牙髓-膺復合併症-蛀牙-#46
牙齒之根管型態並非一成不變,因為額外根管、根管堵塞鈣化或副根管的存在皆有可能是過去根管治療不完全的原因 , 一旦根管內部細菌未清除乾淨 , 就有可能造成症狀的再發生 , 或根尖產生骨頭的病變,囊腫 ,因此根管治療、假牙復形,成了必要的治療,而大多數患者常不了解這些治療方式,本文主要闡述根管治療不全、經治療後的牙髓/膺復(EP1)合併性治療,共包含了:
1)顯微根管治療
2)釘柱復形
4)一體成型全瓷冠
幾年下來,這一類連續的治療,長期的癒後相當穩定,因此對於有心保留牙齒的患者,提供了另一個方法,是植牙之外的另一個重要的治療方式。

治療前,右下第一大臼齒腫脹

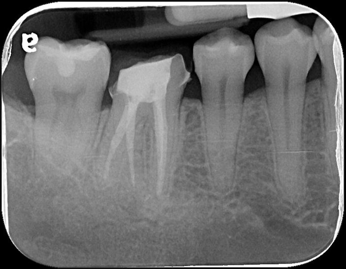
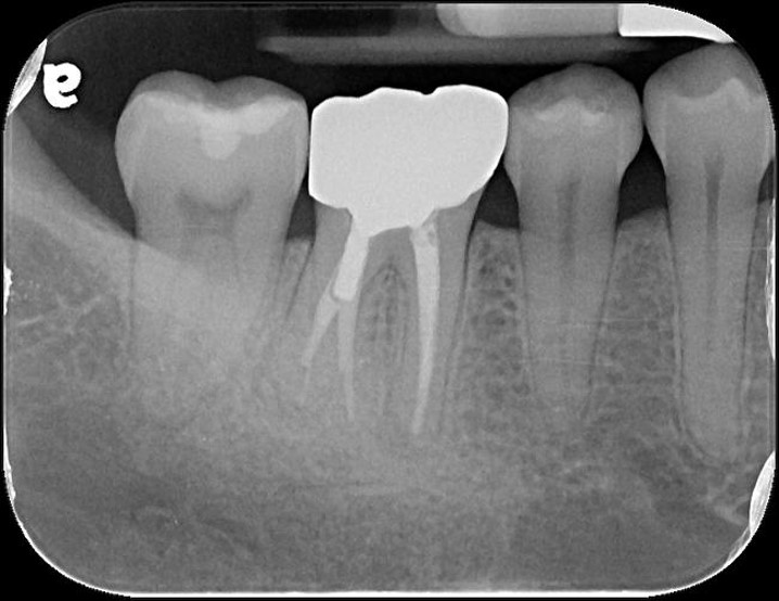
治療前,根管已治療過

顯微根管治療

鑄造金屬釘柱

膺復前評估牙齦、牙齒狀態

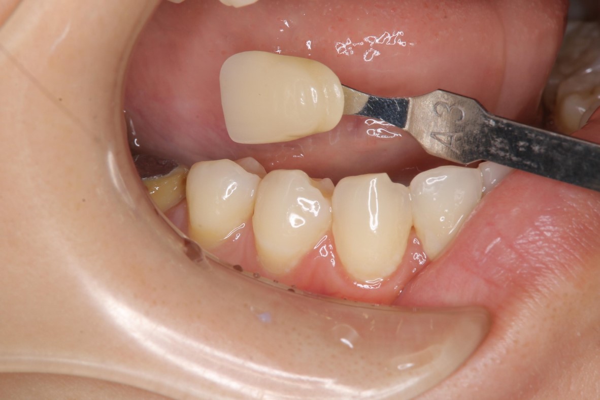
照相比色

面弓轉移、上咬合器

技師於咬合器製作全瓷冠 

全鋯冠

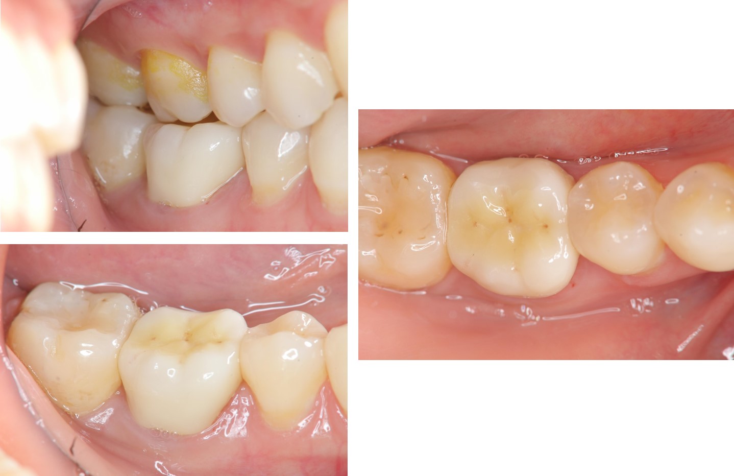
治療後,牙周咬合良好

治療後,密合度良好

術前、術後比較

幾年下來,這一類連續的治療,長期的癒後相當穩定,因此對於有心保留牙齒的患者,提供了另一個方法,是植牙之外的另一個重要的治療方式。