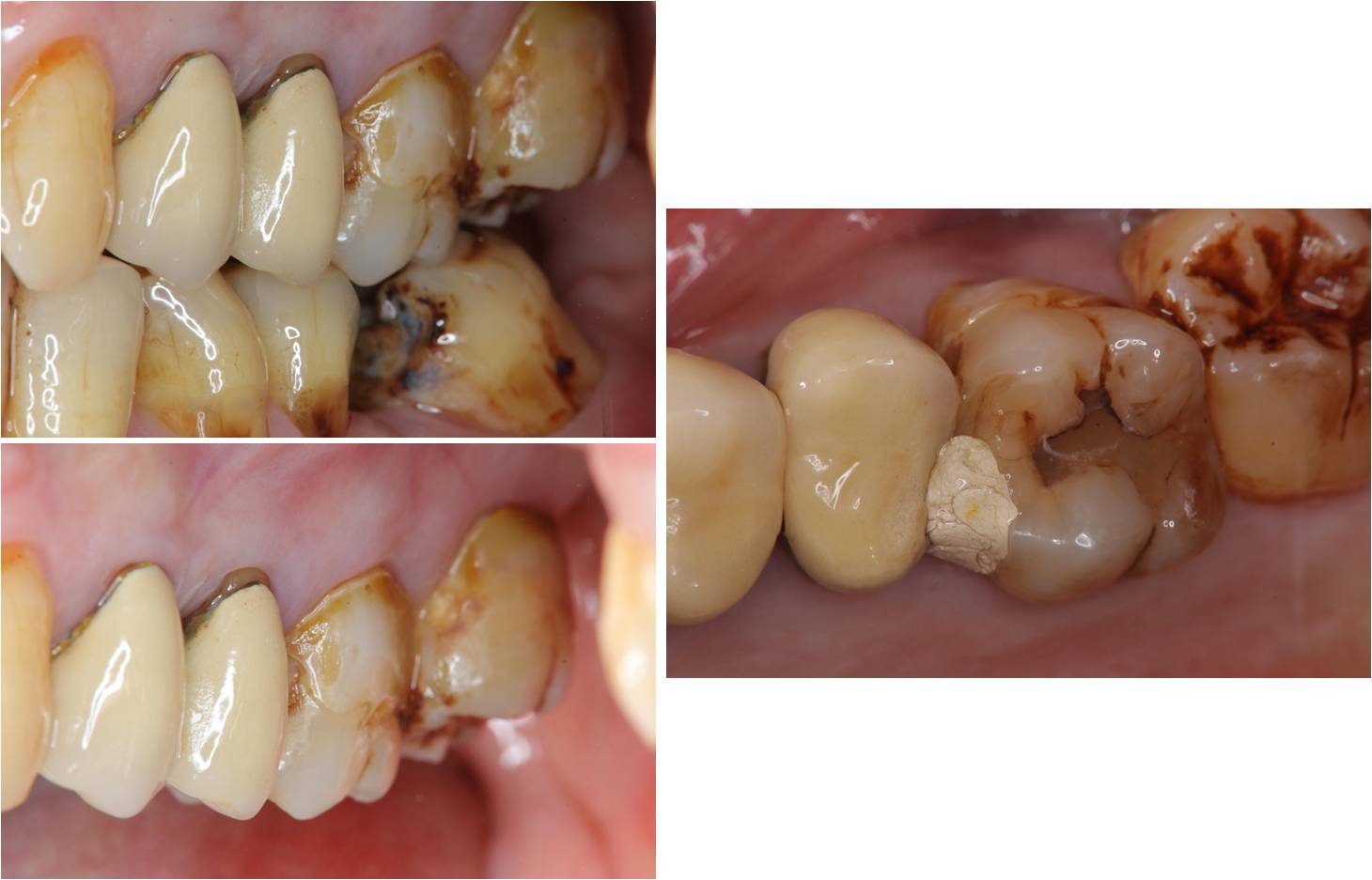
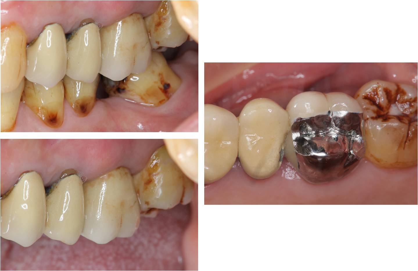
牙髓-牙周-膺復合併治療-蛀牙-#26
通常患者的蛀牙都在鄰接面、牙齦下,因此根管治療、牙冠增長手術、假牙復形,成了必要的治療,因此稱之為牙髓/牙周/膺復合併性治療,現在由於雷射的發展,可以根管治療後馬上使用牙冠增長手術將蛀牙部的牙齦切除,4週後牙齦修復完成後,再以金屬燒瓷牙製作假牙,黏著之,這是近年來,新的發展,對於蛀牙不嚴重的齒質,可以有效減少齒質破壞,這些治療共包含了:
1)顯微根管治療
2)牙冠增長手術
3)金屬燒付瓷牙黏著
幾年下來,這一類連續的治療,長期的癒後相當穩定,因此對於有心保留牙齒的患者,提供了另一個方法,是植牙之外的另一個重要的治療方式。

