目前市面上植牙假牙主要分為兩種固定方式,黏膠固定式與螺絲鎖緊式兩大派的設計,黏劑固定式假牙如同傳統的固定式假牙,但由於植體的直徑比較小,比較容有殘膠產生,而螺絲固定式假牙的製作比較精密。制作特在假牙頂部保留一微小快拆孔,日後若假牙需要取下維修或加瓷關閉牙縫減少塞食物,過程輕鬆可免受敲擊之苦。且卸下後可於口外清除溢出之界面殘膠,減少殘膠引起植體周圍發炎的可能,再以螺絲固位的方式輕鬆將假牙鎖回植體牙根上。使用單顆植牙,不需修磨正常的牙齒,清潔更方便,且咬合更強。
因此本病例採用術式:
1)骨脊保存術
2)電腦定位手術模板
2)螺絲固位式牙冠

治療前,左下第二大臼齒牙周病

牙周破壞,牙齒動搖

拔牙補骨

6個月追蹤

骨癒合良好

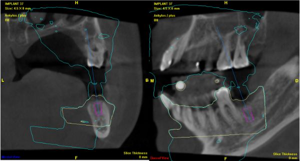
電腦定位手術模板

下顎最佳植牙位評估

植牙及補骨(PRF)

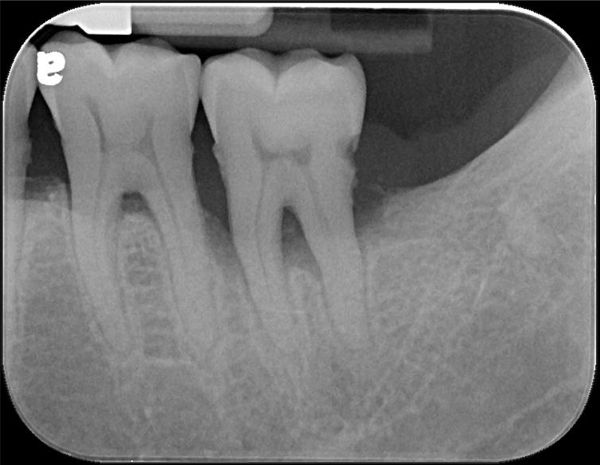
植牙後X光確認

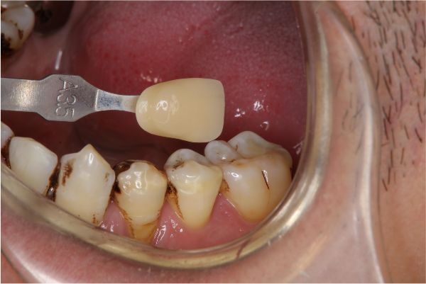
照相比色

上咬合器製作模型

咬合器製作假牙

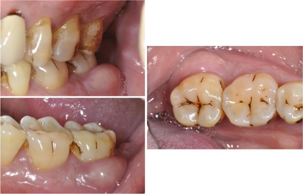
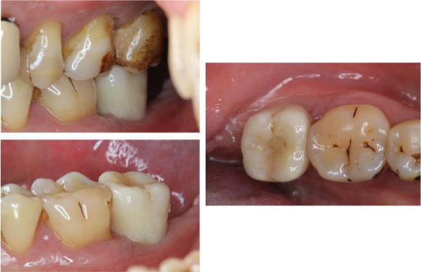
螺絲固位全鋯冠

固位後口內照
術後X光
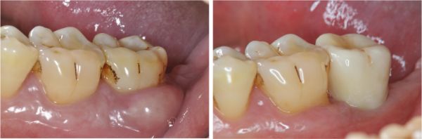
術前、術後比較
使用單顆植牙,不需修磨正常的牙齒,清潔更方便,且咬合更強。
