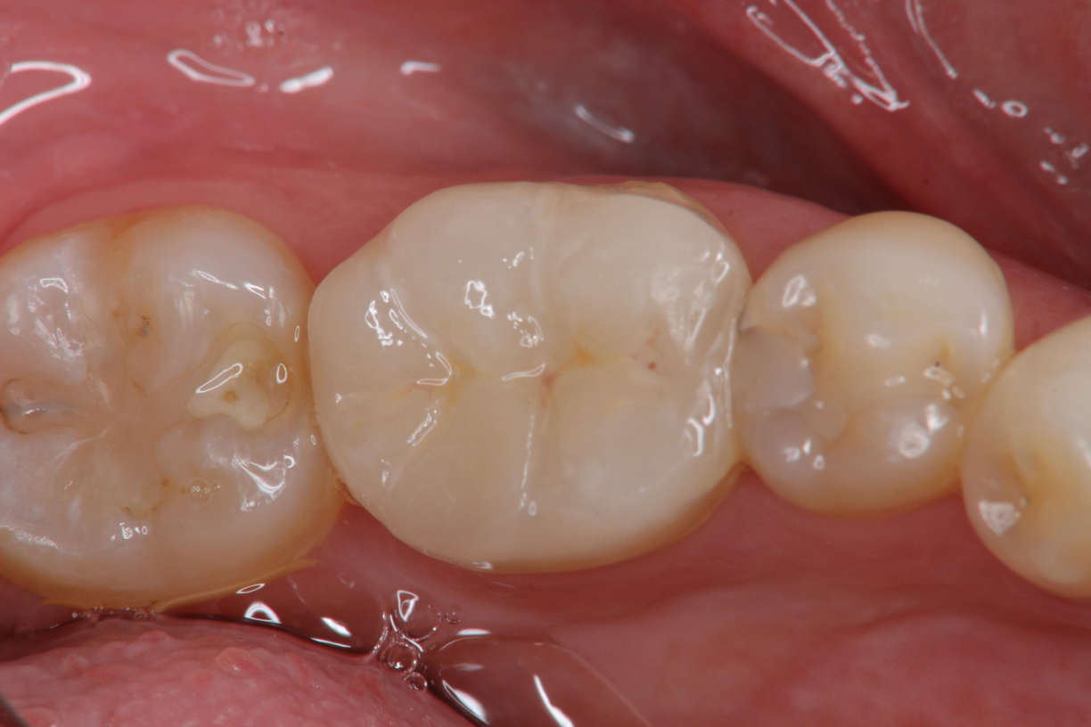
陶瓷崁體-二次蛀牙-#35
陶瓷鑲嵌與陶瓷嵌體因為強度高、抗磨耗,完全不用擔心因長期使用產生耗損、或者因為強度不足,而導致斷裂,讓牙齒又再次蛀牙。陶瓷鑲嵌與陶瓷嵌體可以根據不同的牙齒顏色去選擇顏色製作,又抗染色不會因為時間日久產生變色。陶瓷鑲嵌與陶瓷嵌體是根據蛀牙的窩洞量身訂做,不管是顏色、精密度都是最佳的選擇,因此是非常美觀與持久的填補窩洞材料與技術。

治療前,小臼齒變色

二次蛀牙,牙髓未受侵犯

崁體窩洞製備

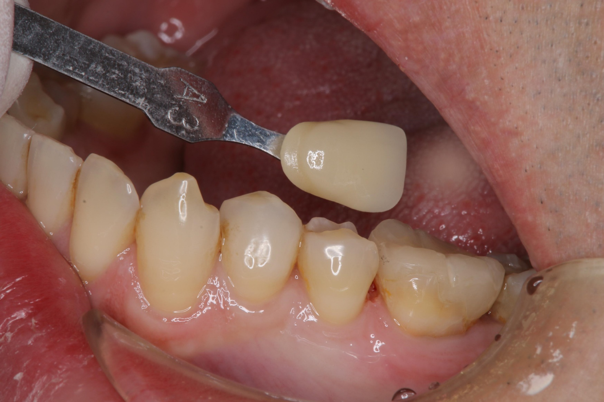
臨床照相比色

模型上咬合器

模型上製作陶瓷崁體

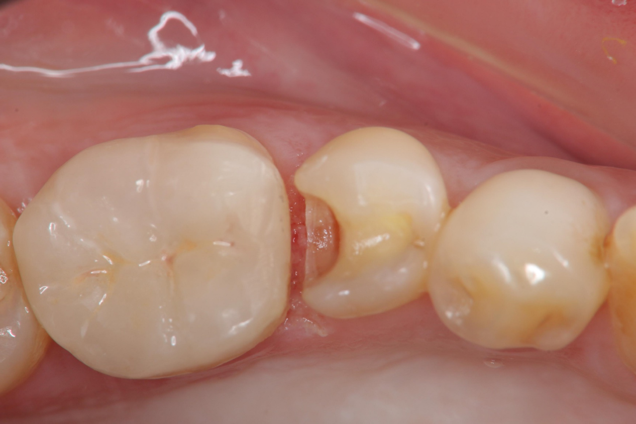
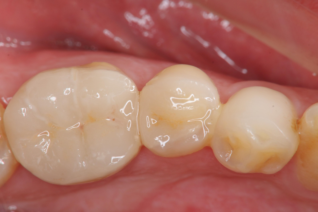
治療後,口內照相追蹤

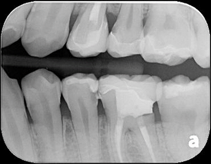
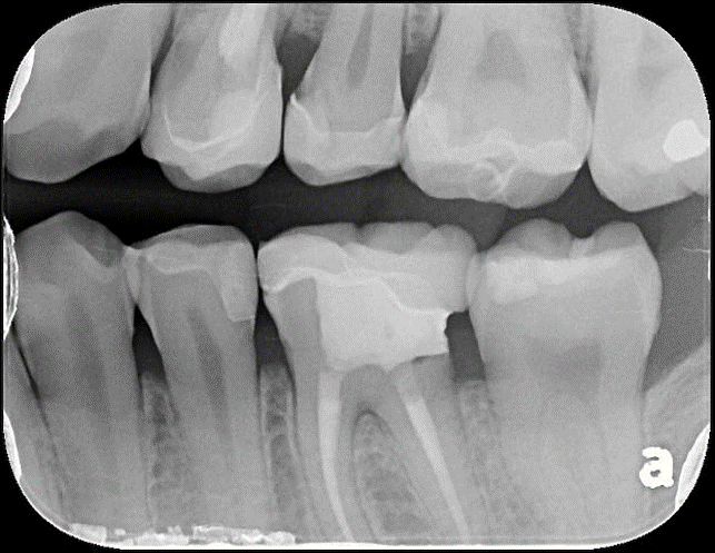
根尖片顯示邊緣密接良好

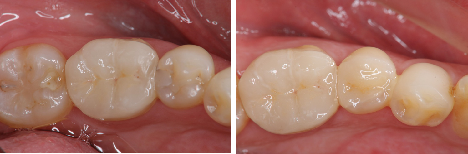
術前、術後比較
當蛀牙破壞程度大,陶瓷崁體是根據蛀牙的窩洞量身訂做,不管是顏色、精密度都是最佳的選擇,因此是非常美觀與持久的填補窩洞材料與技術
