陶瓷鑲嵌與陶瓷嵌體因為強度高、抗磨耗,完全不用擔心因長期使用產生耗損、或者因為強度不足,而導致斷裂,讓牙齒又再次蛀牙。陶瓷鑲嵌與陶瓷嵌體可以根據不同的牙齒顏色去選擇顏色製作,又抗染色不會因為時間日久產生變色。
陶瓷鑲嵌與陶瓷嵌體是根據蛀牙的窩洞量身訂做,不管是顏色、精密度都是最佳的選擇,因此是非常美觀與持久的填補窩洞材料與技術。

治療前,二次蛀牙

蛀牙未到牙髓

崁體製備,雷射牙齦修整

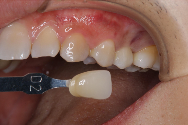
比色照相

上面弓,咬合器

陶瓷崁體製作

陶瓷崁體

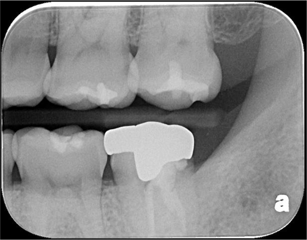
陶瓷崁體

陶瓷崁體邊緣完整

無殘膠存在

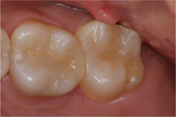
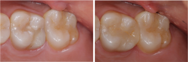
術前、術後比較
陶瓷嵌體是根據蛀牙的窩洞量身訂做,不管是顏色、精密度都是最佳的選擇,因此是非常美觀與持久的填補窩洞材料與技術
