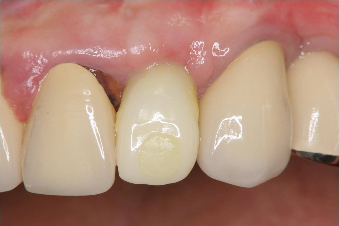
植體穩定後,癒合帽植入

印模上咬合器

模型製作

臨時假牙塑形

塑形後再印模

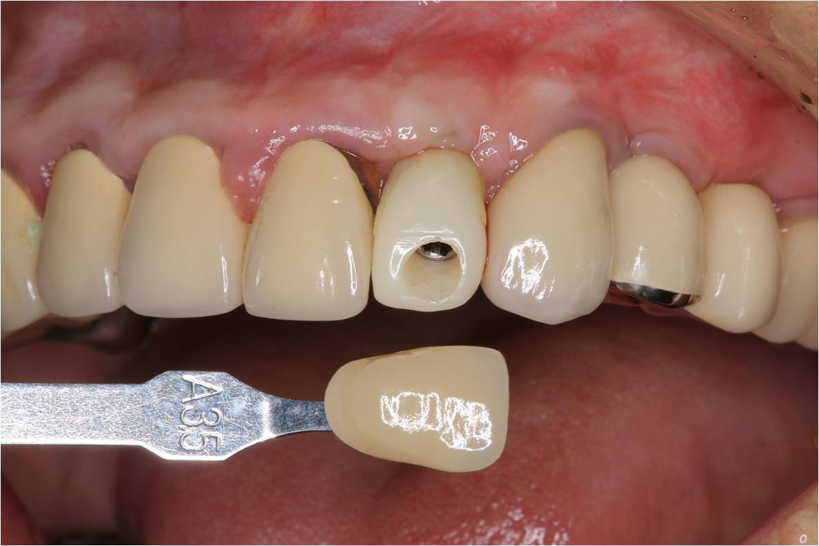
照相比色

氧化鋯釘柱與金屬燒付瓷牙

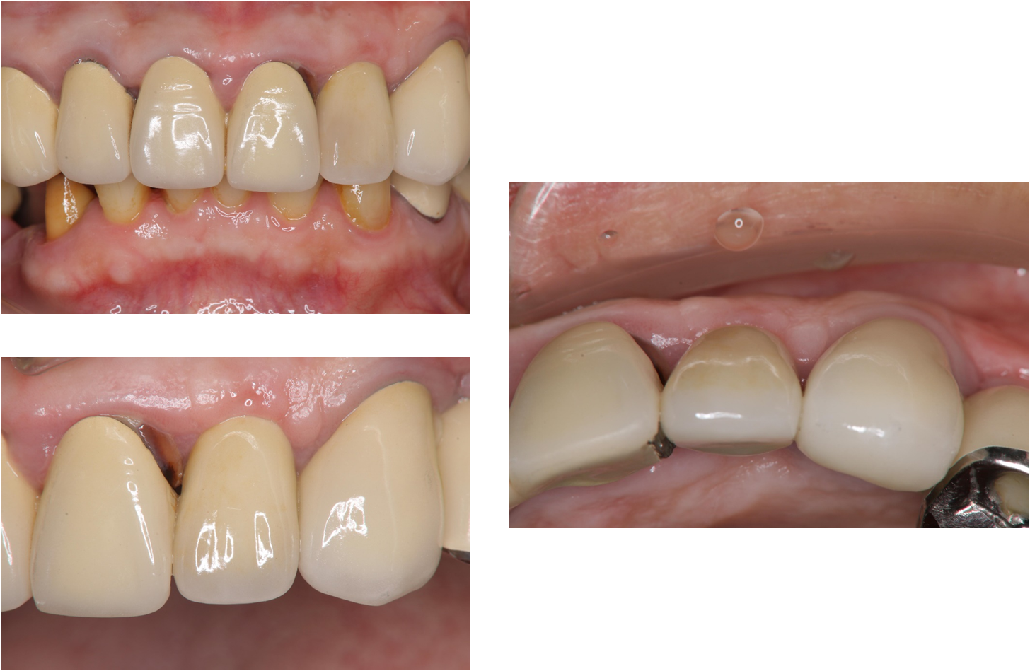
治療後口內照

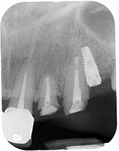
治療後X光

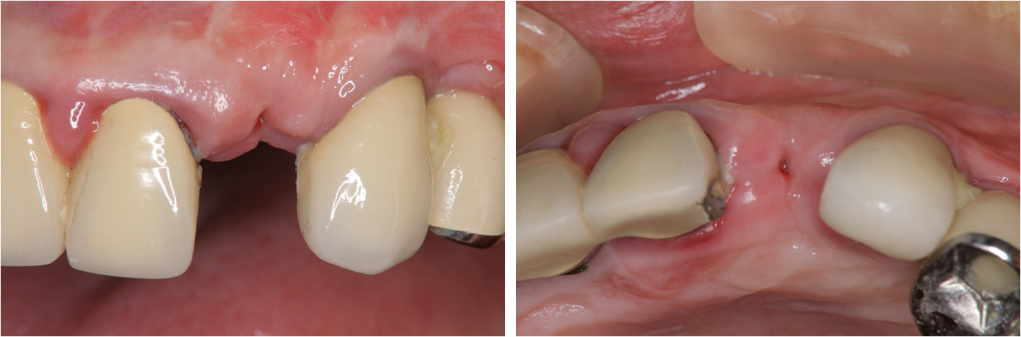
術前、術後比較
治療過程中如果能夠注意到所有細節,即拔即種併用局部拔牙術應用在前牙美觀區是一個成功率很高的術式。
