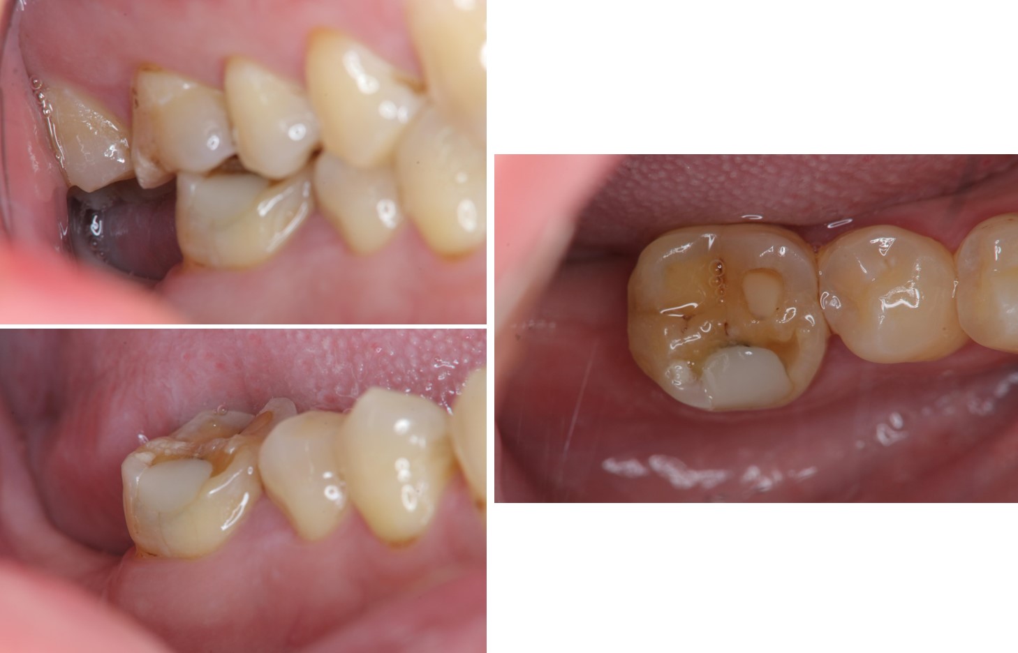
陶瓷冠蓋體-牙裂-#46(牙齒斷裂)
過去較大的蛀牙僅能利用樹脂或牙套等復形,但是以複合樹脂復形,常久下來,樹脂邊緣常有微滲漏的問題,引發二次蛀牙,更進一步地會造成蛀牙過深,這時病人可能需進行根管治療、釘柱復形最後再做牙套。而冠蓋體所用的材料為陶瓷塊,其硬度與耐磨度與牙齒琺琅質相當,陶瓷塊經1400高溫熔化後,所成形的復形物為一體成形,經樹脂黏著劑黏著後,與牙齒成為一體,可承受較高的咬合力、久了邊緣也是完整的,而陶瓷塊自1984年問世至今,已20餘年,在國外,是一個相當成熟的產品。

治療前,頰側牙齒斷裂

冠塊體牙齒製備

照相比色

上面弓、上咬合器

陶瓷冠塊體製作

陶瓷冠塊體

陶瓷冠蓋體黏著

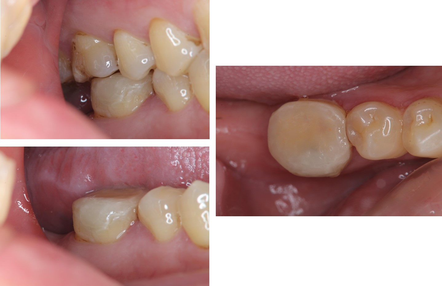
治療後口內照

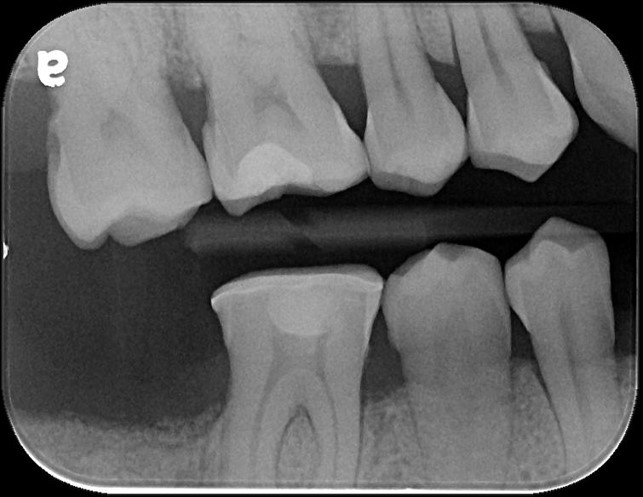
X光邊緣完整

術前、術後比較

陶瓷塊自1984年問世至今,已20餘年,在國外,是一個相當成熟的產品,如有相關蛀牙,可與醫師討論這個需求。