後牙單顆植牙-牙裂-#46
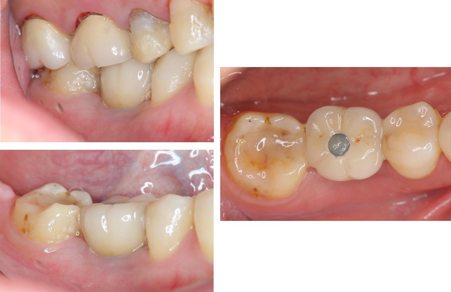
目前市面上植牙假牙主要分為兩種固定方式,黏膠固定式與螺絲鎖緊式兩大派的設計,黏劑固定式假牙如同傳統的固定式假牙,但由於植體的直徑比較小,比較容有殘膠產生,而螺絲固定式假牙的製作比較精密。制作特在假牙頂部保留一微小快拆孔,日後若假牙需要取下維修或加瓷關閉牙縫減少塞食物,過程輕鬆可免受敲擊之苦。且卸下後可於口外清除溢出之界面殘膠,減少殘膠引起植體周圍發炎的可能,再以螺絲固位的方式輕鬆將假牙鎖回植體牙根上。使用單顆植牙,不需修磨正常的牙齒,清潔更方便,且咬合更強。
本病患嗛為多前有製作過瓷牙、釘柱等治療,但因長期咬硬的食物,導致牙齒斷裂,長胞,經診斷無法保留牙齒,溝通後,患者決定植牙
因此本病例採用術式:
1)骨脊保存術
2)電腦定位手術模板
3)螺絲固位式牙冠
4)金屬燒付瓷牙
4)金屬燒付瓷牙

治療前,牙齒長膿胞
治療前,牙骨已破壞 

拔牙同時補骨
6個月後,骨癒合 

植牙規畫模擬 

植牙、補骨及補皮 

植牙後,角度良好
面弓轉移,上咬合器

咬合器上製作瓷牙
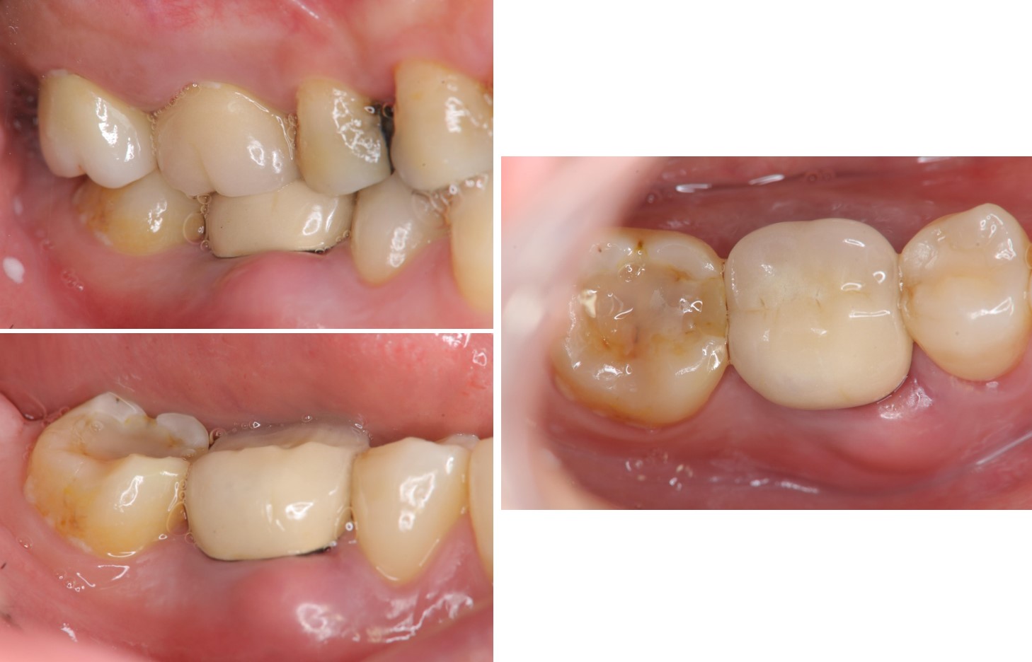
治療後,咬合牙周適應良好

治療後,密合度良好

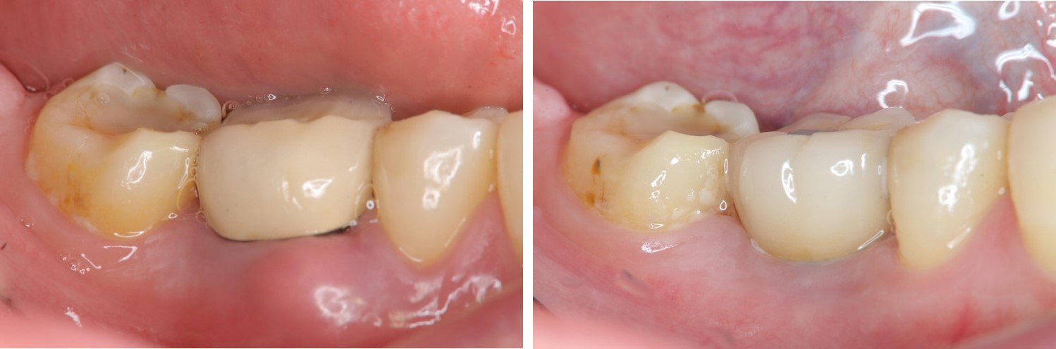
術前、術後比較

使用單顆植牙,不需修磨正常的牙齒,清潔更方便,且咬合更強。