陶瓷嵌體與陶瓷冠塊體因為強度高、抗磨耗,完全不用擔心因長期使用產生耗損、或者因為強度不足,而導致斷裂,讓牙齒又再次蛀牙。陶瓷嵌體與陶瓷冠塊體可以根據不同的牙齒顏色去選擇顏色製作,又抗染色不會因為時間日久產生變色。

陶瓷嵌體與陶瓷冠塊體是根據蛀牙的窩洞量身訂做,不管是顏色、精密度都是最佳的選擇,因此是非常美觀與持久的填補窩洞材料與技術。

陶瓷嵌體與陶瓷冠冠塊體的臨床選擇得依照蛀牙的破壞程度、咬合力影響等,選擇最適合患者的復形選項。

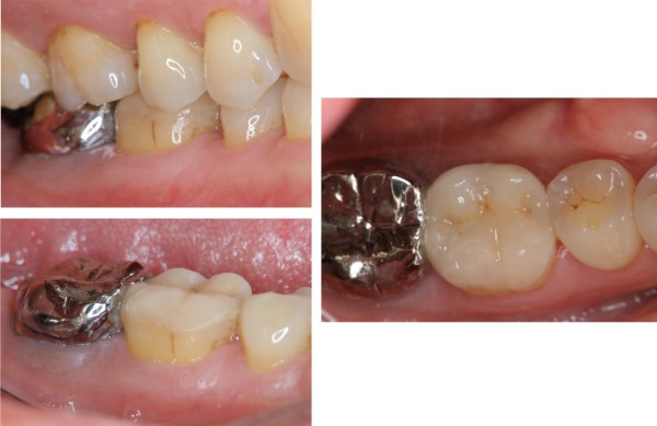
治療前,二次蛀牙,咬頭受損

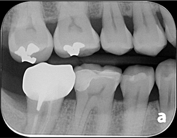
蛀牙未到牙髓

冠塊體體製備

照相比色

上面弓,咬合器

陶瓷冠塊體製作

陶瓷冠塊體

貼面邊緣完整

無殘膠存在

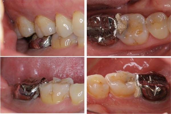
術前、術後比較

當蛀牙破壞程度大

陶瓷冠塊體是根據蛀牙的窩洞量身訂做,不管是顏色、精密度都是最佳的選擇,因此是非常美觀與持久的填補窩洞材料與技術