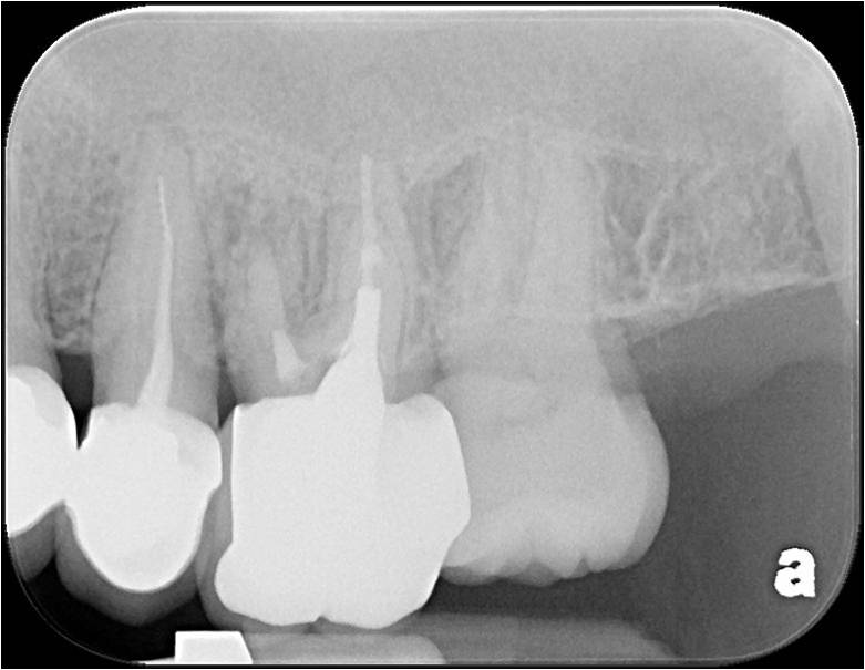
治療前,牙齦下蛀牙

蛀牙至牙髓

顯微根管治療

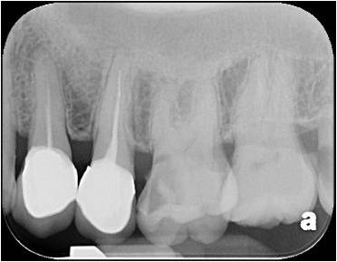
鑄造金屬釘柱

牙冠增長手術

牙齒製備

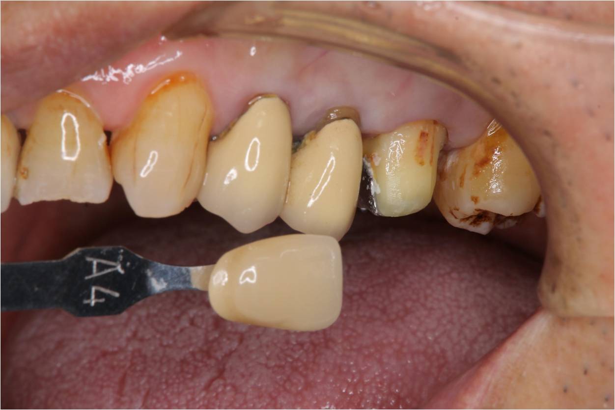
照相比色

於半調節咬合器製作假牙

咬合器製作假牙

金屬燒付瓷牙

治療後口內照

治療後X光再次檢查密合性

術前、術後比較
