陶瓷嵌體與陶瓷冠塊體因為強度高、抗磨耗,完全不用擔心因長期使用產生耗損、或者因為強度不足,而導致斷裂,讓牙齒又再次蛀牙。陶瓷嵌體與陶瓷冠塊體可以根據不同的牙齒顏色去選擇顏色製作,又抗染色不會因為時間日久產生變色。陶瓷嵌體與陶瓷冠塊體是根據蛀牙的窩洞量身訂做,不管是顏色、精密度都是最佳的選擇,因此是非常美觀與持久的填補窩洞材料與技術。
陶瓷嵌體與陶瓷冠冠塊體的臨床選擇得依照蛀牙的破壞程度、咬合力影響等,選擇最適合患者的復形選項。陶瓷嵌體與陶瓷冠塊體因為強度高、抗磨耗,完全不用擔心因長期使用產生耗損、或者因為強度不足,而導致斷裂,讓牙齒又再次蛀牙。陶瓷嵌體與陶瓷冠塊體可以根據不同的牙齒顏色去選擇顏色製作,又抗染色不會因為時間日久產生變色。陶瓷嵌體與陶瓷冠塊體是根據蛀牙的窩洞量身訂做,不管是顏色、精密度都是最佳的選擇,因此是非常美觀與持久的填補窩洞材料與技術。陶瓷嵌體與陶瓷冠冠塊體的臨床選擇得依照蛀牙的破壞程度、咬合力影響等,選擇最適合患者的復形選項。

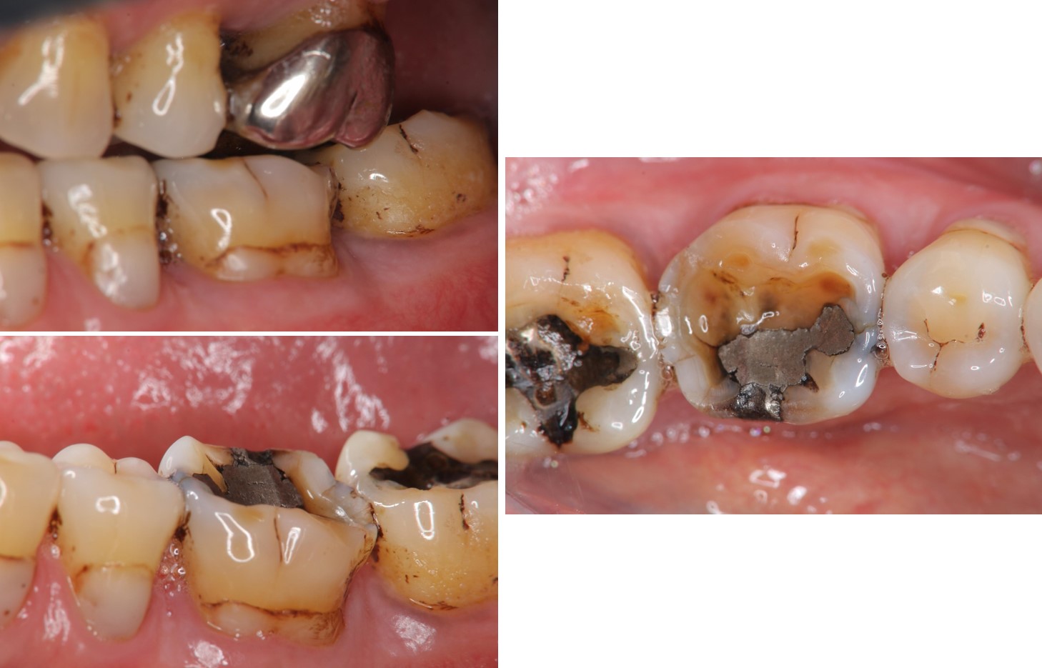
治療前,牙齒嚴重磨耗

治療前,牙髓仍未受侵犯

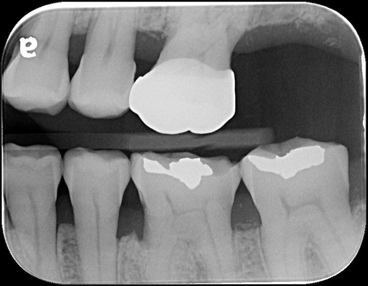
陶瓷冠塊體製備

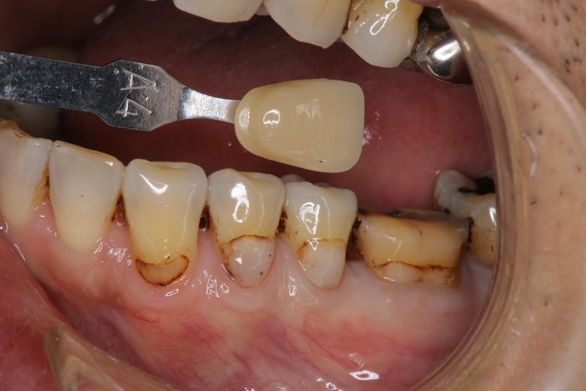
照相比色

上面弓與咬合器

咬合器上製作膺復體

陶瓷冠塊體

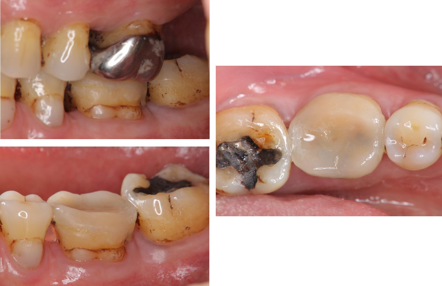
陶瓷冠塊體口內黏著

追蹤口內照
黏著後無殘膠
術前、術後比較
當磨耗破壞程度大,陶瓷冠塊體是根據蛀牙的窩洞量身訂做,不管是顏色、精密度都是最佳的選擇,因此是非常美觀與持久的填補窩洞材料與技術