MTA覆髓-牙周-膺復合併症-蛀牙-#37
通常患者的蛀牙都在鄰接面、牙齦下,因此利用MTA來覆髓、牙冠增長手術、假牙復形,成了必要的治療,而大多數患者常不了解這些治療方式,本文主要闡述深度鄰接面、牙齦下蛀牙的覆髓/牙周/膺復(PP2)合併性治療,共包含了:
1)MTA覆髓
2)牙冠增長手術
3)金屬燒付瓷牙
MTA是一種含有親水性粒子的聚合物,主要成分包含矽酸三鈣、鋁酸三 鈣、氧化三鈣及氧化鉍等物質,在1997年 首先使用在牙根穿孔 的情況下MTA的封閉能力,到了1999年又進一步使用 MTA作為根尖栓塞(apical plug)應用於臨床治療上 應用於臨床治療上,此後MTA就開始被使用在牙科治療中。陶瓷鑲嵌與陶瓷嵌體因為強度高、抗磨耗,完全不用擔心因長期使用產生耗損、或者因為強度不足,而導致斷裂,讓牙齒又再次蛀牙。陶瓷鑲嵌與陶瓷嵌體可以根據不同的牙齒顏色去選擇顏色製作,又抗染色不會因為時間日久產生變色
幾年下來,這一類連續的治療,長期的癒後相當穩定,因此對於有心保留牙齒的患者,提供了另一個方法,是植牙之外的另一個重要的治療方式。

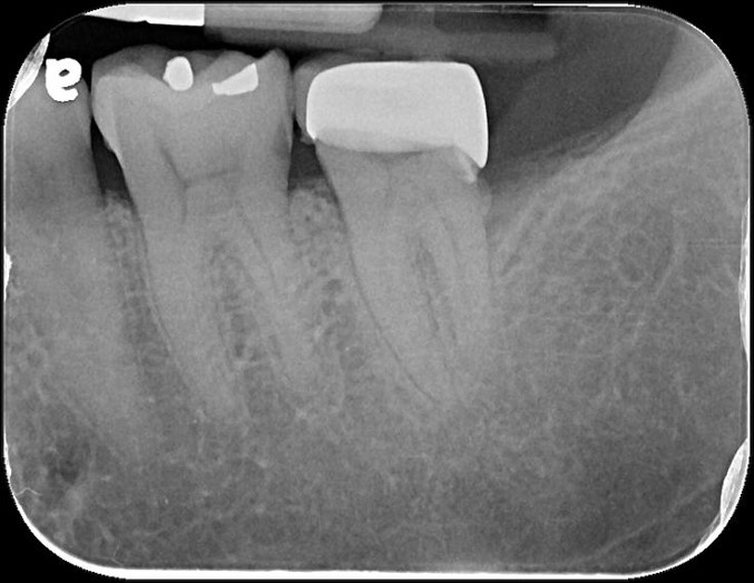
治療前,有銀粉復形,牙齒敏感

治療前,牙髓已接近被侵犯

MTA覆髓及水雷射牙冠增長手術

面弓轉移、上咬合器

技師於咬合器上製作金屬燒付瓷牙

微金屬的金屬燒付瓷牙

治療後,咬合牙周良好

治療後,假牙密合度良好

術前、術後比較

幾年下來,這一類連續的治療,長期的癒後相當穩定,因此對於有心保留牙齒的患者,提供了另一個方法,是植牙之外的另一個重要的治療方式。