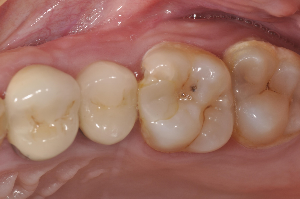
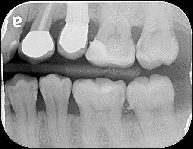
陶瓷冠蓋體-二次蛀牙-#26
陶瓷鑲嵌與陶瓷嵌體因為強度高、抗磨耗,完全不用擔心因長期使用產生耗損、或者因為強度不足,而導致斷裂,讓牙齒又再次蛀牙。陶瓷鑲嵌與陶瓷嵌體可以根據不同的牙齒顏色去選擇顏色製作,又抗染色不會因為時間日久產生變色。陶瓷鑲嵌與陶瓷嵌體是根據蛀牙的窩洞量身訂做,不管是顏色、精密度都是最佳的選擇,因此是非常美觀與持久的填補窩洞材料與技術。

治療前,嚴重二次蛀牙

二次蛀牙

將牙齦下蛀牙移除並預填補

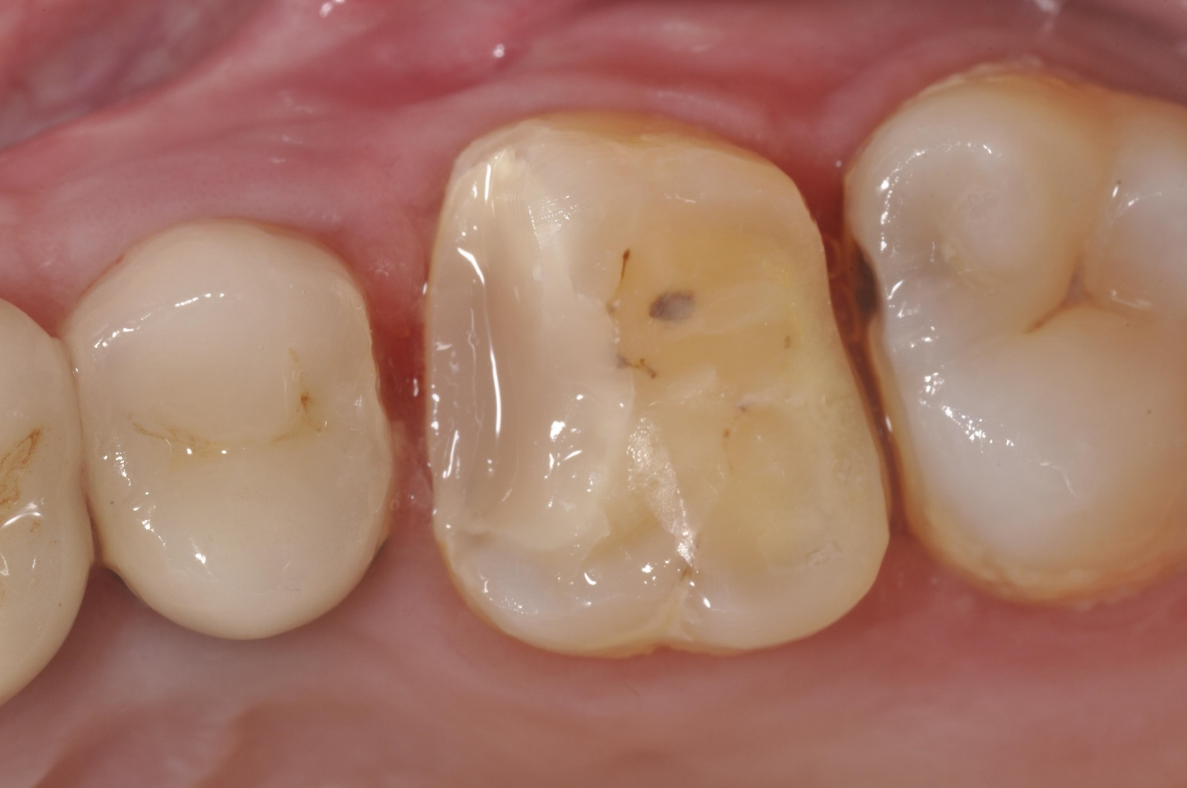
陶瓷冠塊體製備後

印模後,上咬合器

模型製作

陶瓷冠塊體

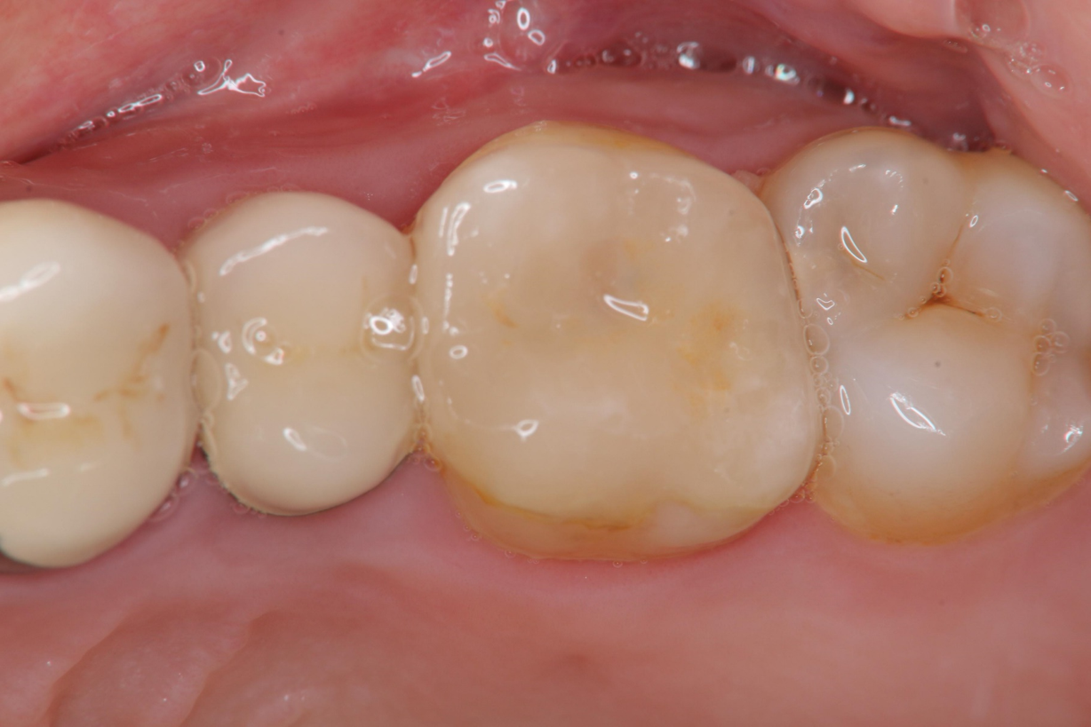
陶瓷冠塊體口內黏著

治療後口內照

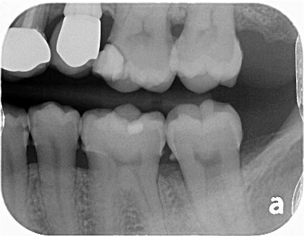
根尖照,邊緣完整

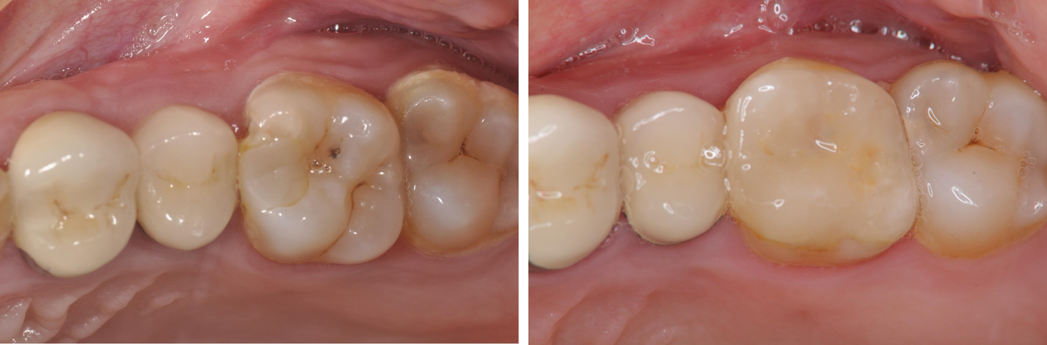
術前、術後比較
當蛀牙破壞程度大,陶瓷冠塊體是根據蛀牙的窩洞量身訂做,不管是顏色、精密度都是最佳的選擇,因此是非常美觀與持久的填補窩洞材料與技術
