牙周病症狀照片大公開,用實際案例讓你了解牙周病治療的全過程!
後牙單顆植牙-牙周病-#33-#37
牙周病會自己好嗎?
牙周病會好嗎?要先看自身牙齒的狀況再輔以治療方能痊癒,至於網傳說:「牙周病會自己好嗎?」之前我去永信牙醫診所就有諮詢過醫生了,醫生說自己好的機率微乎其微,不如早日就醫、早日康復。牙周病是常見的口腔健康問題之一。 牙周病是由牙菌斑引起的,牙菌斑是一種細菌聚集形成的粘膜。如果不及時治療,牙周病可能導致牙齒鬆動甚至脫落。因此,定期檢查口腔健康並採取適當的治療措施對於保持健康的牙齒和牙齦至關重要。
▲(治療前,左下顎缺牙,咬合喪失)
▲(治療前,左下骨高度足夠)
▲用X光看反而缺牙缺的更嚴重,看來我家人平常的口腔護理習慣的真的很差
在永信牙醫診所,醫生為我家人制定了一套完整的治療方案,包括拔牙、植牙以及裝上假牙,但因為假牙沒有合適的貼合,導致牙齒周圍的破壞,無法保留原本的牙齒。為了考慮到經濟因素,我們選擇了植牙牙橋和金屬燒瓷牙來解決這個問題。雖然這些治療對我們來說是一筆不小的開支,但為了家人的健康,我們決定全力支持。
在治療過程中,我們了解到市面上植牙假牙有兩大主流設計:黏膠固定式和螺絲鎖緊式。考慮到植體的直徑和殘膠問題,我們選擇了螺絲固位式假牙,這種假牙設計不僅可以減少食物殘留,還可以避免殘膠黏附的問題,進而降低牙肉發炎的風險,保護植體邊緣組織的健康,下次有去就醫的朋友可以多加了解一下。
植牙手術過程中,醫生使用了電腦定位手術模板,確保植體的位置更加精準。
▼(下圖為蠟型復形,與電腦定位器,原來模型是這樣用的!)
▼(使用電子儀器做植體位分析:頰側骨缺損,第一次看到高科技檢查牙齒,這診所真夠先進!)
▼檢查及分析完成後,醫生就開始了植體植入與補骨手術
▼植體植入後還要用X光確認,讓患者可以放心植牙有到位。
術後,我們也嚴格遵循醫生的建議,定期回診檢查,保持口腔衛生,避免牙周病的再次發作。現在,我家人已經完成了植牙手術,假牙也成功安裝。雖然整個過程經歷了一些困難和痛苦,但看到家人能夠重新恢復自信地笑容,我們覺得一切都是值得的。我們將繼續關注牙周健康,並希望這個經驗能夠給同樣面臨牙周病問題的朋友一些參考和幫助,以下附上完整圖片及解說(圖片有點血腥慎入!)。
▼植牙1個月後追蹤
▼植體二階手術與補皮手術(果然照片比現場看的震撼,好在家人有打麻醉,換作是我可能光看就暈倒了吧!)
▼植體印模:
▼臨時假牙塑形,方便後續植牙用
▼第二次植體精密印模
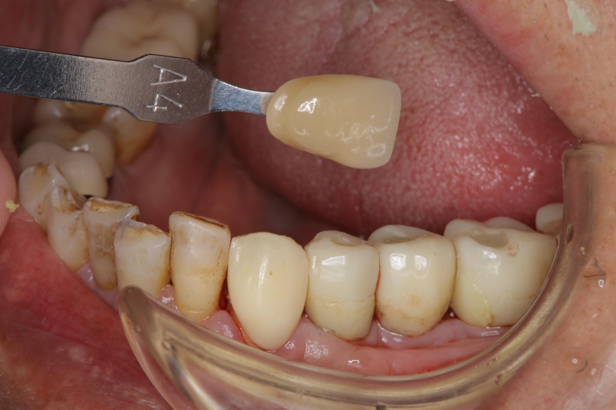
照相比色,這是我沒想到的,不然只有一顆牙齒顏色特別突兀,一看就知道會是假的,果然醫生還是很貼心的照顧到患者門面!
▼接著還會用咬合器製作全瓷冠
▼自然牙與植牙單顆全瓷冠(第一次看到植牙本人,超神奇!!!)
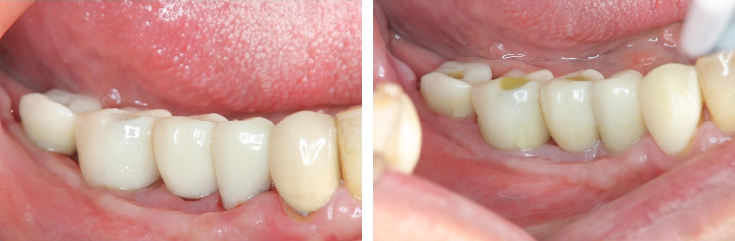
治療後,口內照(終於!我家人的牙齒回來了,雖然看不太習慣,但我家人說她終於找回當年有牙齒的感覺了~果然缺牙還是口腔有問題,找醫生就對了,一般人哪可能自己生出牙齒來!)
▼沒想到用X光看起來也挺牢靠的~~
醫師說明術前、術後比較。醫師:「透過電昶手術模板,植牙預定位,植體位較精準,日後若假牙需要取下維修或加瓷關閉牙縫減少塞食物,過程輕鬆可免受敲擊之苦。且卸下後可於口外清除溢出之界面殘膠,減少殘膠引起植體周圍發炎的可能,再以螺絲固位的方式輕鬆將假牙鎖回植體牙根上。」
整體治療時間含術後照護,大概需要將近3個月的時間去治療,但因為我家人的口腔狀況算還好了,我聽永信診所之前的案例,有些需要全口植牙的患者會需要花費近半年的時間才能痊癒,總而言之,建議還是先到診所後再去評估自己會花多久時間才能恢復。
患者術後心得分享
在過去,由於我長期有牙周病的問題,最終導致了牙齒的缺失。回想起來,我發現自己以前的一些不良口腔習慣可能是導致這個問題的原因之一。幸運的是,我選擇在永信牙醫診所接受治療。
在永信牙醫診所,醫生不僅幫我完成了整套治療,還耐心地告訴我應該如何保養口腔健康,以避免類似的問題再次發生。我真心感謝醫師的幫助,讓我在未來的生活中依然能夠嘗到食物的美味,而且笑容更加自信了。這次治療讓我深刻體會到了口腔健康的重要性,我會繼續保持良好的口腔衛生習慣,並定期到醫院檢查,以確保口腔健康。
牙周病不治療會怎樣|嚴重牙周病的後果
牙周病初期症況較輕微容易被忽視,但卻因此錯過最佳治療時機,導致需要植牙、裝假牙(診所治療過的案例多到不勝枚舉),讓自己下半生的生活滋味不痛快,需要注意的飲食限制也越來越多,現在可以想想牙周病不治療會怎樣?答案應該呼之欲出了吧! 經過我家人這次的治療後,真的讓我開始好好注重我的口腔狀況,現在的我三餐飯後一定會清潔牙縫殘渣,刷牙時也會將牙齒表面以及牙肉刷得仔細,避免有細菌堆積在牙齒周圍,也避免傷到牙齦,關於如何預防以及如何改善口腔況狀,非常推薦大家到永信牙醫的官網上查詢,也可以直接到診所就醫諮詢,醫生都會非常有耐心的一一為大家解惑及檢查牙齒的健康狀況,倘若真得有問題還能夠順便解決!
台中牙周病推薦醫師|廖玟萱 醫師介紹
【學經歷】
高雄醫學大學牙醫學系學士
高雄醫學大學附設醫院牙科部醫師
彰化基督教醫院牙科部醫師
【治療理念】
期望在診所醫師們的帶領下,透過本院先進的儀器設備,提供患者完善的治療。並持續進修精進各分科的醫療技術,以求快速有效的解決患者困擾,且達到長期穩定的成效。
治療前,左下顎缺牙,咬合喪失

