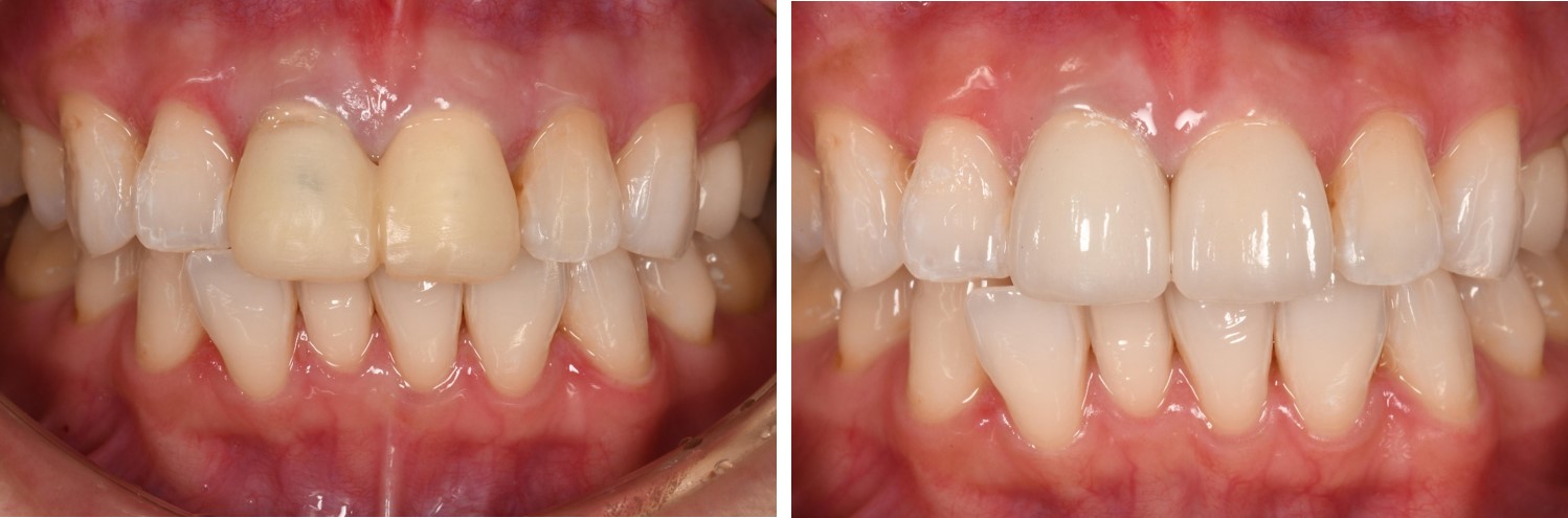
居家美白是利用居家美白藥劑的氧化還原反應,達到牙齒美白效果。快速的使天生黃牙、老化、輕度四環黴素染色等產生的牙齒變色美白,重新許您潔白的牙齒。
假牙材質分為全金屬假牙、陶瓷燒附金屬假牙(瓷牙)以及全瓷冠三類。全金屬假牙和瓷牙都含有金屬成份,使用的金屬材質分為賤金屬、半貴金屬和貴金屬;賤金屬較不穩定,使用久後會讓牙齦變色,也有金屬溶出的疑慮;半貴金屬和貴金屬相對穩定性高,比較不會出現牙齦染色的問題,不過假牙的費用較高。
民眾擔心全金屬假牙會影響美觀,可以選擇瓷牙與全瓷冠。瓷牙的內冠一樣是金屬材質,只是在外觀上燒附一層和真牙顏色相近的陶瓷。只是瓷牙的金屬內冠影響透光性,和真牙的色澤有落差,而且久而久之,當牙齦萎縮,使得瓷牙與牙齦接縫處露出金屬,影響美觀。
全瓷冠假牙則是完全不含金屬成分,氧化鋯材質堅硬,目前最被牙醫師所使用;全瓷冠可以依照民眾的齒色燒附一層陶瓷,讓牙齒透光更好,色澤更逼真。

