後牙單顆植牙-下顎小臼齒
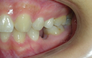
患者許小姐,左下第二小臼齒,因為深度蛀牙,因而牙齒被拔除(圖一、圖二、圖三),患者由於是一位高二學生,深怕缺牙久了若不處理,鄰牙可能倒過來(圖四),但若以傳統假牙修復,還需再磨完整的自然牙(圖五),經轉診至本診所尋求人工植牙。
|
|
|
|
圖一 |
圖二 |
|
|
|
|
圖三 |
圖四 |
|
|
|
|
圖五 |
|
因此本次治療的計畫為
一、人工植牙
二、早期假牙放置(若置入人工植牙後,有足夠的穩定度(扭力大於35N),可提早以臨時假牙讓患者使用)
圖六為使用德國Revois植體系統,由於植入的角度相當理想,直接將植牙的支柱放入,一週拆線後放入臨時假牙,讓人工植牙持續穩定的受力,不斷的進行骨整合。
|
|
|
圖六 |
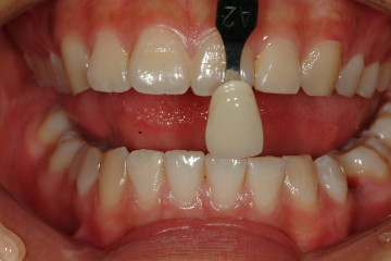
經過3個月後,由於骨整合完全,準備製作假牙,雖然是後牙區,但假牙的顏色仍相當重要,因此使用數位比色(圖七)及數位攝影(圖八),取得牙齒之精確顏色分佈。
|
|
|
|
圖七 |
圖八 |
圖八、圖九為技師完成的87%黃金燒付瓷牙,以黃金為底的瓷牙,色澤自然,假牙仍有些微彈性,與植體密合度高,軟組織相容度高,為最高級瓷牙。
|
|
|
|
圖九 |
圖十 |
經裝戴完成,患者複診後,植牙之美觀與功能皆符合患者之期待(圖九、圖十)
|
|
|
|
圖十一 |
圖十二 |
|
|
|
|
圖十三 |
|
術前、術後之比較
|
|
|
|
|
|
|
術前 |
術後 |



