蓄意再植術是在局部麻醉下,將牙齒拔出,清除牙根尖周圍的病變組織,切除部分牙根,並對牙根進行逆向根管治療,再將牙齒植回齒槽之手術。病患在經過傳統根管治療後,仍有病灶,且患齒無法接受傳統根管再治療及口內根尖周圍手術,可考慮牙齒以蓄意再植術治療。手術的風險為可能發生牙齒斷裂或牙齒無法植回的情況。手術後,手術區或顏面可能有疼痛及腫脹現象,疼痛可用藥物控制,而腫脹情況可適時配合冰敷及熱敷緩解。牙齒蓄意再植術通常要等待四~六個月後再行使咬合功能,此外,亦須長期追蹤觀察是否出現牙根吸收之情形。
目前最佳的治療方法是就原有蛀牙範圍稍作修形後,取模製作「嵌體」或「冠蓋體」,而後將之黏合至牙齒缺損的部份,既不傷齒質,又可恢復牙齒原有的強度,美觀方面效果更佳。在材質方面目前有陶瓷及樹脂複合材等可供選擇,外表看來往往可以假亂真,有時連患者自己也分不出那顆牙作過治療。

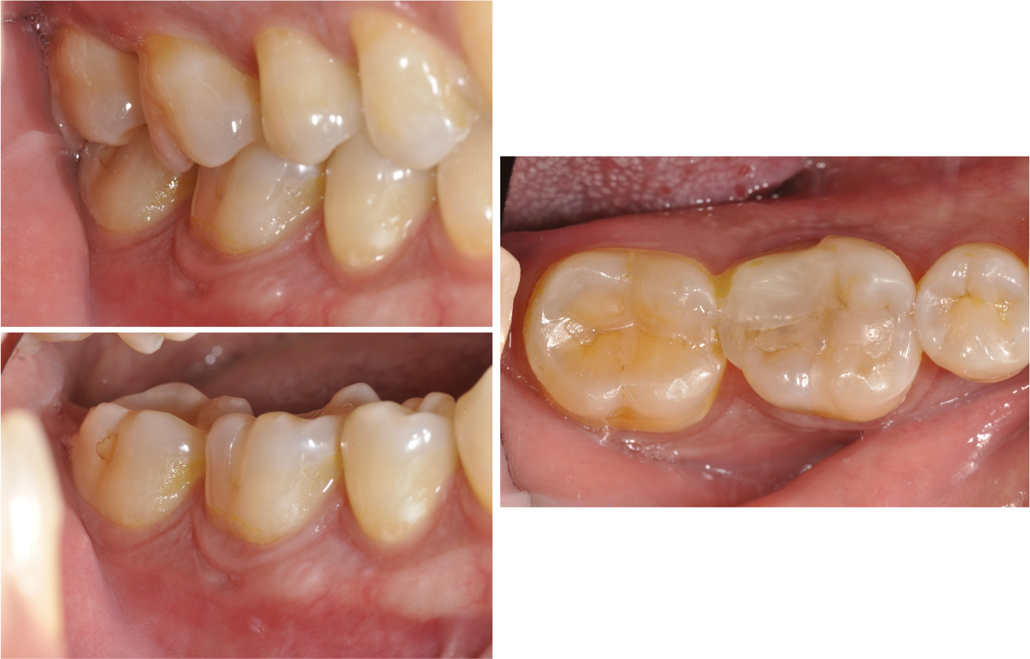
治療前,牙齒破損與蛀牙

治療前,蛀牙與根尖破壞

先進行非手術顯微根管治療

牙齒拔出,刮除根尖病變

6個月後,根大病變癒合

雷射切除牙齦,冠塊體製備

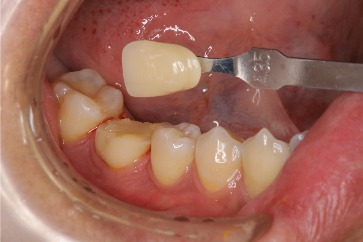
照相比色

上面弓與咬合器
咬合器上製作陶瓷冠塊體

陶瓷冠塊體

冠塊體黏著

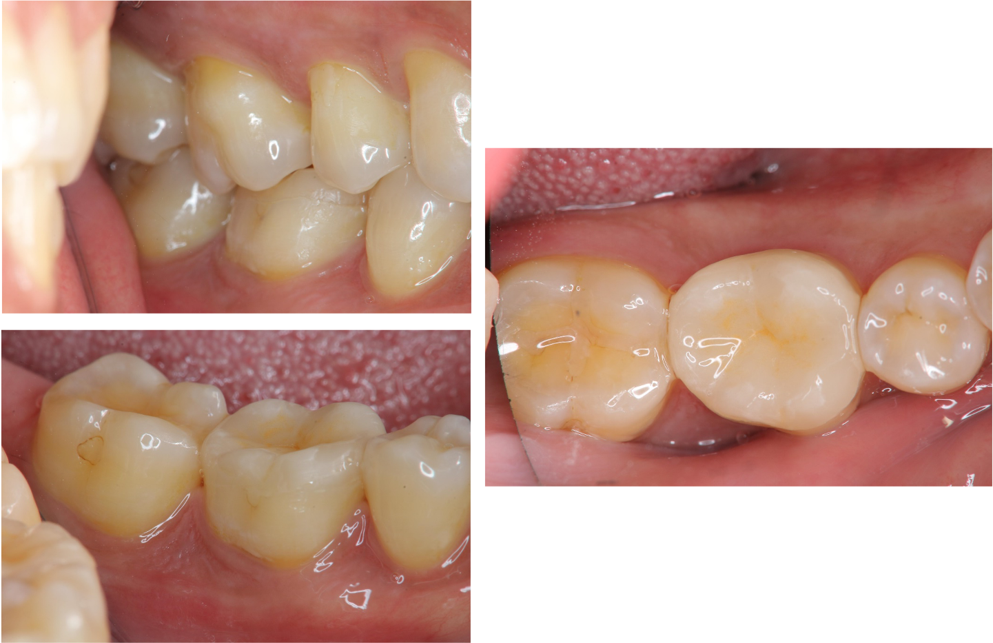
治療後口內照

根尖病變持續癒合

術前、術後比較
巨大的根尖病變,有時需要牙髓手術輔助,才能順利拯救牙齒,而現今陶瓷冠塊體修整牙齒較少,可有效保護牙齒結構。