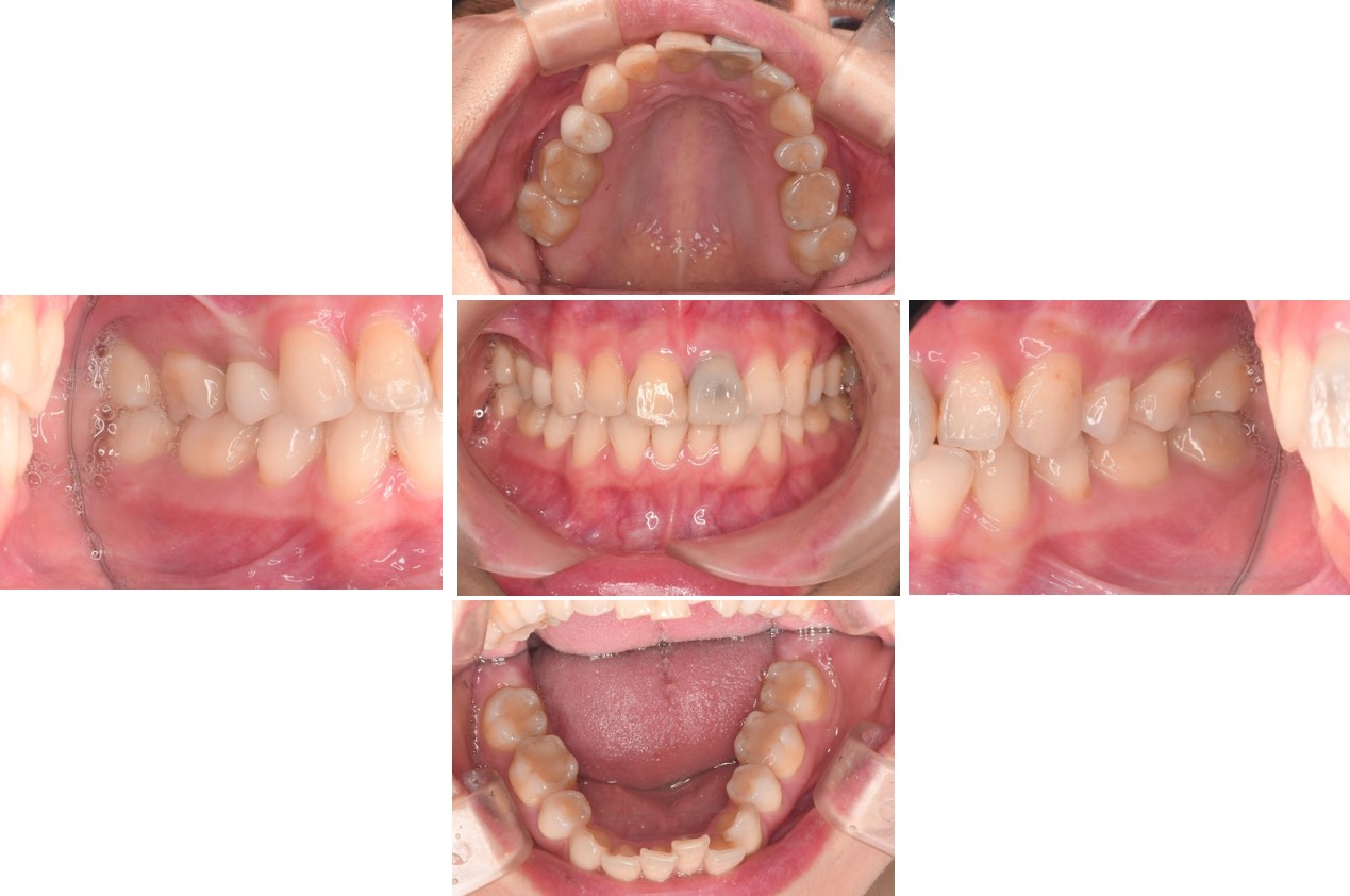
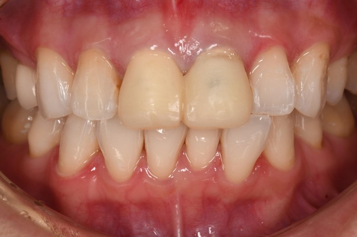
初診口內照,前牙美觀不良

