牙髓-牙周-膺復合併症-蛀牙-#25
通常患者的蛀牙都在鄰接面、牙齦下,因此根管治療、牙冠增長手術、假牙復形,成了必要的治療,而大多數患者常不了解這些治療方式,本文主要闡述深度鄰接面、牙齦下蛀牙的牙髓/牙周/膺復(EPP1)合併性治療,共包含了:
1)顯微根管治療
2)釘柱復形
3)牙冠增長手術
4)一體成型全瓷冠
幾年下來,這一類連續的治療,長期的癒後相當穩定,因此對於有心保留牙齒的患者,提供了另一個方法,是植牙之外的另一個重要的治療方式。 

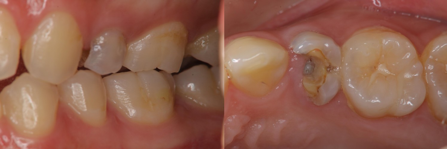
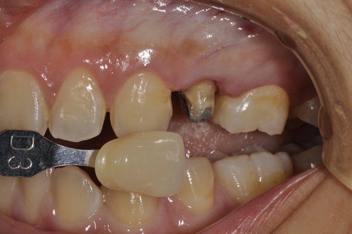
治療前,左上小臼齒區二次蛀牙

治療前,原根管治療已再污染

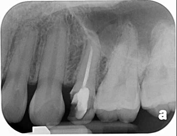
小臼齒顯微根管重治療

鑄造金屬釘柱製作

水雷射牙冠增長手術

膺復前評估牙齦、牙齒狀態

照相比色
面弓取得、上咬合器

技師於咬合器製作全瓷冠
全鋯冠

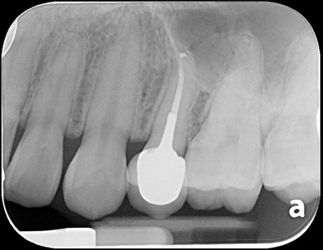
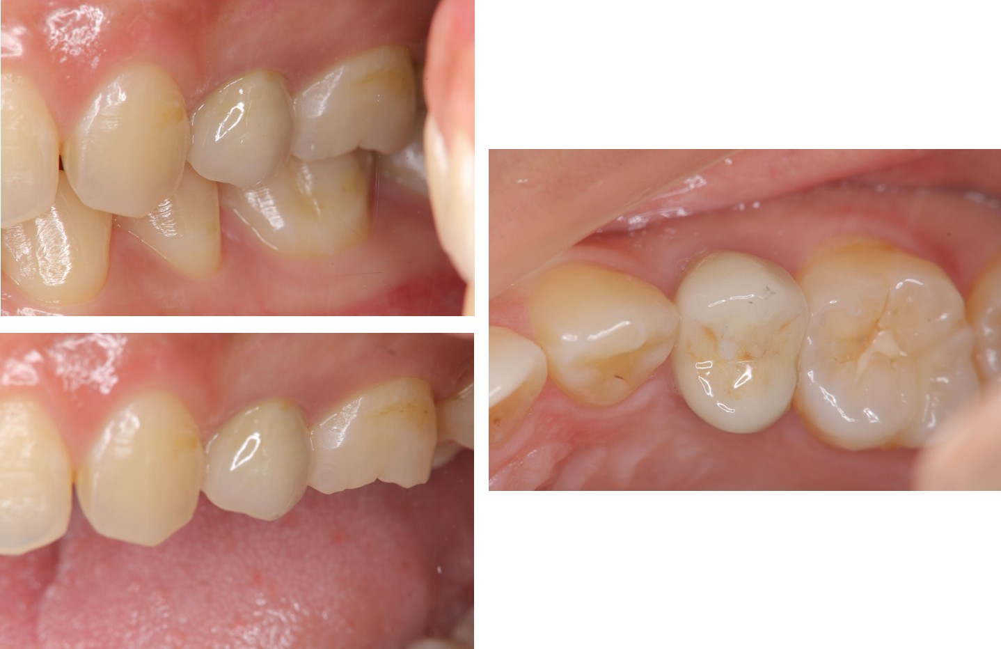
治療後,牙周咬合良好
治療後,密合度良好 

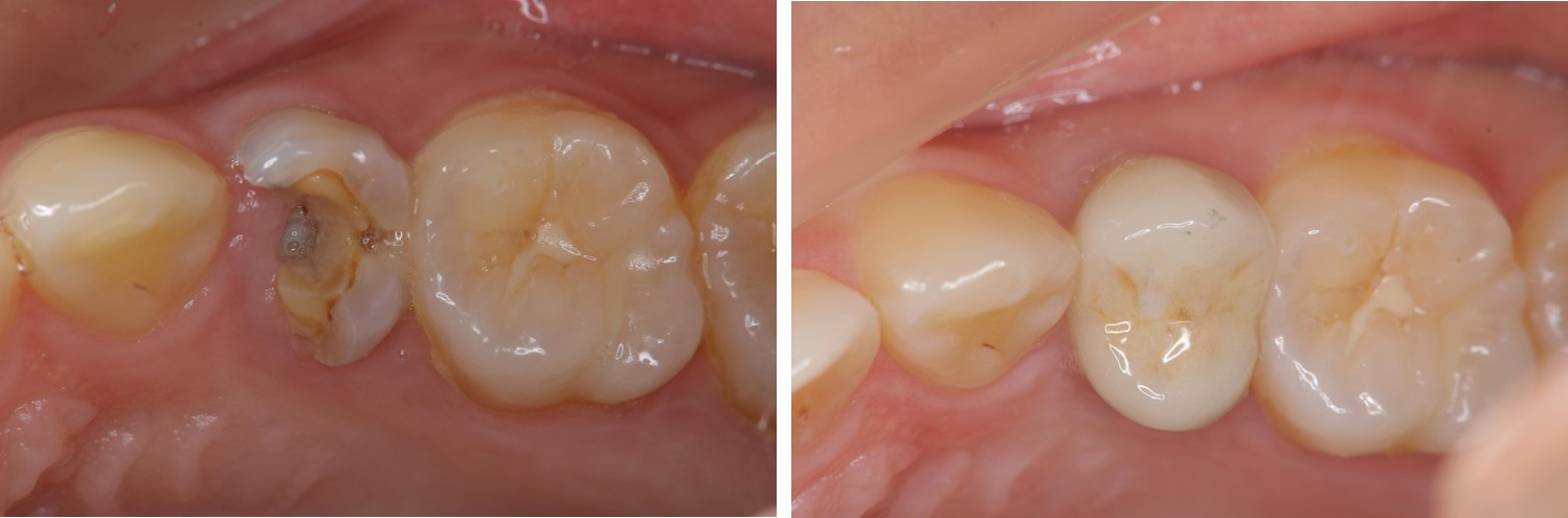
術前、術後比較
幾年下來,這一類連續的治療,長期的癒後相當穩定,因此對於有心保留牙齒的患者,提供了另一個方法,是植牙之外的另一個重要的治療方式。