陶瓷鑲嵌與陶瓷嵌體因為強度高、抗磨耗,完全不用擔心因長期使用產生耗損、或者因為強度不足,而導致斷裂,讓牙齒又再次蛀牙。陶瓷鑲嵌與陶瓷嵌體可以根據不同的牙齒顏色去選擇顏色製作,又抗染色不會因為時間日久產生變色。陶瓷鑲嵌與陶瓷嵌體是根據蛀牙的窩洞量身訂做,不管是顏色、精密度都是最佳的選擇,因此是非常美觀與持久的填補窩洞材料與技術。

治療前,大臼齒冷熱敏感

X光可見大臼齒內有蛀洞

瓷塊製備

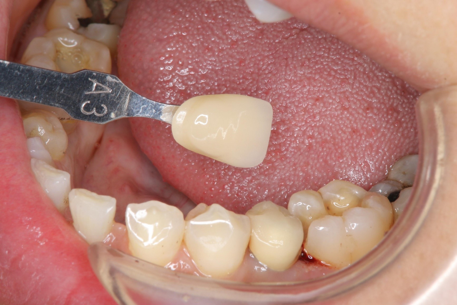
照相比色

經面弓轉移,上咬合器

技師於咬合器上製作模型

大臼齒的陶瓷崁體

上橡皮障,隔水,黏著瓷塊

治療後,患者適應良好

治療後,X光密合度良好

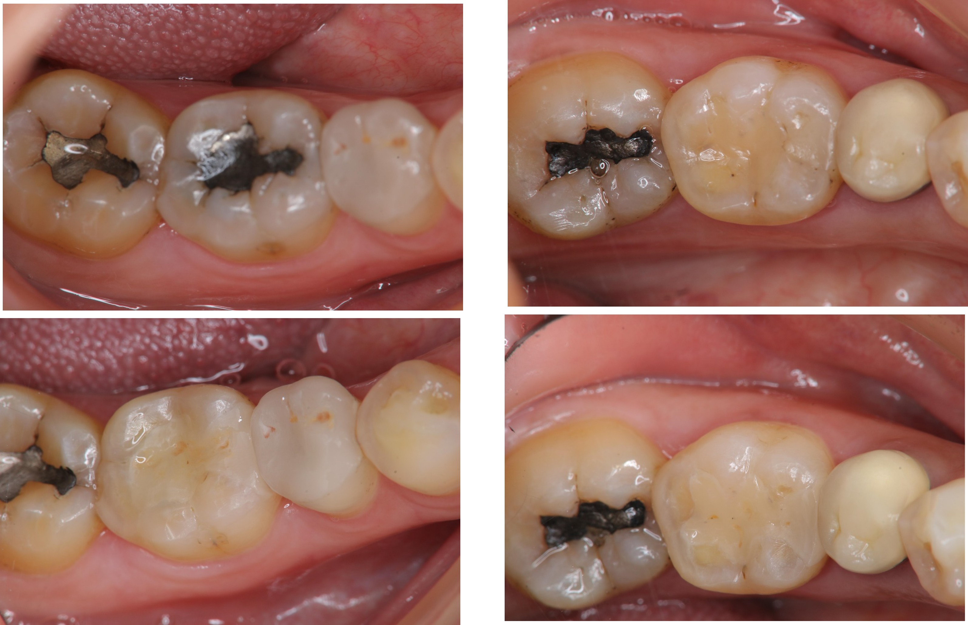
術前、術後比較

當蛀牙破壞程度大,陶瓷崁體是根據蛀牙的窩洞量身訂做,不管是顏色、精密度都是最佳的選擇,因此是非常美觀與持久的填補窩洞材料與技術。