阻生齒露出-上顎犬齒
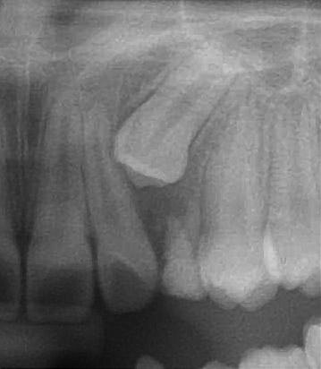
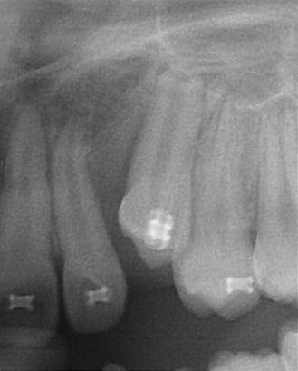
患者陳小妹妹(治療時僅9歲),於本院接受齒顎矯正治療,經數位X光(圖二)診斷,左側乳犬齒之上尚有埋伏的恆牙犬齒為假牙,使用口內攝影(圖二)與病患解釋,建議患者處理方式如下:
|
|
|
|
圖一 |
圖二 |
一、齒顎矯正治療
二、使用雷射將埋伏齒露出
阻伏露出手術可選擇傳統翻瓣手術或雷射牙齦手術
兩種手術的優缺點如下
|
|
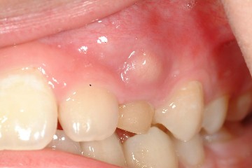
以下圖片分別為手術前、手術後情形
|
|
|
|
圖三 |
圖四 |
經過一週後,由於牙齦癒合好,因此將患者轉診予本院矯正醫師,使用彈性線將埋伏齒拉至矯正線(圖八),矯正的過程中,可見埋伏齒逐漸移至正常齒列(圖)。
|
|
|
|
圖五 |
圖六 |
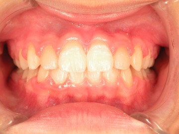
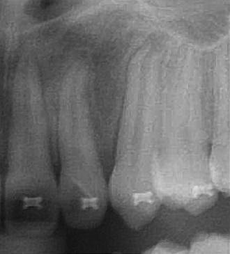
經過一年的矯正後,可見原埋伏齒已拉至正常齒列(圖七),X光可見犬齒的牙根尖發育良好(圖八)。
|
|
|
|
圖七 |
圖八 |
術前、術後比較
|
|
|
|
|
|
|
術前 |
術後 |