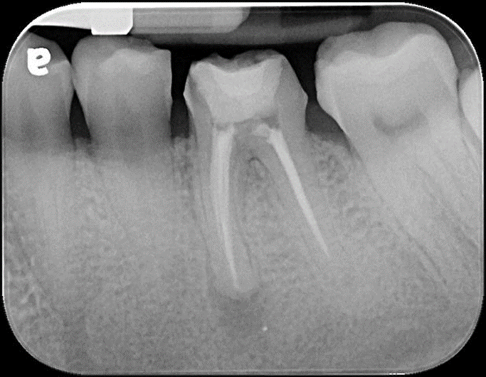
全鋯冠-根管治療後-#36
全瓷牙冠內層並無金屬成分,取而代之的是多晶體二氧化鋯強化瓷,因此光線的穿透性不受影響,透光性及自然色澤擬真程度均較金屬瓷牙美觀,且沒有金屬異味,不腐蝕、不因冷熱食物的交替而刺激牙髓神經,不會在牙齦周圍形成不自然的灰色痕跡。這些無金屬的特性和極佳的生物相容性,近年來逐漸成為製作牙冠時的第一選擇。
因為全瓷冠完全沒有金屬,所以可以讓較多的光線穿透,在視覺上會比一般全瓷冠有較好的透明感,比較不會有『死白』的感覺,因此會比一般瓷牙更像真牙,在齒頸部的牙齦也不會有金屬陰影存在,且沒有金屬異味、不腐蝕、不因冷熱食物的交替而刺激牙髓神經,目前全瓷冠是最美觀、自然、舒適的固定假牙。

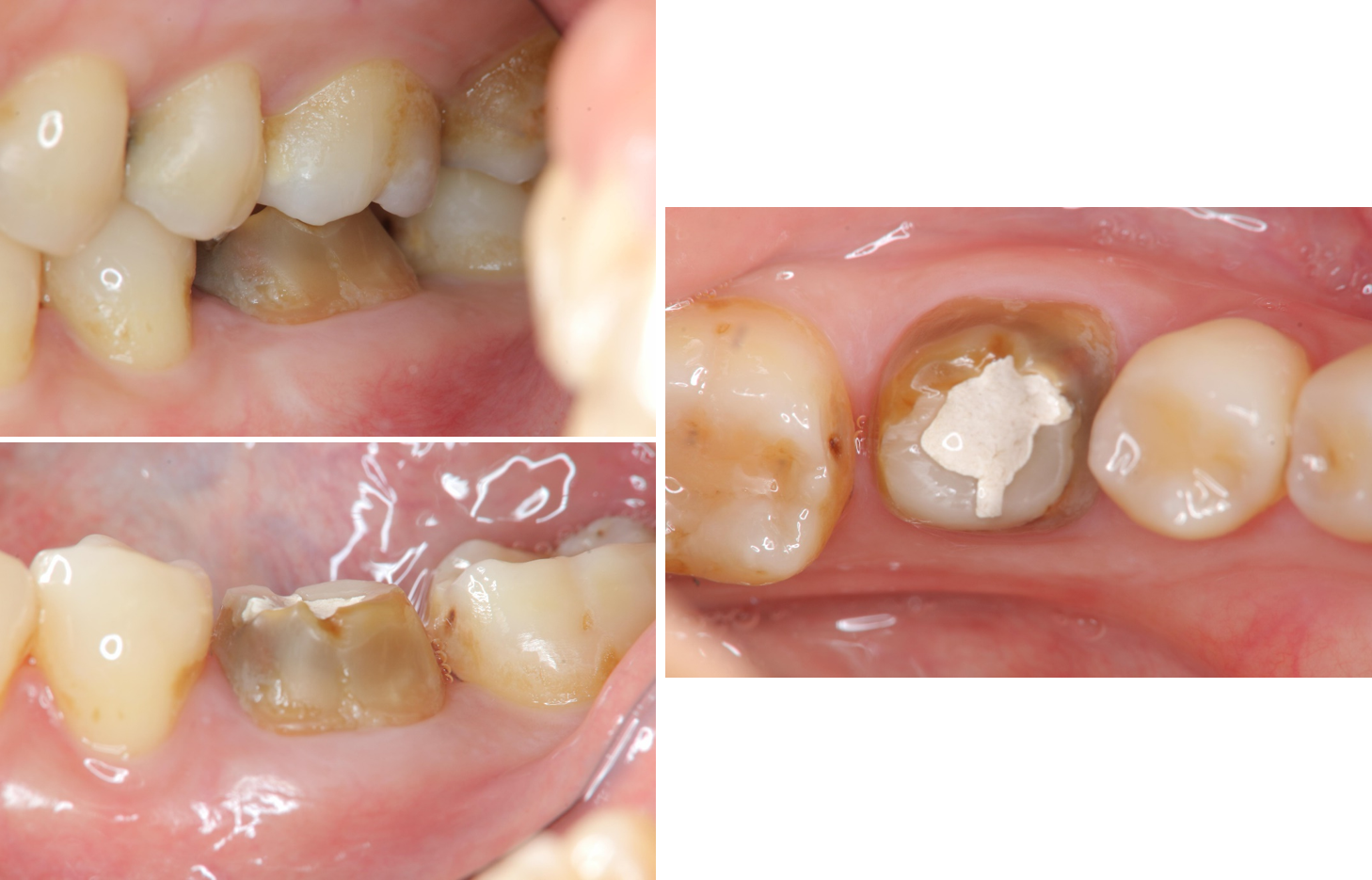
治療前,假牙脫落

治療前,根管治療後

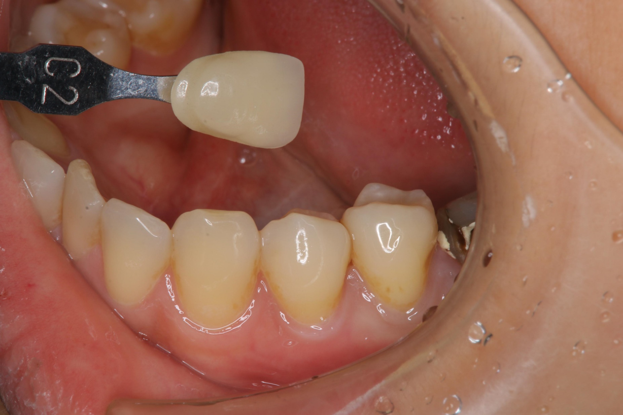
臨床照相比色

模型上咬合器

咬合器上製作固定假牙

全鋯冠

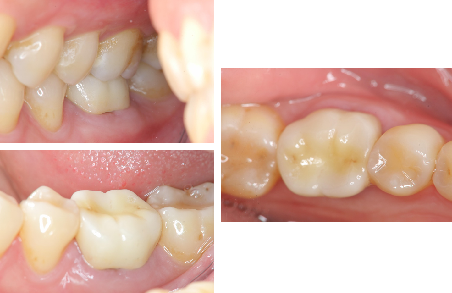
治療後,口內適應良好

牙齒邊緣密合度良好

術前、術後比較