治療前,左下骨高度足夠

蠟型復形,與電腦定位器

ImplantMax手術模板

植體位分析:#34,頰側骨缺損

植體位分析:#35

植體位分析:#36

植體位分析:#37

植體植入與補骨手術:#34-37

植體植入後X光確認:#34-37

植牙1個月後追蹤

植體二階手術與補皮手術:#34-37

植體印模:#34-37

臨時假牙塑形:#34-37

第二次植體精密印模

照相比色

咬合器製作全瓷冠

自然牙與植牙單顆全瓷冠:#33-37

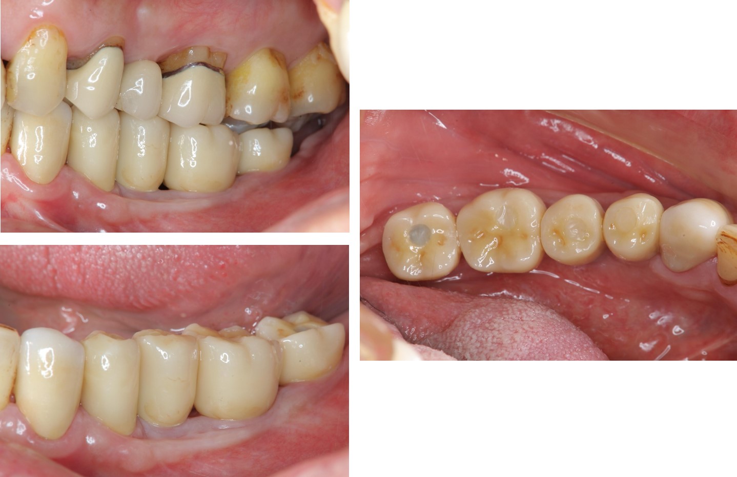
治療後,口內照

治療後X光:#33-37

術前、術後比較
透過電昶手術模板,植牙預定位,植體位較精準,日後若假牙需要取下維修或加瓷關閉牙縫減少塞食物,過程輕鬆可免受敲擊之苦。且卸下後可於口外清除溢出之界面殘膠,減少殘膠引起植體周圍發炎的可能,再以螺絲固位的方式輕鬆將假牙鎖回植體牙根上。
