游離牙齦移植術-角化牙齦不足-#4647
雖然人工植牙已經日漸普及,也有很高的長期存活率,和自然牙相比,金屬材質的植體也可以免除蛀牙的問題,但植牙並非完全無後顧之憂,如果照顧不當,或讓植體暴露於其他危險因子中,包覆在植體周圍的牙肉和骨頭等周圍組織還是會生病。
實務上常見的植牙併發症,稱作植體周圍疾病,它就像是植牙的牙周病一樣,初期發現,好好接受治療,多半能有效改善。但若一再拖延、忽略,讓情況變得嚴重時,則會對已形成的骨整合產生破壞,在某些極為嚴重的狀況中,甚至需要移除辛苦完成的植牙。根據研究,植體周圍炎的發生率約為10%(1),這項統計數字並不算低,且一旦發生植體周圍炎,就有可能危及到人工植牙的植體,因此如何預防並在發現時積極治療,便成了遠離植體周圍炎的一大重點。
植體周圍疾病可以依照其「對於周圍組織的破壞程度」分為2種:
•【破壞程度小的植體周圍黏膜炎】:植體周圍疾病初期通常為「植體周圍黏膜炎 」(peri-implant mucositis),在這個階段中,僅有植體周圍的組織發炎,病灶尚未破壞到骨頭,只要能早期發現並妥善地接受治療,按醫囑執行口腔清潔,仍然是可逆、可恢復的。
•【破壞程度嚴重的植體周圍炎】:若是放任植體周圍疾病,使其發展為「植體周圍炎」(peri-implantitis),則代表不只軟組織發炎,也開始有骨流失現象,此階段為不可逆性,通常需要透過手術才能治療。

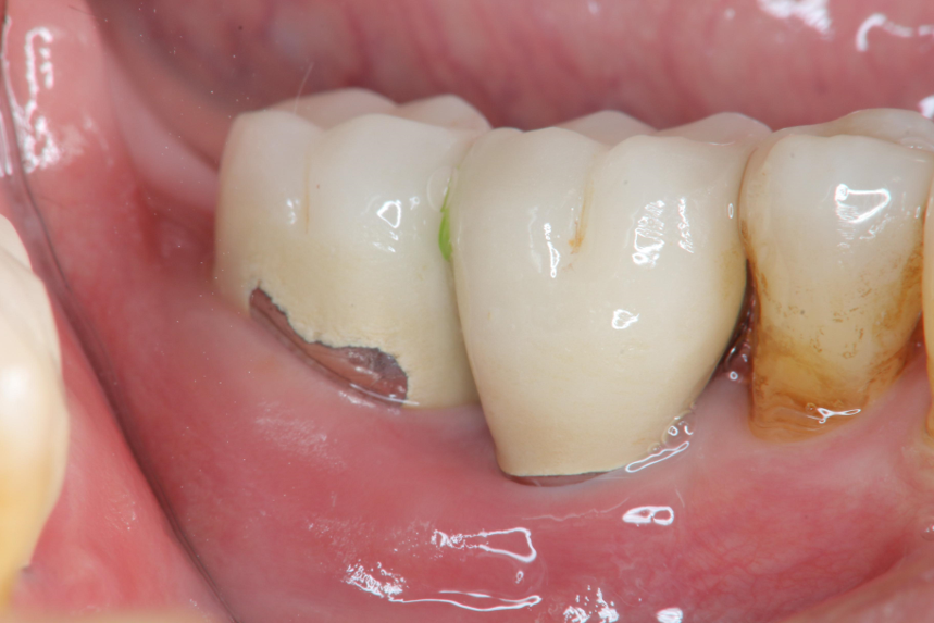
角化牙齦不足,牙齦常流血,腫脹

『角質化牙齦』是緊實附著在牙齒周圍的軟組織,其質地較韌,能防止食物殘渣滲入牙齦溝,可承受牙刷清潔牙齒時的摩擦力,提供牙齒容易清潔的乾淨環境。換言之,角化牙齦的存在,可比喻成有縮口的衣袖,較能防止異物掉入袖口中。
一般來說,沒有補綴物的自然牙周圍,有、無角化牙齦,對口腔清潔能力好的人並沒有太多差別,可是對人工植牙或有假牙的自然牙而言,缺乏角化牙齦通常較容易有牙齦發炎的現象。
角質化牙齦移植是牙周整形手術方式之一,是將上顎腭側或無牙脊上的牙齦取下後,再移植到角質化牙齦缺乏的位置,由於牙齦的再生能力強,傷口約術後1~2週即恢復穩定,牙齦捐贈區也會漸漸恢復原貌。

