顯微根管治療-根管治療不完全-#36
根管治療操作範圍極為狹小, 過程中可能遭遇異物 堵塞、狹窄鈣化、穿孔、分岔、帶狀根管、或前次治療發生特殊困難等。
牙科專用顯微鏡可提供照明及放大,搭配專用超音波等特殊器械,可協助牙髓病專科醫師解決上述困難,增進清潔根管效率;保留更多的齒質,增加保留牙齒的機率。另外亦可協助牙醫師進行裂齒之診斷。
使用顯微鏡輔助可提高困難病例治療的成功率,牙髓病專科醫師亦會盡力達到較理想之治療結果,但仍可能因個別牙齒的難度不同而有不同的結果。
牙科專用顯微鏡可提供照明及放大,搭配專用超音波等特殊器械,可協助牙髓病專科醫師解決上述困難,增進清潔根管效率;保留更多的齒質,增加保留牙齒的機率。另外亦可協助牙醫師進行裂齒之診斷。
使用顯微鏡輔助可提高困難病例治療的成功率,牙髓病專科醫師亦會盡力達到較理想之治療結果,但仍可能因個別牙齒的難度不同而有不同的結果。

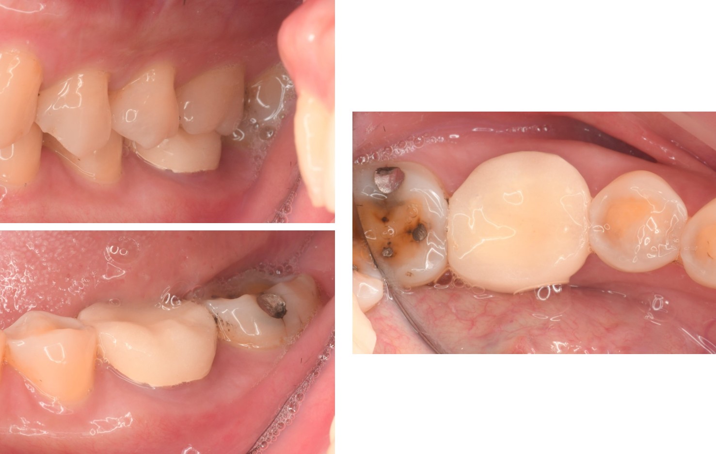
治療前,牙齦腫脹

治療前,根管治療不完全

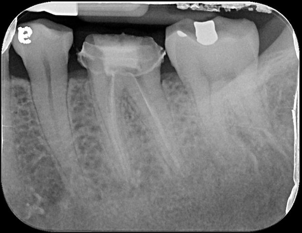
根管重治療與充填
治療後,根管充填緻密

術前、術後比較

顯微鏡輔助根管治療有許多的改變,使得現時的牙髓病治療不但可幫助病患保留更多以前認為無法成功保留的牙齒。