牙髓-牙周-膺復合併症-EPO-二次蛀牙-#37
根管治療操作範圍極為狹小, 過程中可能遭遇異物堵塞、狹窄鈣化、穿孔、分岔、帶狀根管、或前次治 療發生特殊困難等。 牙科專用顯微鏡可提供照明及放大,搭配專用超音波等特殊器械,可協助牙髓病專科醫師解 決 上述困難, 增進清潔根管效率;保留更多的齒質,增加保留牙齒 的機率。另外亦可協助牙醫師進行裂齒之診斷。因為深度齲齒或裂齒而曾經進行根管治療的牙齒,牙齒有了一定程度的缺損,缺損越大,牙齒裂掉的風險就越高,因此選擇適合的復形物來保護脆弱的牙齒,是非常重要的,齒質的缺損程度,將會決定牙齒適合以哪一種方式來復形。
深度牙齦下蛀牙,可以使用雷射牙冠增長手術,將蛀牙的齒質移除,並進一步以複合樹脂填補。
小的缺損以樹脂填補,較大的缺損則需要更堅硬的材料,傳統都會建議把牙齒磨小後套上牙套,但是別忘了還有另一種選擇–陶瓷崁體,某些小型到中型的缺損也適合使用陶瓷崁體來復形,製作陶瓷崁體不需要把牙齒磨小,可以避免犧牲較多齒質。
治療前,再次蛀牙,牙齒排列不整

蛀牙已至牙髓

#37-顯微根管治療

水雷射牙冠增長手術及樹脂復形

陶瓷冠塊體製備

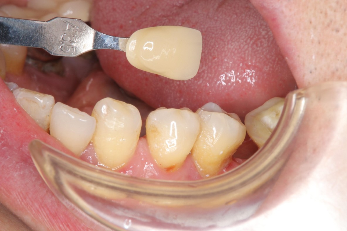
照相比色

上咬合器

陶瓷冠蓋體製作

陶瓷冠塊體

使用橡皮障隔離並黏著
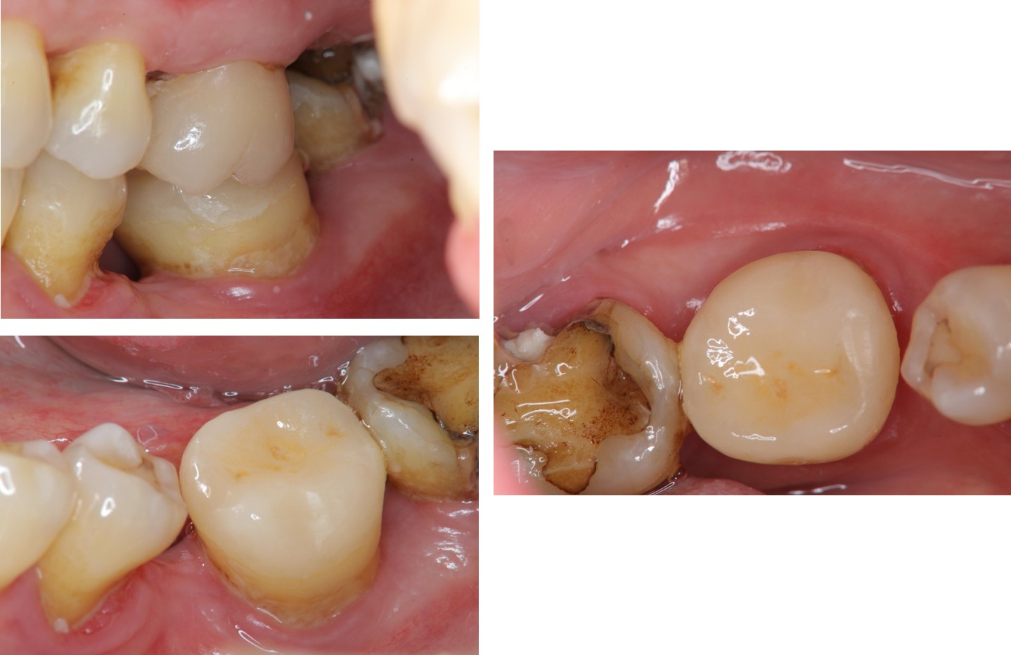
治療後,功能與美觀恢復

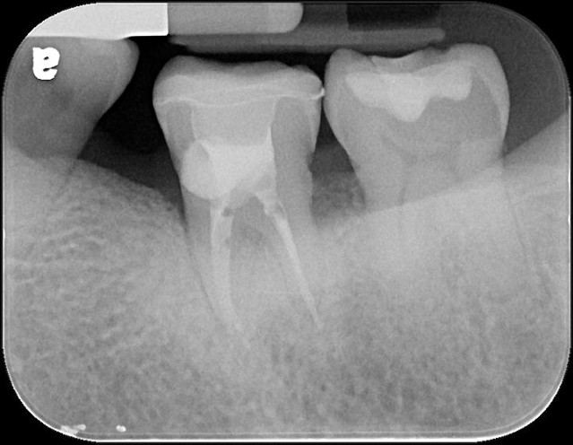
治療後X光,密合度良好

術前、術後比較
顯微鏡輔助根管治療有許多的改變,使得現時的牙髓病治療不但可幫助病患保留更多以前認為無法成功保留的牙齒。
某些小型到中型的缺損也適合使用陶瓷崁體來復形,製作陶瓷崁體不需要把牙齒磨小,可以避免犧牲較多齒質。