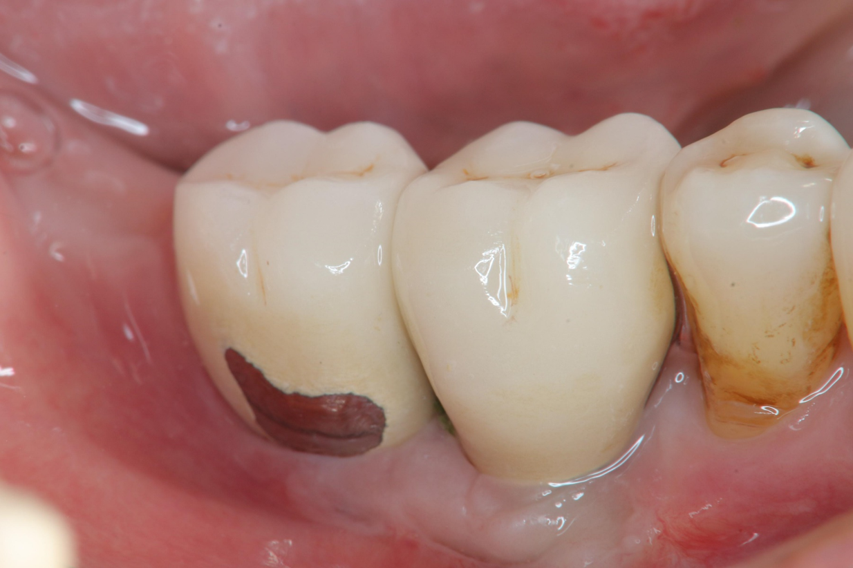
治療後,牙齦恢復緊實健康

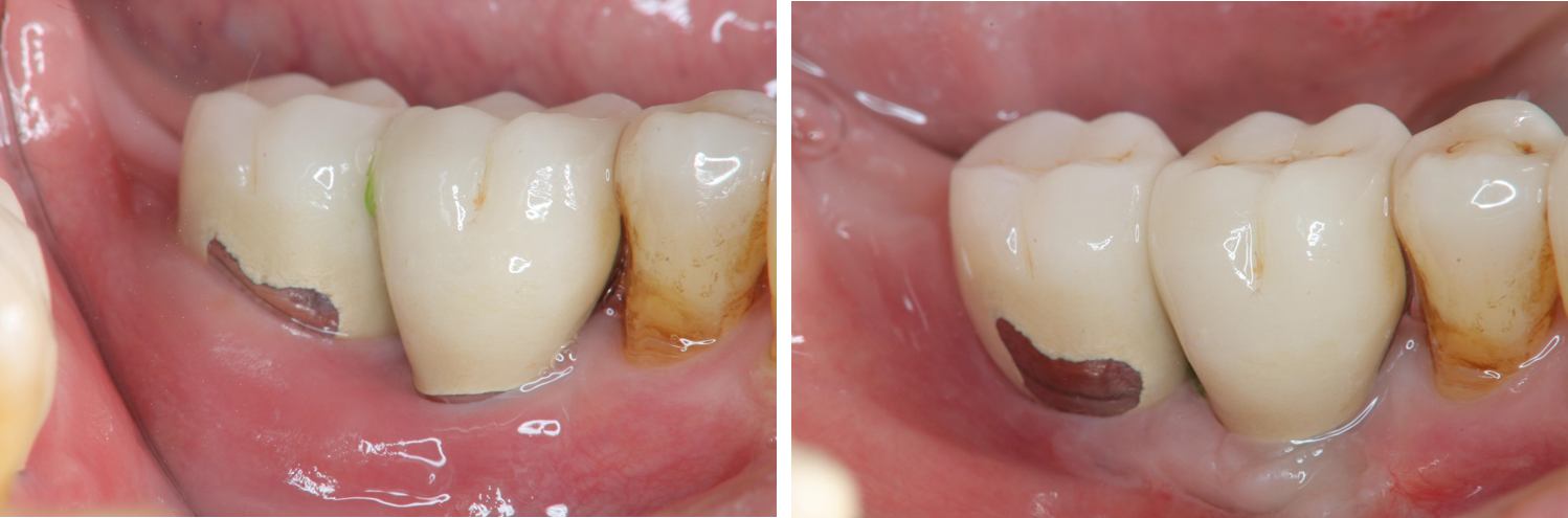
術前、術後比較
想要避免植體周圍炎對於人工植體造成威脅,事前的預防是勝於治療的,不但要在術前將口腔調整至適合植牙的狀態,術後的照顧與追蹤更是重要。