下顎前牙過度萌出,咬合不正

治療前,顎關節顎骨大小正常

治療前,上顎門牙已根管治療,無症狀

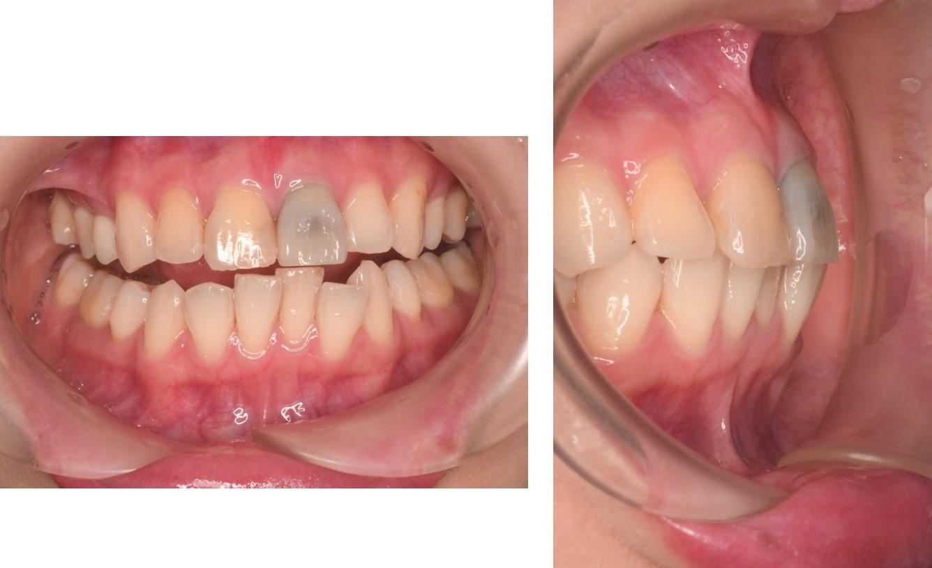
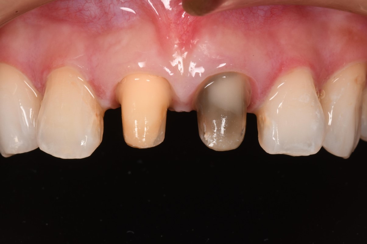
先更換上顎門牙臨時假牙

