目前市面上植牙假牙主要分為兩種固定方式,黏膠固定式與螺絲鎖緊式兩大派的設計,黏劑固定式假牙如同傳統的固定式假牙,但由於植體的直徑比較小,比較容有殘膠產生,而螺絲固定式假牙的製作比較精密。制作特在假牙頂部保留一微小快拆孔,日後若假牙需要取下維修或加瓷關閉牙縫減少塞食物,過程輕鬆可免受敲擊之苦。且卸下後可於口外清除溢出之界面殘膠,減少殘膠引起植體周圍發炎的可能,再以螺絲固位的方式輕鬆將假牙鎖回植體牙根上。
患者因不密合假牙,合併牙周破壞,無法保留牙齒,因費用考量,採植牙牙橋與金屬燒付瓷牙
因此本病例採用術式:
1)電腦定位手術模板
2)植牙合併補骨
2)補皮手術
3)螺絲固位式單牙冠

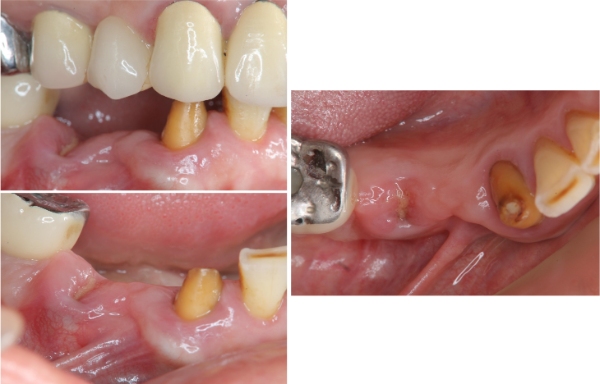
治療前,右下顎殘根

治療前,口內殘根與缺牙

植牙用手術定位器

植牙用手術導板

電腦斷層評估植牙位:#44

電腦斷層評估植牙位:#45

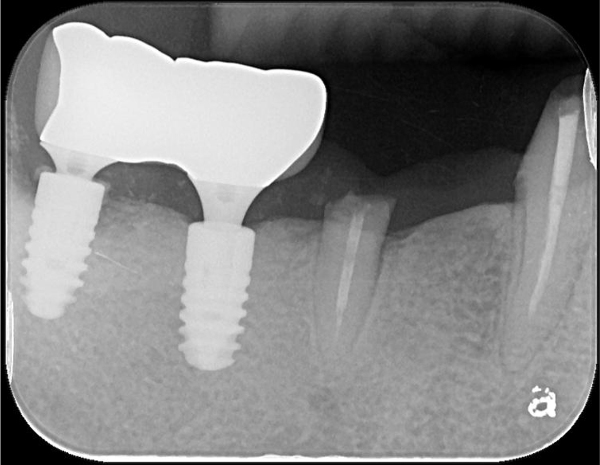
植體植入與補骨

術後X光

顯微根管治療:#43

植牙穩定後修補角化牙齦

上面弓與咬合器

咬合器上製作假牙

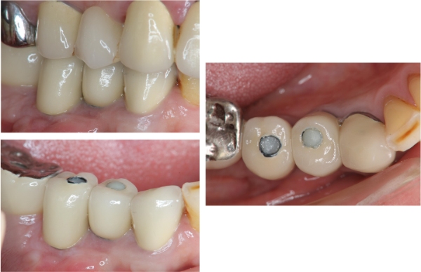
治療後口內照

治療後X光,穩合度良好

術前、術後比較
透過植牙術前評估,訂定植牙套裝計畫,有條不紊的執行,才能讓患者恢復理想的美觀,而植牙也必須後續好維護,才能長長久久使用。
