陶瓷鑲嵌與陶瓷嵌體因為強度高、抗磨耗,完全不用擔心因長期使用產生耗損、或者因為強度不足,而導致斷裂,讓牙齒又再次蛀牙。陶瓷鑲嵌與陶瓷嵌體可以根據不同的牙齒顏色去選擇顏色製作,又抗染色不會因為時間日久產生變色。陶瓷鑲嵌與陶瓷嵌體是根據蛀牙的窩洞量身訂做,不管是顏色、精密度都是最佳的選擇,因此是非常美觀與持久的填補窩洞材料與技術。
而過程中,在其他牙之鄰接面,往往有其他隱藏的蛀牙,由於瓷塊製備時,鄰接面磨開,因此鄰牙之牙相對容易以複合樹脂復形。

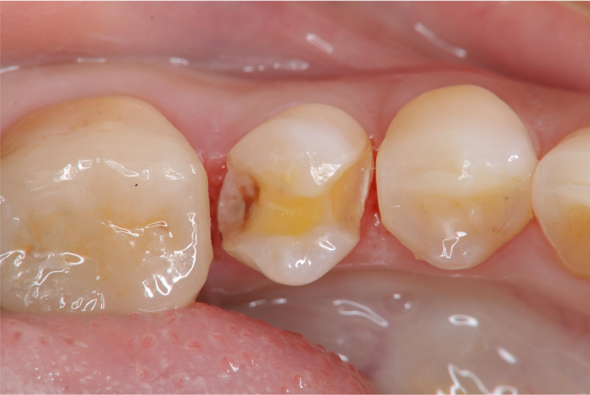
治療前,鄰接面蛀牙

蛀牙未侵犯至牙髓

鄰牙蛀牙以複合樹脂復形

瓷塊修形完成

照相比色

上面弓與咬合器

咬合器上製作瓷塊

陶瓷崁體

瓷塊黏著

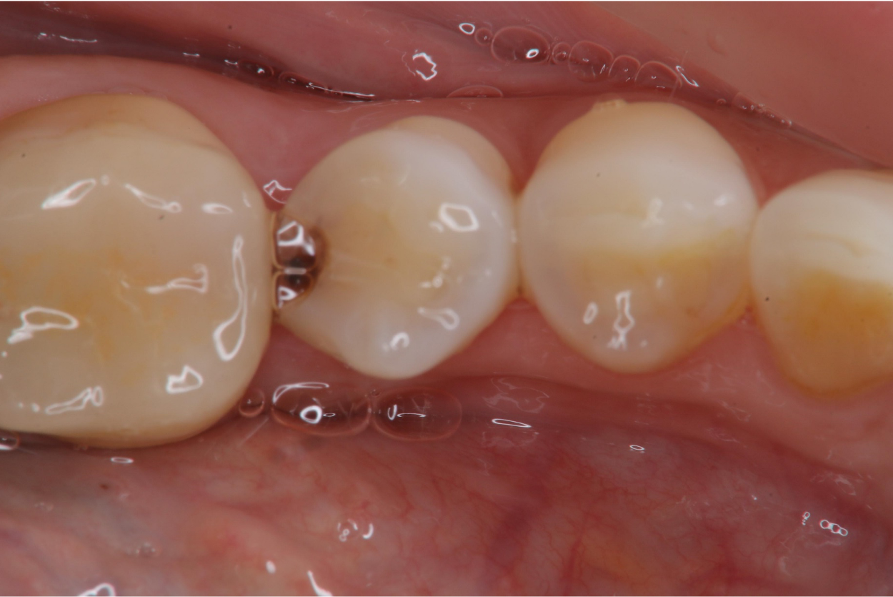
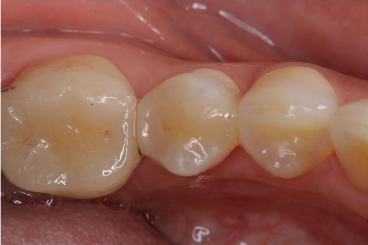
1週後口內照

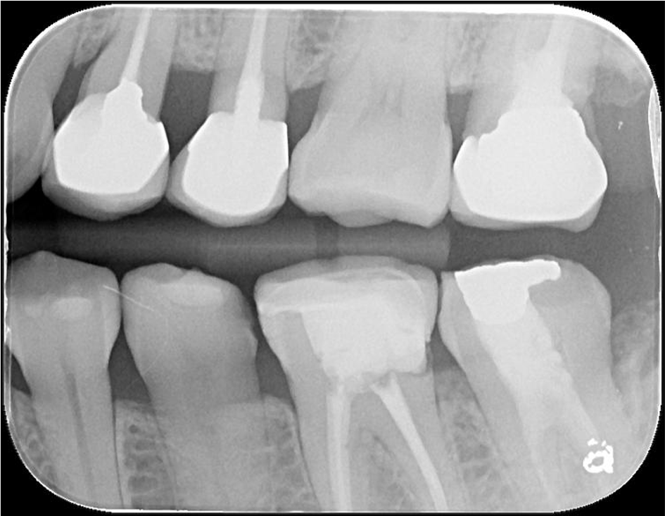
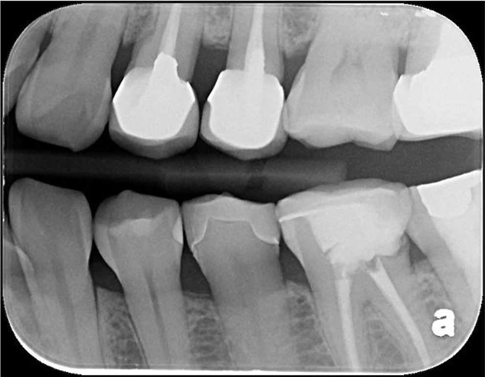
X光顯示密合度良好無殘膠

術前、術後比較
陶瓷崁體對於不大的蛀牙,相當有幫助,配合局部複合樹脂復形,更是保留牙齒的好方法。