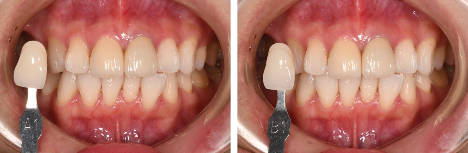
居家美白4週後,前進5色階

膺復前評估

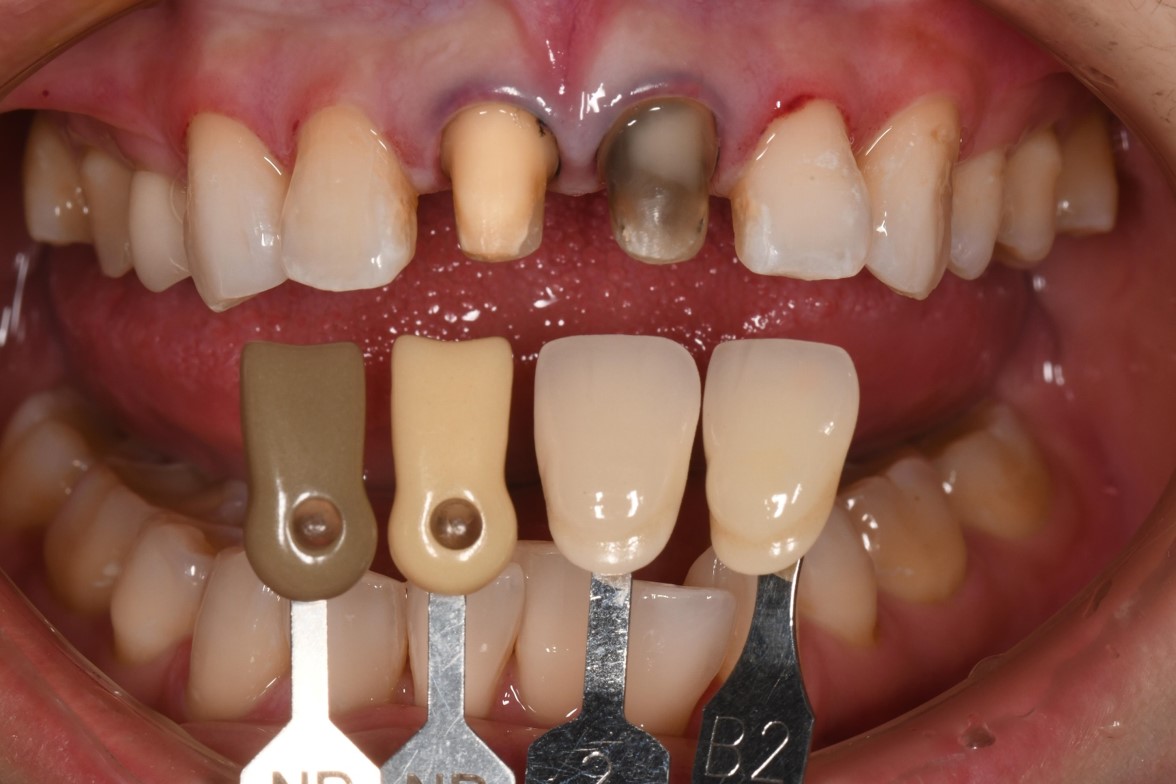
支柱牙與鄰牙照相比色

上面弓與咬合器

模型上製作全瓷冠

全瓷冠初胚

口內試戴調整

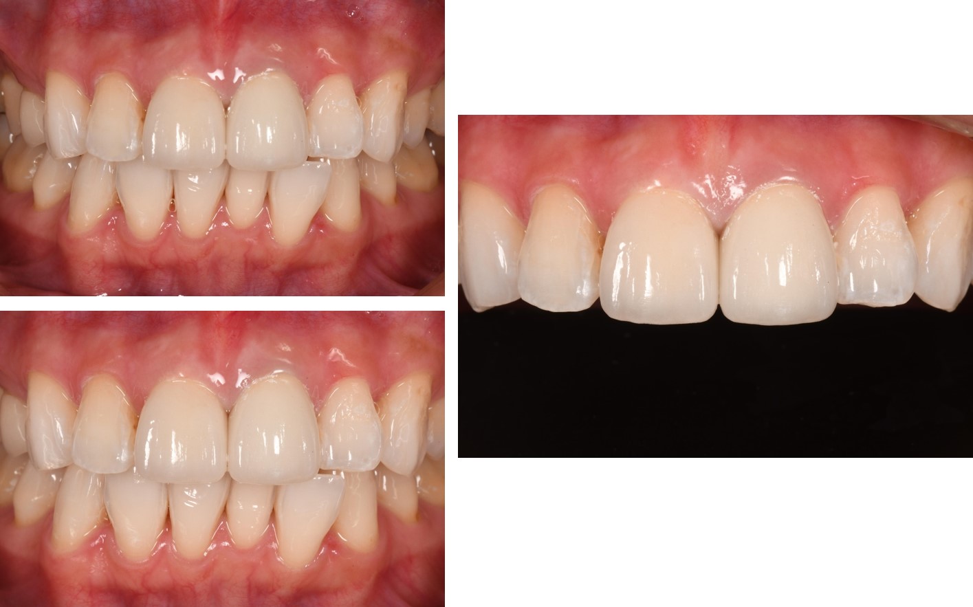
最終全瓷冠

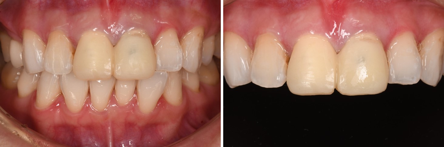
治療後口內照

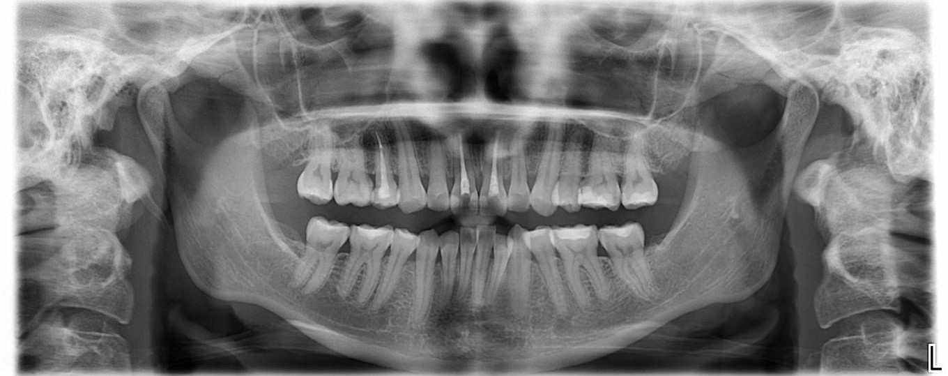
治療後根尖片,密合度良好



初診口內照,前牙美觀不良

下顎前牙過度萌出,咬合不正

治療前,顎關節顎骨大小正常

治療前,上顎門牙已根管治療,無症狀

先更換上顎門牙臨時假牙

居家美白4週後,前進5色階

膺復前評估

支柱牙與鄰牙照相比色

上面弓與咬合器

模型上製作全瓷冠

全瓷冠初胚

口內試戴調整

最終全瓷冠

治療後口內照

治療後根尖片,密合度良好

術前、術後比較
全瓷冠假牙則是完全不含金屬成分,氧化鋯材質堅硬,目前最被牙醫師所使用;全瓷冠可以依照民眾的齒色燒附一層陶瓷,讓牙齒透光更好,色澤更逼真。
