後牙單顆植牙-二次蛀牙-#46
目前市面上植牙假牙主要分為兩種固定方式,黏膠固定式與螺絲鎖緊式兩大派的設計,黏劑固定式假牙如同傳統的固定式假牙,但由於植體的直徑比較小,比較容有殘膠產生,而螺絲固定式假牙的製作比較精密。制作特在假牙頂部保留一微小快拆孔,日後若假牙需要取下維修或加瓷關閉牙縫減少塞食物,過程輕鬆可免受敲擊之苦。且卸下後可於口外清除溢出之界面殘膠,減少殘膠引起植體周圍發炎的可能,再以螺絲固位的方式輕鬆將假牙鎖回植體牙根上。使用單顆植牙,不需修磨正常的牙齒,清潔更方便,且咬合更強。因此本病例採用術式:
1)骨脊保存術
2)電腦定位手術模板
2)螺絲固位式牙冠

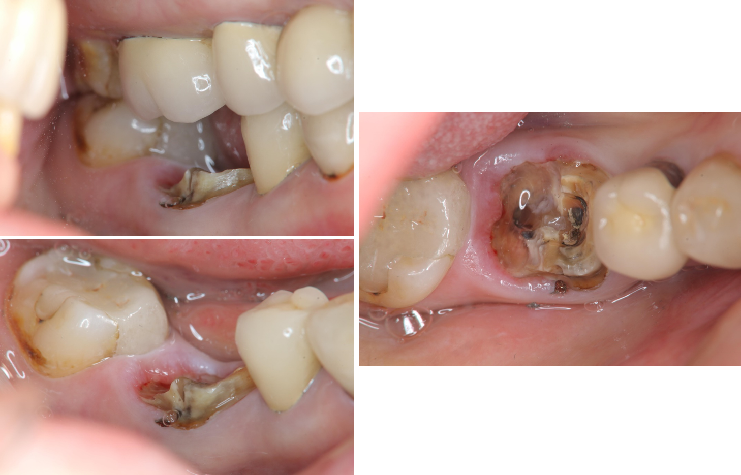
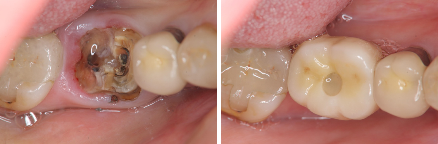
治療前,左下第一大臼齒嚴重蛀牙

治療前,蛀牙至牙根處

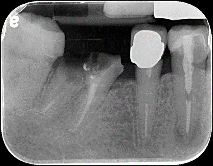
拔牙及補骨

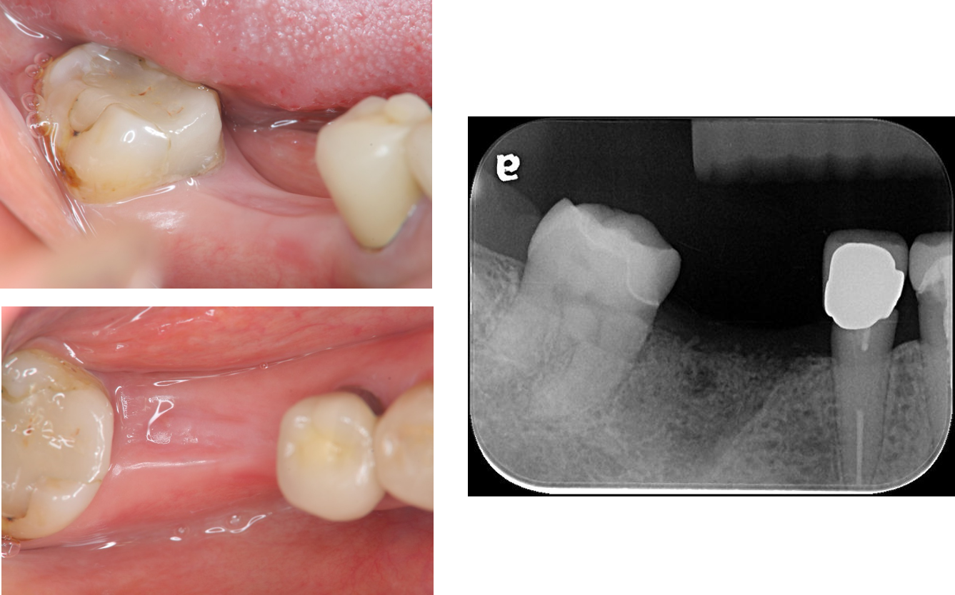
補骨5個月後追蹤

植牙模擬

植牙時同時補皮

植牙印模與上咬合器

植牙印模與上咬合器

螺絲固定式膺復物

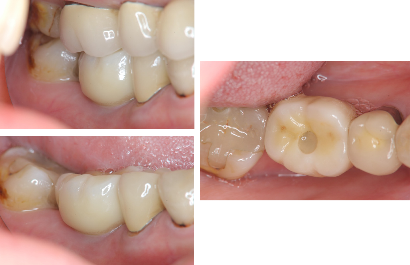
治療後,口內適應良好

治療後,植體周圍健康

術前、術後比較
使用單顆植牙,不需修磨正常的牙齒,清潔更方便,且咬合更強。
